Symulacja interaktywna I
Wirtualny mikroskop
Za pomocą wirtualnego mikroskopu przeprowadź obserwację odmieńca pospolitego (Proteus vulgaris). Zwróć uwagę na kształt oraz wybarwienie komórek.
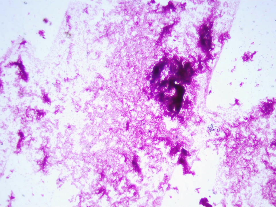
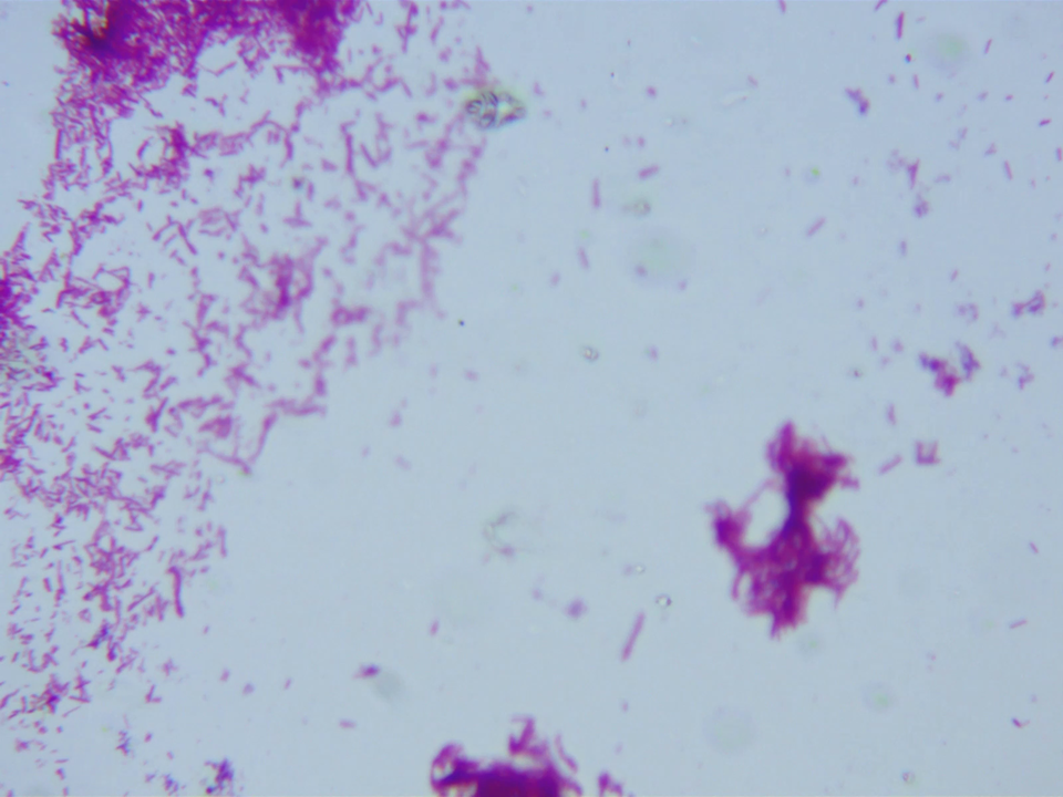
Za pomocą wirtualnego mikroskopu przeprowadzono obserwację odmieńca pospolitego (Proteus vulgaris). Odmieniec pospolity (Proteus vulgaris) to urzęsiona, bezotoczkowa bakteria w kształcie pałeczki. Ma cienką ścianę komórkową, która w wyniku barwienia metodą Grama przybiera trwale kolor różowy. W związku z tym zaliczana jest do bakterii Gram‑ujemnych. Proteus vulgaris występuje w zanieczyszczonych wodach, glebie, nawozie naturalnym, a także w przewodzie pokarmowym ludzi i zwierząt. W symulacji obraz mikroskopowy uzyskano w wyniku powiększenia dziesięcio-, czterdziesto- i stukrotnego. Początkowo pojawia się obraz mikroskopowy wybarwionych na różowo nieregularnych plam. W przybliżeniu pojawiają się liczne różowe pałeczki.
Szczegóły obserwacji mikroskopowej. W trzech filmach pokazano odmieńca pospolitego w powiększeniach kolejno 100 razy, 400 razy i 1000 razy. Początkowo obraz mikroskopowy pokazuje wybarwione na różowo, bezkształtne obszary. W czterystukrotnym powiększeniu obraz mikroskopowy ukazuje liczne kolonie różowych pałeczek. Niekiedy są one skupione w swoim pobliżu w taki sposób, że trudno jest odróżnić ich pojedyncze postacie. W tysiąckrotnym powiększeniu obraz mikroskopowy ukazuje liczne różowe pałeczki występujące blisko siebie.

Film dostępny pod adresem /preview/resource/RaqQ7XxTDcIW7
Film nawiązujący do treści materiału, zawiera wskazówki dotyczące sposobu używania mikroskopu, jak i przykłady obserwacji.
Ogólne wskazówki dotyczące techniki mikroskopowania w warunkach szkolnych:
Należy ustawić właściwe oświetlenie pola widzenia (tak aby uzyskać równomierne, jasne oświetlenie).
Preparat umieszcza się na stoliku przedmiotowym między łapkami mikroskopu.
Za pomocą śrub służących do przesuwania preparatu ustawia się obiekt obserwacji mniej więcej na przedłużeniu osi obiektywu.
Najpierw wybiera się obiektyw o najmniejszym powiększeniu.
Patrząc przez okular, należy podnosić stolik przedmiotowy, aż do uzyskania obrazu.
Obraz wyostrza się za pomocą śruby mikrometrycznej. Można wówczas skorygować światło.
Aby zmienić powiększenie, należy przekręcić rewolwer na obiektyw o większym powiększeniu, np. 10×, 40×.
Ostrość obrazu koryguje się za pomocą śruby mikrometrycznej.
Po skończonej obserwacji należy opuścić stolik i wyłączyć światło, a następnie wyjąć preparat i ustawić obiektyw o najmniejszym powiększeniu: 4×.
Mikroskop przykrywa się foliowym pokrowcem, aby uchronić go przed zabrudzeniami.
Oblicz wielkość powiększenia obrazu, jeśli podczas obserwacji zastosowano obiektyw o powiększeniu 100×, a mikroskop jest wyposażony w okular o powiększeniu 10×.


