Przeczytaj
Pasożytnicze protisty, zwane też pierwotniakami, to patogeny ludzkiego organizmu. Ze względu na najnowsze odkrycia naukowe, możliwe dzięki coraz doskonalszym mikroskopom, ich systematyka wciąż ulega zmianie. Protistami chorobotwórczymi dla człowieka są: zarodziec malarii, toksoplazma, lamblia jelitowa, rzęsistek pochwowy oraz pełzak czerwonki.
- Nazwa kategorii: Chorobotwórcze protisty
- Nazwa kategorii: [font-style: italic;]Toxoplasma gondii [/italic]
- Nazwa kategorii: toksoplazmoza
- Nazwa kategorii: zakażenie drogą pokarmową/przez łożysko Koniec elementów należących do kategorii [font-style: italic;]Toxoplasma gondii [/italic]
- Nazwa kategorii: Lamblia jelitowa
- Nazwa kategorii: zakażenie drogą pokarmową
- Nazwa kategorii: giardioza Koniec elementów należących do kategorii Lamblia jelitowa
- Nazwa kategorii: Rzęsistek pochwowy
- Nazwa kategorii: zakażenie drogą płciową
- Nazwa kategorii: rzęsistkowica Koniec elementów należących do kategorii Rzęsistek pochwowy
- Nazwa kategorii: Pełzak czerwonki
- Nazwa kategorii: zakażenie drogą pokarmową
- Nazwa kategorii: pełzakowica/ameboza Koniec elementów należących do kategorii Pełzak czerwonki
- Nazwa kategorii: Zarodziec malarii
- Nazwa kategorii: ukąszenie komara z rodzaju [font-style: italic;] Anopheles [/italic]
- Nazwa kategorii: malaria/zimnica Koniec elementów należących do kategorii Zarodziec malarii
- Nazwa kategorii: Świdrowiec gambijski
- Nazwa kategorii: śpiączka afrykańska
- Nazwa kategorii: ukąszenie muchy tse-tse Koniec elementów należących do kategorii Świdrowiec gambijski
- Elementy należące do kategorii Chorobotwórcze protisty
- Elementy należące do kategorii [font-style: italic;]Toxoplasma gondii [/italic]
- Elementy należące do kategorii Lamblia jelitowa
- Elementy należące do kategorii Rzęsistek pochwowy
- Elementy należące do kategorii Pełzak czerwonki
- Elementy należące do kategorii Zarodziec malarii
- Elementy należące do kategorii Świdrowiec gambijski
Zarodziec malarii
Malaria, zwana inaczej zimnicą to globalny problem zdrowotny. Chorobę wywołują zarodźce malarii – protisty z rodzaju Plasmodium. Człowiekowi zagraża pięć ich gatunków: Plasmodium falciparum, Plasmodium vivax, Plasmodium ovale, Plasmodium malariae i Plasmodium knowlesi. Na zarażenie malarią narażonych jest 40 proc. ludności świata. Malaria powoduje około miliona zgonów rocznie. Zasięg występowania tej choroby zależy od czynników geograficznych i klimatycznych, a także od występowania komarów z rodzaju Anopheles przenoszących zarodźce malarii.
Gatunek | Charakterystyka |
|---|---|
Plasmodium falciparum | – najgroźniejsza forma malarii |
Plasmodium vivax | – łagodna trzeciaczka |
Plasmodium ovale | – łagodna trzeciaczka |
Plasmodium malariae | – czwartaczka (napady gorączki, dreszczy, potów występują co czwartą dobę) |
Plasmodium knowlesi | - trzeciaczka |
Indeks dolny Tab. 1. Charakterystyka gatunków z rodzaju Plasmodium Indeks dolny koniecTab. 1. Charakterystyka gatunków z rodzaju Plasmodium
Do zakażenia zarodźcem malarii dochodzi po nakłuciu skóry człowieka przez samicę komara z rodzaju Anopheles. Na początku komar wstrzykuje swoją ślinę o działaniu antykoagulacyjnymdziałaniu antykoagulacyjnym, a następnie pobiera krew żywiciela. Protisty są pobierane są wraz z krwią zakażonej osoby. Do gruczołów ślinowych komara trafiają sporozoity, które podczas ukłucia skóry zdrowego człowieka są z kolei wprowadzane do jego organizmu. W zależności od gatunku wywołującego malarię, objawy choroby pojawiają się po 7‑30 dniach od zakażenia. Cyklicznie co 48 (trzeciaczka) lub 72 godziny (czwartaczka) następują fale wysokich gorączek spowodowane uwalnianiem we krwi merozoitówmerozoitów.

Profilaktyka jest jedynym skutecznym sposobem walki z malarią. Polega ona na stosowaniu repelentówrepelentów, moskitier i środków owadobójczych, które mają za zadanie ograniczenie i utrudnienie komarom dostępu do ludzi. Powodzenie samego leczenia zależy od wczesnej diagnozy zakażenia. Obiecującym sposobem zapobiegania malarii byłoby opracowanie skutecznej szczepionki, nad którą prace trwają od kilku lat. W połowie 2019 roku rozpoczęto pierwsze szczepienia.
Świdrowiec gambijski
Śpiączka afrykańska jest chorobą wywoływaną przez świdrowca gambijskiego (Trypanosoma brucei gambiense). Stanowi ona zagrożenie dla ludzi i innych ssaków na wilgotnych terenach Afryki. U chorych obserwuje się gorączkę, której towarzyszą bóle głowy i stawów. Ponadto zakażenie to powoduje niedokrwistość, zaburzenia psychiczne, śpiączkę, a nawet śmierć. Wektorem przenoszącym świdrowca gambijskiego jest mucha tse‑tse.
Profilaktyka przeciwko zakażeniu polega na ochronie przed ukłuciem przez muchę tse‑tse. Zaleca się noszenie odzieży z grubego materiału i zakrywającej jak największą powierzchnię ciała. Ponadto stosuje się moskitiery oraz środki odstraszające owady.
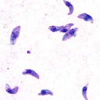
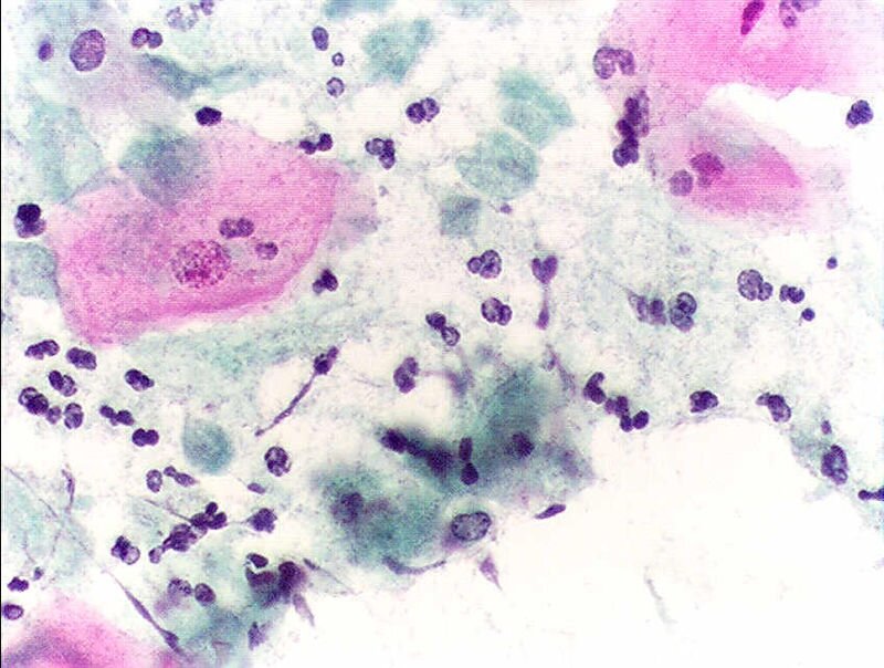
Toxoplasma gondii

Ten protist to pasożyt zarówno człowieka jak i innych zwierząt stałocieplnych. Szacuje się, że w Polsce zarażonych tym pierwotniakiem jest 60 proc. osób dorosłych. Żywicielami ostatecznymi Toxoplasma gondii są koty, które wydalają zakaźne dla człowieka i innych zwierząt oocysty.
Do zakażenia człowieka dochodzi najczęściej po spożyciu niedogotowanego mięsa zakażonego oocystami lub zanieczyszczonej kocimi odchodami wody, warzyw i owoców. Rzadziej do zakażenia dochodzi na drodze jatrogennej (podczas przeszczepu od zakażonego dawcy) i wertykalnej (od zakażonej matki przez łożysko do płodu). Zarażenie T. gondii może powodować tokoplazmozę nabytą lub wrodzoną. Toksoplazmoza nabyta zazwyczaj przebiega bezobjawowo. Mogą pojawić się objawy grypopodobne (gorączka, bóle mięśni i głowy), a także bóle brzucha, wymioty i biegunka oraz powiększenie węzłów chłonnych. Pasożyt ten jest szczególnie niebezpieczny dla kobiet będących w I trymestrze ciąży, u których może prowadzić do poronienia. Objawy toksoplazmozy wrodzonej pojawiają się w pierwszych miesiącach życia noworodków. Obserwuje się u nich wodogłowie oraz zmiany w gałce ocznej (zapalenie siatkówki i naczyniówki), a także zwapnienie śródmózgowia objawiające się upośledzeniem fizycznym i umysłowym.
Pełzak czerwonki

Występuje w strefie tropikalnej i subtropikalnej. Pierwotniak ten powoduje chorobę zwaną pełzakowicąpełzakowicą jelitową lub pozajelitową. Do zakażenia dochodzi po spożyciu zanieczyszczonej cystami wody, warzyw lub owoców. Objawami klinicznymi pełzakowicy są biegunki z dużą ilością śluzu i krwi, bóle brzucha, nudności i wzdęcia oraz gorączka. Ponadto pełzak czerwonki może przedostawać się do naczyń krwionośnych, a następnie różnych narządów, powodując tworzenie się w nich ropni.
Lamblia jelitowa

W Polsce lamblia jelitowa (Giardia intestinalis) jest pasożytem około 10 proc. dorosłych, powodującym tzw. giardiozęgiardiozę. Do zakażenia dochodzi podobnie, jak w przypadku pełzaka czerwonki, po spożyciu zanieczyszczonej cystami wody lub warzyw i owoców. Zakażone dzieci mają biegunki i zaburzenia trawienia prowadzące do niedożywienia.

Rzęsistek pochwowy
Trichomonas vaginalis jest protistem powodujących chorobę zwaną rzęsistkowicąrzęsistkowicą. W większości przypadków do zakażenia dochodzi przez kontakt seksualny z zakażoną osobą, czasem w wyniku używania wspólnych, wilgotnych przedmiotów higienicznych oraz urządzeń sanitarnych. Zazwyczaj zakażenie przebiega bezobjawowo. Jeśli wystąpią objawy kliniczne, obserwuje się zielonkawe lub żółtawe pieniste upławy, świąd, ból i pieczenie pochwy lub żołędzi prącia oraz cewki moczowej, które mogą pojawić się od 5. do 28. dnia od zakażenia. U mężczyzn obserwuje się również częstomocz oraz zapalenie pęcherza moczowego i gruczołu krokowego.

Toxoplasma gondii została opisana po raz pierwszy w 1908 roku przez Nicole i Manceaux. Badania Jaroslava Flegera w 2015 roku potwierdziły, że osoby zakażone toksoplazmozą przejawiają większą skłonność do działań impulsywnych i ryzykownych zachowań. Potwierdzono również związek występowania toksoplazmozy u ludzi z większą podatnością na różnego rodzaju uzależniania (zażywanie narkotyków, spożywanie alkoholu itp.)
Indeks dolny (źródło: Anna Niezgoda, Anna Dobrzańska, Toksoplazmoza wrodzona – rozpoznawanie i leczenie, Przewodnik lekarza, 2008, 44‑50) Indeks dolny koniec(źródło: Anna Niezgoda, Anna Dobrzańska, Toksoplazmoza wrodzona – rozpoznawanie i leczenie, Przewodnik lekarza, 2008, 44‑50)
Słownik
działanie zapobiegające krzepnięciu krwi
choroba spowodowana zakażeniem lamblią jelitową
bezpłciowe pokolenie w cyklu rozwojowym zarodźca malarii
choroba spowodowana zakażeniem pełzakiem czerwonki
środki odstraszające owady np. środki chemiczne, ale też światło, dźwięk, rośliny
choroba spowodowana zakażeniem rzęsistkiem pochwowym
wielojądrzasta postać zarodźca malarii powstała w wyniku wielokrotnego podziału
postacie inwazyjne zarodźca malarii