Układ pokarmowy
Choroby układu pokarmowego człowieka
Omówisz przyczyny chorób układu pokarmowego.
Przedstawisz znaczenie badań diagnostycznych (gastroskopia, kolonoskopia, USG) w profilaktyce chorób układu pokarmowego, w tym raka żołądka, raka jelita grubego.
Podasz przyczyny otyłości u człowieka oraz sposoby jej profilaktyki.
Przedstawisz zaburzenia odżywiania (anoreksja, bulimia) i ich skutki zdrowotne.
Każdy kiedyś cierpiał z powodu bólu brzucha. Miał niestrawność, wzdęcia, zaparcia lub biegunkę. Okazuje się, że przypadłości te dotykają coraz większej liczby osób w Polsce i na świecie. Jednocześnie coraz więcej ludzi jest dotkniętych nadwagą lub otyłością. Lekarze alarmują, że z roku na rok przybywa chorych z powodu tych zaburzeń i innych problemów z pracą układu pokarmowego. Jakie są tego przyczyny?
Choroby układu pokarmowego
Zaburzenia pracy układu pokarmowego dotyczą zarówno jego czynności motorycznych, jak i procesów wydzielniczych i wchłaniania. Mogą być również wynikiem zakażeń drobnoustrojami chorobotwórczymi, pasożytami lub zmian nowotworowych.
Wśród czynników sprzyjających powstawaniu chorób jelit wymienia się:
stres
spożywanie żywności wysoko przetworzonej
nadmierne stosowanie leków, szczególnie antybiotyków
brak aktywności fizycznej
zanieczyszczenia środowiska
zaburzenia składu i czynności mikrobiomu jelitowego
Do groźnych chorób układu pokarmowego człowieka należą: kamica żółciowa, zespół złego wchłaniania, choroba Leśniowskiego‑Crohna, choroba wrzodowa żołądka i dwunastnicy, rak żołądka, rak jelita grubego.
Choroby pasożytnicze układu pokarmowego
Obejrzyj film „Pasożyty przewodu pokarmowego człowieka”. Zwróć uwagę na: (1) drogi zakażenia pasożytami, (2) charakterystykę najważniejszych pasożytów przewodu pokarmowego człowieka, (3) przystosowania organizmów do pasożytnictwa, (4) choroby wywoływane przez pasożyty przewodu pokarmowego, ich objawy oraz zasady profilaktyki. Po obejrzeniu filmu wykonaj Polecenia 1‑4.

Film dostępny pod adresem /preview/resource/R3K4H3LZU8FTB
Film nawiązujący do treści materiału.
Diagnostyka chorób układu pokarmowego
Regularne wykonywanie badań profilaktycznych układu pokarmowego pozwala na wczesne wykrycie chorób i zastosowanie odpowiedniego leczenia. Do oceny stanu układu pokarmowego oraz wykrywania uszkodzeń spowodowanych chorobą służą badania obrazowe. Polegają one na obserwacji narządów za pomocą odpowiedniej aparatury medycznej (gastroskop, kolonoskop). Poza badaniami obrazowymi w diagnostyce chorób układu pokarmowego wykonuje się m.in. badania na krew utajoną i próby wątrobowe.
Zapoznaj się z opisami badań stosowanych w profilaktyce chorób układu pokarmowego.
Badanie ultrasonograficzne (USG) wykonuje się, by ocenić stan wątroby, trzustki, śledziony, dróg żółciowych i pęcherzyka żółciowego. Uwidacznia ono na monitorze strukturę tych narządów oraz pozwala wykryć zmiany i nieprawidłowości, takie jak zrosty, guzy, kamienie, cysty. Badanie to pozwala także wykryć obecność płynu w jamie brzusznej. Aparat USG wykorzystuje fale akustyczne o wysokiej częstotliwości, nieinwazyjne dla człowieka.
Gastroskopia to rodzaj badania endoskopowegoendoskopowego górnego odcinka przewodu pokarmowego, które polega na wprowadzeniu do przełyku przewodu rejestrującego i przekazującego obraz z wnętrza ciała pacjenta. Badanie umożliwia obserwację zmian na powierzchni przełyku, żołądka i dwunastnicy. W jego trakcie lekarz może pobrać fragment błony śluzowej w celu dalszego badania histopatologicznegobadania histopatologicznego zlokalizowanych zmian. Dzięki gastroskopii możliwe jest wczesne wykrycie wrzodów żołądka i dwunastnicy, nowotworów i zmian zapalnych, a także obecności bakterii Helicobacter pylori.

Kolonoskopia jest ważnym badaniem endoskopowym wykonywanym w profilaktyce raka jelita grubego. Polega na wprowadzeniu przez odbyt giętkiego przyrządu zakończonego kamerą (kolonoskopu). Umożliwia to obserwację ścian i pobieranie wycinków błony śluzowej jelita grubego do badań histopatologicznych, a także wykonywanie drobnych zabiegów, jak np. usunięcie polipów, lub ostrzyknięcie środkami hamującymi krwawienie. Jest podstawową metodą diagnostyczną w chorobach jelita grubego, w tym nowotworów.

Próby wątrobowe to badania polegające na ocenie aktywności wybranych enzymów zawartych w komórkach wątroby, które w przypadku jej uszkodzenia są wyrzucane do krwi. Badania te polegają na ocenie aktywności tych enzymów oraz stężenia bilirubiny (produkt rozpadu hemoglobiny, barwnik żółci) we krwi. Pozwalają one wykryć uszkodzenie wątroby spowodowane cukrzycą czy nadużywaniem alkoholu i leków, a także zatrucia, np. grzybami. Są pomocne w diagnozowaniu przewlekłego stanu zapalnego wątroby wywołanego przez wirusy HBV i HCV (wirusy zapalenia wątroby typu B i C).

Krew utajona w kale może pochodzić z dowolnego odcinka przewodu pokarmowego. Jej niewielka ilość nie zmienia barwy kału ani jego konsystencji, więc jest niewidoczna gołym okiem. Można ją wykryć tylko za pomocą testów diagnostycznych próbki kału. Oprócz chorób takich jak zapalenie jelita grubego lub polipy jelita krew w kale może wskazywać na początek choroby nowotworowej jelita. Polipy jelita grubego są łagodnymi zmianami nowotworowymi, które mają tendencję do przekształcania się w nowotwory złośliwe.

Endoskopia kapsułkowa jest jedną z najnowocześniejszych metod diagnostycznych umożliwiających oglądanie wnętrza przewodu pokarmowego. Pacjent połyka maleńką kapsułkę, w której ukryta jest bezprzewodowa kamera. Dzięki ruchom perystaltycznym kapsułka przemieszcza się wzdłuż przewodu pokarmowego. Umieszczony w niej aparat wykonuje tysiące zdjęć, tworząc film, który jest następnie poddawany analizie lekarza.
Nadwaga i otyłość - przyczyny, skutki i sposoby zapobiegania
Nadwaga to stan, w którym organizm zgromadził nadmiar tkanki tłuszczowej, podczas gdy otyłość oznacza patologiczną, nadmierną kumulację tłuszczu, która upośledza zdrowie i funkcjonowanie organizmu.
Przyczyną otyłości jest długotrwały dodatni bilans energetyczny, czyli nadmierna podaż energii dostarczanej w pożywieniu w stosunku do energii zużywanej przez organizm.
Większość otyłych to ludzie z tzw. otyłością pierwotną, spowodowaną nadmiernym spożywaniem pokarmów oraz złymi nawykami żywieniowymi. Przejadanie się, nieregularne spożywanie posiłków, dieta obfitująca w tłuszcze i węglowodany, a uboga w warzywa, uzależnienia od cukru i soli powodują zbyt duży przyrost masy ciała. Również tempo życia, niska aktywność fizyczna czy niedostateczna ilość snu przekładają się na dodatkowe kilogramy.
Przyczyną tzw. otyłości wtórnej mogą być zaburzenia hormonalne oraz zażywane leki, które powodują nagromadzenie tkanki tłuszczowej. Na występowanie tego typu otyłości mogą również wpływać uwarunkowania genetyczne, przebyte ciąże, starzenie się czy nadmierny stres.
Jak diagnozować nadwagę i otyłość?
Nadwagę i otyłość można zdiagnozować za pomocą kilku wskaźników masy ciała. Najpowszechniejszy z nich to BMI (ang. body mass index).
Na podstawie wartości wskaźnika BMI można w przybliżeniu określić zawartość tkanki tłuszczowej w organizmie i stwierdzić, czy dana osoba ma jej za mało (jest niedożywiona) czy w nadmiarze (ma nadwagę lub jest otyła). BMI pozwala również oszacować ryzyko pojawienia się chorób towarzyszących otyłości. Wskaźnik ten oblicza się na podstawie poniższego wzoru.

Światowa Organizacja Zdrowia (WHO) zaproponowała jednolite, stosowane powszechnie na całym świecie, wspólne kryteria oceny prawidłowej masy ciała osób dorosłych na podstawie wskaźnika BMI (Tabela 1).
KLASYFIKACJE | BMI | RYZYKO CHORÓB TOWARZYSZĄCYCH OTYŁOŚCI |
|---|---|---|
Niedowaga | 18,5 | Niskie (zwiększone ryzyko innych chorób) |
Norma | 18,5–24,9 | Średnie |
Nadwaga | 25–29,9 | Podwyższone |
Otyłość stopnia | 30–34,9 | Znacznie podwyższone |
Otyłość stopnia | 35–39,9 | Wysokie |
Otyłość III stopnia | 40 | Bardzo wysokie |
U dzieci i młodzieży wskaźnik BMI zmienia się w miarę wzrastania. Dlatego do oceny ich prawidłowej masy ciała stosowane są odpowiednie normy przygotowane dla danego kraju lub regionu. Mają one postać tzw. siatek centylowych, uwzględniających płeć i wiek badanych.
Więcej o siatkach centylowych oraz sposobach diagnozowania nadwagi i otyłości dowiesz się z materiałów umieszczonych w „Wejdź na wyższy poziom” w module podsumowującym ten wątek.
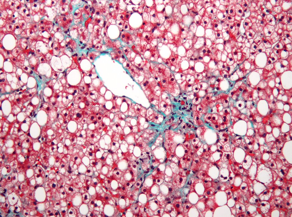
Skutki otyłości
Nadmiar tkanki tłuszczowej odkłada się nie tylko w postaci widocznych fałdek na biodrach, udach i pośladkach. Znacznie bardziej niebezpieczne dla zdrowia jest gromadzenie się tkanki tłuszczowej wewnątrz jamy brzusznej, która powoduje powikłania metaboliczne.
Skutki otyłości przedstawiono w galerii zdjęć.
Otyłość przyczynia się także do pogorszenia samopoczucia psychicznego. Prowadzi do obniżenia samooceny, przez co zwiększa ryzyko depresji. Młodzi ludzie z otyłością są często nieakceptowani, stając się celem ataków rówieśników. To może powodować pogłębienie problemów emocjonalnych, chęć izolacji lub zachowań antyspołecznych.
Jak zapobiegać nadwadze i otyłości?
Zaburzenia odżywiania
Zaburzenia łaknienia (apetytu) objawiają się najczęściej jako niechęć do spożywania pokarmów lub niepohamowana potrzeba jedzenia. Należą do nich: anoreksja, bulimia i kompulsywne objadanie się.
Zaburzenia te mają podłoże psychiczne. Wynikają często z nieprawidłowych relacji w rodzinie, wśród rówieśników albo z presji społecznej i propagowania przez media rzadko spotykanych naturalnie typów kobiecej budowy jako najbardziej atrakcyjnych. Zaburzenia łaknienia stanowią zagrożenie dla zdrowia oraz kondycji psychicznej, a w stanach zaawansowanych zagrażają życiu. Dotykają młodzież już w wieku nastoletnim.

Przypadki zaburzeń odżywiania notowano od stuleci. Dawniej wynikały one jednak z umartwiania się i zbyt rygorystycznie przestrzeganych postów. W drugiej połowie XX wieku w krajach Zachodu anoreksja i bulimia stały się problemem społecznym. Mniej więcej w tym czasie masowe media zaczęły promować jako idealnie piękną bardzo drobną kobiecą sylwetkę. Ten typ budowy naturalnie miały tylko nieliczne młode kobiety. Inne, aby móc nosić modne ubrania szyte na takie proporcje, zaczęły stosować drastyczne diety. W kolejnych dekadach ten popkulturowy trend powracał w coraz bardziej niebezpiecznym wydaniu. Przykładowo w latach dziewięćdziesiątych obecny był trend o nazwie heroin chic. Charakteryzował się on m.in. bladą skórą, cieniami pod oczami, niedbale ułożonymi włosami i bardzo szczupłą figurą, co kojarzyło się ze stereotypowym obrazem osoby nadużywającej heroiny.
W ciągu ostatnich 50 lat wiele młodych dziewczyn, zafascynowanych modą i modelkami, uznawało, że naturalna budowa ich ciał jest niewłaściwa. Nie zdawały sobie sprawy, że prezentowane na zdjęciach mody wzorce nie są tak naprawdę osiągalne. Nawet modelki w rzeczywistości nie wyglądają tak dobrze, jak na fotografiach.
Zapoznaj się z charakterystyką zaburzeń odżywiania
Anoreksja jest zaburzeniem o podłożu psychicznym. Wynika m.in. z nadmiernej potrzeby kontroli, która manifestuje się obsesyjnym strachem przed tyciem oraz brakiem akceptacji własnego wyglądu. Chorobie towarzyszą regularnie powtarzane czynności, takie jak nieustane ważenie się, liczenie wartości kalorycznej spożywanych posiłków, intensywne ćwiczenia. Dlatego też osoby chorujące na anoreksję często zmniejszają porcje jedzenia do skali niewyobrażalnej dla zdrowych osób. Tak radykalna ingerencja w prawidłowe funkcjonowanie organizmu powoduje znaczny spadek masy ciała, wychudzenie i wyniszczenie, którego chorzy po prostu nie dostrzegają. Nieleczona anoreksja może skończyć się śmiercią z wycieńczenia.

W początkowej fazie anoreksja jest trudna do rozpoznania, gdyż często osoba chora ukrywa swój stan. Później spadek masy ciała jest tak znaczny, że nie może zostać niezauważony. Poza widocznym, nadmiernym wychudzeniem występują objawy świadczące o zaburzeniu stanu równowagi organizmu:
zmniejszenie odporności,
zaburzenia krążenia,
naprzemienne biegunki i zaparcia.
w ostatniej fazie choroby następuje całkowita utrata apetytu i uczucia głodu.
zwiększone ryzyko złamań kości, będące skutkiem postępującej osteoporozy.
obniżenia ciśnienia tętniczego krwi, zwolnienia tętna i obniżenia ciepłoty ciała, czemu towarzyszy ciągłe uczucie zimna.
kobiety dotknięte anoreksją często przestają miesiączkować.
głodówka wpływa również na stan psychiczny – pojawiają się depresja i niepokój przed utratą efektów długotrwałej głodówki.

Jadłowstręt psychiczny jest chorobą trudną w leczeniu z uwagi na częsty brak motywacji osoby chorej do wyzdrowienia. Leczenie polega na stopniowym zwiększaniu masy ciała anorektyka przez stosowanie wysokokalorycznej diety z równoczesną psychoterapią oraz opieką psychiatry. Często potrzebne jest stosowanie leków zwiększających apetyt oraz poprawiających samopoczucie. W przypadkach skrajnej anoreksji stosuje się karmienie dojelitowe podczas leczenia szpitalnego. Niektóre osoby wracają do zdrowia po jednym epizodzie anorektycznym, u innych problem powraca wielokrotnie.
Bulimia jest chorobą o podłożu psychicznym. Bardzo często dotyka osób, które nie akceptują swojego wyglądu. Osoby cierpiące na bulimię przeżywają okresy trudnego do opanowania głodu i nadmiernego objadania się. Po spożyciu ogromnej ilości pożywienia czują się winne i przyjmują środki przeczyszczające, moczopędne lub hamujące apetyt, a także często prowokują wymioty. Cykliczność epizodów objadania się i wymiotów jest coraz częstsza, aż w końcu dominuje w życiu chorego. Odruchowe wymioty pojawiają się po każdym posiłku.

Objawy bulimii często są niezauważalne dla otoczenia, bo chorzy objadają się w ukryciu. Pierwszymi widocznymi dla otoczenia objawami bulimii są:
uszkodzenia szkliwa zębów, stany zapalne dziąseł i podrażnienia przełyku wskutek działania soku żołądkowego zawartego w cofającej się podczas wymiotów treści pokarmowej.
wymioty prowadzą również do odwodnienia i zachwiania równowagi jonowej, co powoduje zaburzenia akcji serca i uszkodzenia nerek.
stałe zażywanie środków przeczyszczających wiąże się z trudnościami w wypróżnianiu i, w konsekwencji, chorobami jelit.
Leczenie bulimii jest długotrwałe i nie zawsze przynosi oczekiwane efekty. Polega na ustaleniu racjonalnego jadłospisu oraz długotrwałej psychoterapii wspomaganej lekami antydepresyjnymi.
Zaburzenie to polega na powtarzających się niekontrolowanych napadach objadania się, stąd nazywane jest również wewnętrznym przymusem nadmiernego jedzenia. Osoba dotknięta zaburzeniem spożywa znaczne ilości pożywienia, nie kontrolując jego objętości ani rodzaju. Długotrwałe kompulsywne objadanie się może doprowadzić do nadwagi i otyłości. Może być również przyczyną depresji i obniżenia nastroju. Pierwszym krokiem w terapii jest rozpoznanie czynników, które powodują zaburzenie. W jego leczeniu skuteczna może okazać się psychoterapia wspomagana przez psychodietetyka.

W przebiegu anoreksji przyjmuje się, że BMI < 13,5 jest stanem bezpośredniego zagrożenia życia i taka osoba powinna być natychmiast poddana leczeniu ze względu na duże ryzyko nagłego zgonu. Z tego powodu zaawansowaną anoreksję leczy się na oddziałach szpitalnych.
Podsumowanie
Choroby układu pokarmowego mogą mieć różnorodne przyczyny, w tym niewłaściwą dietę, brak aktywności fizycznej, przewlekły stres, nadużywanie leków, zaburzenia składu i czynności mikrobiomu jelitowego.
Do groźnych chorób układu pokarmowego człowieka należą: kamica żółciowa, zespół złego wchłaniania, choroba Leśniowskiego‑Crohna, choroba wrzodowa żołądka i dwunastnicy, rak żołądka, rak jelita grubego.
Badania diagnostyczne takie jak gastroskopia, kolonoskopia i USG jamy brzusznej odgrywają kluczową rolę w wczesnym wykrywaniu nieprawidłowości, umożliwiając diagnozowanie stanów zapalnych, nadżerek, polipów czy guzów. Regularne wykonywanie tych badań jest istotne w profilaktyce chorób nowotworowych przewodu pokarmowego, szczególnie raka żołądka i raka jelita grubego.
Otyłość u człowieka wynika najczęściej z nadmiernego spożycia kalorii, niskiej aktywności fizycznej, czynników genetycznych, zaburzeń hormonalnych, wpływu środowiska oraz niezdrowych nawyków żywieniowych. Jej profilaktyka obejmuje zrównoważoną dietę, regularną aktywność fizyczną, właściwą higienę życia, kontrolę masy ciała oraz edukację zdrowotną wspomagającą świadome wybory żywieniowe.
Zaburzenia łaknienia, takie jak anoreksja, bulimia i kompulsywne objadanie się, wynikają z nieprawidłowej regulacji odżywiania i mogą prowadzić do poważnych problemów zdrowotnych.
Ćwiczenia utrwalające
Wróć do polecenia na stronie „Na dobry początek” i dopisz brakujące definicje. Pamiętaj, żeby nie kopiować słownika, ale wyjaśnić każde słowo kluczowe w miarę możliwości swoimi słowami.











