Układ pokarmowy
Budowa i funkcje układu pokarmowego
Omówisz funkcje odcinków przewodu pokarmowego i gruczołów trawiennych oraz ich przystosowania do pobierania, trawienia i wchłaniania składników pokarmowych.
Przedstawisz związek budowy odcinków przewodu pokarmowego człowieka z pełnioną przez nie funkcją.
Przedstawisz rolę wydzielin gruczołów i komórek gruczołowych w obróbce pokarmu.
Wyprostuj dłonie i rozstaw szeroko palce, następnie przyłóż obie dłonie poniżej żeber, na brzuchu. Pod twoimi dłońmi znajdują się żołądek i jelita, o długości ok. 8 m. Jeśli dodamy do tego przełyk i jamę ustną, długość przewodu pokarmowego wzrasta do 9 m, czyli ponad czterokrotnie przekracza twój wzrost. Trudno uwierzyć, że w tak niewielkiej przestrzeni ciała mieści się aż tak długi i pracowity układ. To właśnie w nim codziennie zachodzi niezwykła podróż każdego kęsa – od pierwszego gryzu aż po dostarczenie komórkom energii niezbędnej do życia. Układ pokarmowy to prawdziwa fabryka: mieli, miesza, rozkłada i wybiera to, co najcenniejsze. W tym temacie dowiesz się, jak działa ta skomplikowana „maszyna” i dlaczego bez niej nie moglibyśmy funkcjonować nawet jednego dnia.
Układ pokarmowy składa się z przewodu pokarmowego, w którym pokarm jest rozdrabniany i trawiony, oraz z gruczołów trawiennych, które wydzielają soki trawienne, wspomagające proces obróbki pokarmu.
Przewód pokarmowy człowieka jest wyścielony różnymi rodzajami tkanki nabłonkowej. Dzięki temu poszczególne odcinki przewodu pokarmowego mogą pełnić specyficzne funkcje (ochronną, wchłaniania, wydzielniczą).
Przewód pokarmowy
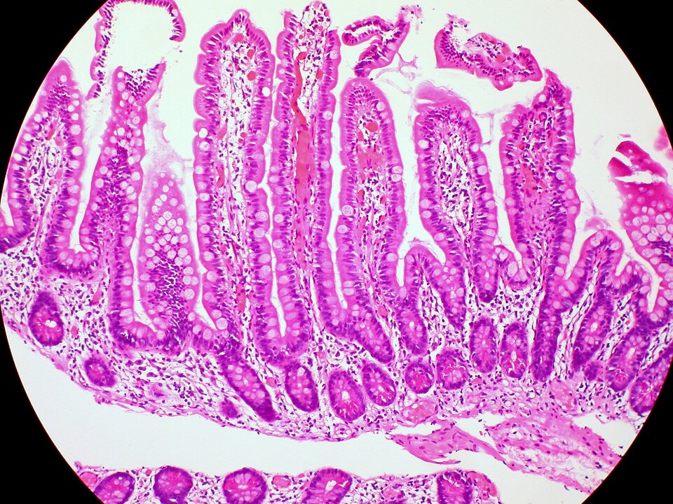
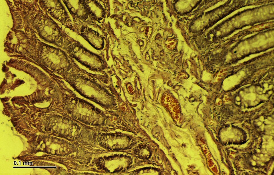
Przewód pokarmowy jest długą rurą, która rozpoczyna się jamą ustną, a kończy otworem odbytowym. W jego skład wchodzą: jama ustna, gardło, przełyk, żołądek, jelito cienkie oraz jelito grube zakończone otworem odbytowym. Do przewodu pokarmowego uchodzą gruczoły trawienne, do których należą: ślinianki, trzustka i wątroba.
Budowa ścian przewodu pokarmowego

Wokół światła przewodu ułożone są koncentrycznie błony: śluzowa (śluzówka), podśluzowa (podśluzówka), mięśniowa (mięśniówka) i łącznotkankowa (na niektórych odcinkach nazywana błoną surowiczą).
Perystaltyka przewodu pokarmowego
Pożywienie w jamie ustnej formuje się zwykle w małe grudki zwane kęsami. Kęsy są przesuwane wzdłuż przewodu dzięki falom skurczów mięśniówki. Skurcze te nazywane są ruchami robaczkowymi lub perystaltycznymiruchami robaczkowymi lub perystaltycznymi. Mięśnie okrężne ściany przewodu pokarmowego kurczą się, zmniejszając średnicę danego odcinka (np. przełyku), a skurcze mięśni podłużnych powodują jego skrócenie.

Na granicy niektórych odcinków przewodu pokarmowego warstwa mięśni okrężnych jest grubsza, tworząc zwieraczezwieracze, kontrolujące przepływ pokarmu przez przewód pokarmowy. Zwieracze zamykają i otwierają odcinki między przełykiem a żołądkiem, między żołądkiem a dwunastnicą oraz w odbytnicy, na końcu przewodu pokarmowego.
Odcinki przewodu pokarmowego i ich funkcje
Zęby
U człowieka, podobnie jak u innych ssaków wyższych, pierwsze uzębienie tworzą tzw. zęby mleczne. Na uzębienie mleczne w każdym łuku zębowym (szczękowym – górnym i żuchwowym – dolnym) składają się:
cztery siekacze (do odgryzania i przecinania kęsów pokarmu),
dwa kły (do przebijania i rozgryzania twardszych pokarmów),
cztery zęby trzonowe (do miażdzenia i rozcierania pokarmu).
Zazwyczaj między piątym a ósmym rokiem życia 20 zębów mlecznych zastępowanych jest przez 32 zęby stałe. W stałym, pełnym uzębieniu w każdym łuku zębowym występują:
cztery siekacze,
dwa kły,
cztery zęby przedtrzonowe (wyrastają w miejscu mlecznych zębów trzonowych i służą do miażdzenia i rozdrabniania pokarmu);
sześć stałych zębów trzonowych.
Rozmieszczenie zębów w łuku zębowym opisuje tzw. wzór zębowy, w którym cyfry oznaczają poszczególne rodzaje zębów w połowie każdego z dwóch łuków zębowych.
Wzór uzębienia mlecznego człowieka (20)
Łuk zębowy | I | C | P | M |
|---|---|---|---|---|
górny | 2 | 1 | 0 | 2 |
dolny | 2 | 1 | 0 | 2 |
Wzór uzębienia stałego człowieka (32)
Łuk zębowy | I | C | P | M |
|---|---|---|---|---|
górny | 2 | 1 | 2 | 3 |
dolny | 2 | 1 | 2 | 3 |
Każdy ząb, niezależnie od kształtu i pełnionej funkcji, składa się z:
korony;
szyjki;
korzenia zęba.

Korona zęba pokryta jest z zewnątrz szkliwem zawierającym w głównej mierze sole mineralne, które nadają szkliwu wyjątkowo dużą twardość. Szyjka i korzeń zęba pokryte są natomiast cementem - rodzajem tkanki kostnej. Komorę i kanał zęba zajmują centralnie położona miazga oraz otaczająca ją zębina. Miazga jest jedyną żywą tkanką zęba, która jest bogato unaczyniona i unerwiona. Główną jej funkcją jest dostarczanie substancji odżywczych i tlenu niezbędnych do prawidłowego funkcjonowania pozostałych tkanek zęba. Zębina stanowi większą część masy zęba, chroni miazgę i bierze udział w odbieraniu bodźców, np. temperaturowych (czucie zimna i ciepła) i bólowych.
Gruczoły układu pokarmowego
Ślinianki
Wyróżnia się trzy pary gruczołów ślinowych: ślinianki przyuszne, podjęzykowe i podżuchwowe. Oprócz tego w błonie śluzowej podniebienia, policzków, warg i języka rozsiane są liczne, niewielkie gruczoły wydzielające ślinę.
Wydzieliną gruczołów ślinowych jest ślina. Jest to bezbarwny płyn o prawie obojętnym pH (od 6,4 do 7,0), składający się z wody oraz małej ilości białek i soli mineralnych. W ślinie znajdują się enzymy trawienne rozpoczynające trawienie niektórych wielocukrów (np. skrobi) i tłuszczy występujących w postaci naturalnej emulsji (np. w śmietanie i mleku). Niektóre substancje, które rozpuszczają się w ślinie wywołują wrażenia smakowe. Ślina ułatwia przełykanie pokarmu i przesuwanie go do dalszych odcinków przewodu pokarmowego.
Wątroba
Wątroba składa się z czterech płatów, które zbudowane są z komórek wątrobowych – hepatocytów. Wątroba stanowi ok. 2‑3% masy ciała dorosłego człowieka, a jej większa część zlokalizowana jest w górnej części jamy brzusznej, pod przeponą, po prawej stronie.

Wątroba, nazywana również „centrum metabolicznym organizmu” jest narządem wielofunkcyjnym uczestniczącym w rozkładzie, syntezie i wydzielaniu różnych związków chemicznych.
- Nazwa kategorii: Funkcje wątroby{color=#8b0000}
- Nazwa kategorii: Krążeniowe{color=#ffc30f}
- Nazwa kategorii: produkcja białek osocza
- Nazwa kategorii: regulacja objętości krwi
- Nazwa kategorii: produkcja erytrocytów u płodu Koniec elementów należących do kategorii Krążeniowe{color=#ffc30f}
- Nazwa kategorii: Metaboliczne{color=#ff5733}
- Nazwa kategorii: wychwytywanie cukrów prostych
- Nazwa kategorii: magazynowanie glikogenu – glikogenogeneza
- Nazwa kategorii: glukoneogeneza
- Nazwa kategorii: utlenianie kwasów tłuszczowych
- Nazwa kategorii: cykl mocznikowy
- Nazwa kategorii: magazynowanie witamin A, D, E, K, B[subscript]12[\] i żelaza
- Nazwa kategorii: uwalnianie glukozy z cukru zapasowego glikogenu – glikogenoliza Koniec elementów należących do kategorii Metaboliczne{color=#ff5733}
- Nazwa kategorii: Detoksykacyjno‑wydzielnicze {color=#ff4d00}
- Nazwa kategorii: odtruwanie
- Nazwa kategorii: produkowanie żółci
- Nazwa kategorii: wydzielanie heparyny Koniec elementów należących do kategorii Detoksykacyjno‑wydzielnicze {color=#ff4d00}
- Elementy należące do kategorii Funkcje wątroby
- Elementy należące do kategorii Krążeniowe
- Elementy należące do kategorii Metaboliczne
- Elementy należące do kategorii Detoksykacyjno‑wydzielnicze

Przeprowadź symulację działania żółci na lipidy, a następnie wykonaj polecenia.

Zasób interaktywny dostępny pod adresem https://zpe.gov.pl/a/D9CVGPFP3
Przezroczysta pipeta z czarną końcówką u góry ze znajdującego się po prawej pęcherzyka żółciowego pobiera żółć oznaczoną na zielono. Następnie żółć zakrapla na plamę tłuszczu znajdującą się pod pipetą. Kropla tłuszczu rozkłada się na kilka mniejszych. Po ponownych pobraniach żółci i zakroplaniach krople tłuszczu rozkładają się na coraz mniejsze.
Żółć ma odczyn zasadowy i składa się głównie z soli kwasów żółciowych, które wspomagają procesy trawienia tłuszczów. Biorą one udział w emulgacji tłuszczy, czyli rozbijają duże krople tłuszczu na mniejsze, w wyniku czego tworzy się emulsja, co zwiększa powierzchnię działania enzymów.
Trzustka
Trzustka znajduje się w górnej części jamy brzusznej, za żołądkiem. Jest gruczołem trawiennym oraz gruczołem dokrewnymgruczołem dokrewnym.
Jako gruczoł trawienny trzustka produkuje i wydziela do dwunastnicy sok trzustkowy, który zawiera enzymy trawiące białka, tłuszcze, cukry oraz kwasy nukleinowe.

Jako gruczoł dokrewny, trzustka wydziela do krwi hormonyhormony regulujące poziom cukru we krwi. Hormony te produkowane są w skupiskach komórek tworzących wysepki trzustkowe (wyspy Langerhansa). Komórki alfa (alfa) wysepek trzustkowych produkują glukagonglukagon, natomiast komórki beta (beta) – insulinęinsulinę.

Podsumowanie
Układ pokarmowy człowieka składa się z przewodu pokarmowego oraz gruczołów trawiennych. Jego zadaniem jest pobieranie pokarmu, rozdrabnianie, trawienie i wchłanianie składników odżywczych.
Przewód pokarmowy budują: jama ustna, gardło, przełyk, żołądek, jelito cienkie i grube, odbyt.
W jamie ustnej znajdują się ślinianki. Wytwarzana przez nie ślina zawiera enzymy trawienne rozkładające niektóre wielocukry i tłuszcze.
W jamie ustnej znajdują się zęby. Ich funkcją jest mechaniczne rozdrabnianie pokarmu, co ułatwia działanie enzymów trawiennych w dalszych odcinkach przewodu pokarmowego. Każdy ząb składa się z korony, szyjki i korzenia. Zęby zbudowane są głównie z twardych tkanek – szkliwa, zębiny i cementu. U małych dzieci jest 20 zębów mlecznych. U dorosłego człowieka znajdują się 32 zęby stałe: siekacze, kły, przedtrzonowe i trzonowe.
Gardło i przełyk – odpowiadają za transport pokarmu do dalszych części przewodu pokarmowego.
Żołądek – wydziela kwas solny (ułatwia trawienie i niszczy bakterie) i enzymy trawiące białka i tłuszcze.
Jelito cienkie zbudowane jest z dwunastnicy, jelita czczego i krętego. W dwunastnicy odbywa się zasadnicze trawienie białek, tłuszczy, cukrów i kwasów nukleinowych. Główną funkcją jelita czczego i krętego jest wchłanianie składników pokarmowych uzyskanych po strawieniu pokarmu.
Jelito grube - odpowiada za wchłanianie wody i soli mineralnych. Jest zasiedlone przez liczne bakterie jelitowe odpowiedzialne za fermentację niestrawionych resztek, syntezę niektórych witamin (np. K, część z grupy B) oraz ochronę przed bakteriami patogennymi.
Do gruczołów trawiennych należą ślinianki, wątroba i trzustka.
Ślinianki wytwarzają ślinę, która m.in. zawiera enzymy trawiące niektóre wielocukry i tłuszcze.
Trzustka – produkuje sok trzustkowy z enzymami trawiącymi białka, cukry, tłuszcze i kwasy nukleinowe. Trawienie przy udziale enzymów trzustkowych zachodzi w dwunastnicy. Trzustka pełni również funkcje gruczołu dokrewnego wydzielając hormony regulujące poziom cukru we krwi.
Wątroba – wytwarza żółć, która w dwunastnicy emulguje tłuszcze (rozbija je na drobne kropelki, co ułatwia działanie enzymom trawiennym).
Ćwiczenia utrwalające
Jego powierzchnia jest silnie pofałdowana i pokryta licznymi kosmkami: 1. żołądek, 2. jelito cienkie, 3. jelito grube.
Tu zamieszkują liczne bakterie, które wytwarzają witaminy: 1. żołądek, 2. jelito cienkie, 3. jelito grube.
W jelicie grubym wchłaniane są wszystkie witaminy zawarte w spożywanym pokarmie.
Wzór zębowy, zwany też formułą zębową, to sposób opisu typu i liczby zębów ssaków. Zapis wzoru zębowego może mieć postać taką jak na poniższym przykładzie. W górnym wierszu tabeli zawarta jest liczba zębów danego typu w połowie szczęki górnej, a w dolnym – żuchwy. Liczba danych typów zębów we wzorze zębowym podawana jest w kolejności: siekacze, kły, zęby przedtrzonowe, zęby trzonowe. Poniższy przykład przedstawia wzór zębowy mlecznego uzębienia człowieka. W stosunku do uzębienia stałego brakuje w nim czterech zębów przedtrzonowych (zarówno w szczęce górnej, jak i dolnej) oraz jednego zęba trzonowego (w każdej połowie obu łuków zębowych).
górny łuk | 2 | 1 | 0 | 2 |
|---|---|---|---|---|
dolny łuk | 2 | 1 | 0 | 2 |
Wróć do polecenia na stronie „Na dobry początek” i dopisz brakujące definicje. Pamiętaj, żeby nie kopiować słownika, ale wyjaśnić każde słowo kluczowe w miarę możliwości swoimi słowami.






