Układ oddechowy
Zaburzenia funkcjonowania układu oddechowego
Wyjaśnisz, jaki wpływ na funkcjonowanie układu oddechowego ma zanieczyszczenie powietrza i palenie papierosów.
Przedstawisz podstawowe metody diagnostyki układu oddechowego.
Przedstawisz podstawowe choroby układu oddechowego.
Człowiek w ciągu doby zużywa od 8 do 14 tys. litrów powietrza. Bez dopływu tlenu organizm może przetrwać przeciętnie ok. 3 minut. Rekordzista, nurek wstrzymał oddech na ponad 11 minut. Każde schorzenie układu oddechowego prowadzi do upośledzenia procesu oddychania, co bywa śmiertelnie niebezpieczne. Natomiast dbałość o układ oddechowy i zapobieganie jego chorobom zwiększają szansę na utrzymanie homeostazy organizmu i dłuższe życie.
Wpływ zanieczyszczenia powietrza na układ oddechowy i organizm człowieka
Zanieczyszczenie powietrza to obecność w atmosferze substancji, które nie są jej naturalnymi składnikami, lub występują w stężeniach wyższych niż naturalne i mają szkodliwy wpływ na zdrowie ludzi, zwierząt, roślin i środowisko. Zanieczyszczenia powietrza mogą mieć pochodzenie naturalne (np. w rezultacie wybuchów wulkanów, pożarów lasów) lub antropogeniczne (w wyniku działalności człowieka).
Zapoznaj się z filmem i wykonaj polecenia.

Film dostępny pod adresem /preview/resource/RL247DA137SZ6
Nagranie filmowe pod tytułem Czynniki sprzyjające rozwojowi chorób układu oddechowego.
Papieros tradycyjny i e‑papieros - dlaczego są szkodliwe?
Głównym składnikiem psychoaktywnym w tytoniu jest nikotyna. Jest to silnie uzależniająca substancja, która pobudza układ nagrody i wydzielanie tzw. hormonów szczęścia. Ma również działanie pobudzające – zwiększa wydzielanie adrenaliny, co prowadzi do zwężenia naczyń krwionośnych i wzrostu ciśnienia krwi. To z kolei utrudnia przepływ krwi do narządów, w tym serca i mózgu, i stanowi jeden z głównych czynników ryzyka choroby niedokrwiennej serca i udaru niedokrwiennego mózgu. U kobiet w ciąży, nikotyna przenika przez łożysko do płodu, zakłócając jego wzrost i rozwój. Noworodki, których matki paliły, często mają niską masę urodzeniową.
Nikotyna wytwarza tak mocne uzależnienie, że wiele osób nie jest w stanie porzucić nałogu, chociaż zdają sobie sprawę, że niszczy on zdrowie.
Papieros tradycyjny
W dymie tytoniowym powstającym w wyniku palenia tradycyjnych papierosów znajduje się ok. 4000 toksycznych dla organizmu związków chemicznych, z czego około 40 wykazuje działanie rakotwórcze. Są to zarówno cząstki stałe jak i gazowe, które po dostaniu się do układu oddechowego rozprowadzane są wraz z krwią po całym organizmie. Szczególnie negatywny wpływ mają na układ oddechowy. Osadzając się na nabłonkach górnych dróg oddechowych zwiększają wydzielanie śluzu, który zlepia rzęski komórek nabłonkowych utrudniając usuwanie zanieczyszczeń. Dodatkowo śluz upośledza wymianę gazową. Do jej ograniczenia przyczynia się również wdychany podczas palenia papierosów tlenek węgla, który łączy się hemoglobiną blokując transport tlenu po organizmie. Obecne w dymie papierosowym substancje uszkadzają strukturę płuc sprzyjając rozwojowi choroby obturacyjnej płuc (POChP). Związki rakotwórcze indukują mutacje i w konsekwencji rozwój nowotworów w obrębie układu oddechowego (jamy ustnej, gardła, płuc), a także narządów innych układów, np. pęcherza moczowego, przełyku i żołądka.
Na negatywny wpływ substancji toksycznych w dymie papierosowym narażone są również osoby przebywające w otoczeniu palacza (tzw. bierni palacze).
W dymie papierosowym znajdują się m.in. aceton, amoniak, benzen, formaldehyd, aldehyd octowy, ołów i rtęć. Te toksyczne substancje są na liście trucizn uszkadzających tkanki i narządy.
Indeks górny Źródło: Katarzyna Szkamruk, Katarzyna Zięba, Karolina Kosek‑Hoehne, „Wpływ metali ciężkich znajdujących się w dymie tytoniowym na organizm człowieka. Nauki przyrodnicze i medyczne: Żywienie, sport oraz zdrowie, IPKIN, Lublin, 2018, 131‑141. Indeks górny koniecŹródło: Katarzyna Szkamruk, Katarzyna Zięba, Karolina Kosek‑Hoehne, „Wpływ metali ciężkich znajdujących się w dymie tytoniowym na organizm człowieka. Nauki przyrodnicze i medyczne: Żywienie, sport oraz zdrowie, IPKIN, Lublin, 2018, 131‑141.
E‑papieros
Szkodliwy wpływ tradycyjnych papierosów na zdrowie nie jest już przez nikogo kwestionowany. Dlatego koncerny tytoniowe zaproponowały zmodyfikowaną formę starego produktu: e‑papierosy (ang. electronic nicotine delivery system – ENDS). W ciągu kilkunastu lat od wprowadzenia na rynek stało się oczywiste, że e‑papierosy nie są obojętne dla zdrowia. Ze względu na obecność nikotyny powodują uzależnienie, a powstający podczas ich używania aerozol uszkadza komórki nabłonka pęcherzyków płucnych oraz indukuje powstawanie stanów zapalnych i włóknienie drobnych dróg oddechowych. Substancje zawarte w płynach do e‑papierosów mogą również powodować alergie, sprzyjać rozwojowi astmy i choroby obturacyjnej płuc. W 2008 roku Światowa Organizacja Zdrowia wprowadziła zakaz reklamowania e‑papierosów i nakazała prowadzenie badań nad szkodliwością ich używania.
Diagnostyka chorób układu oddechowego
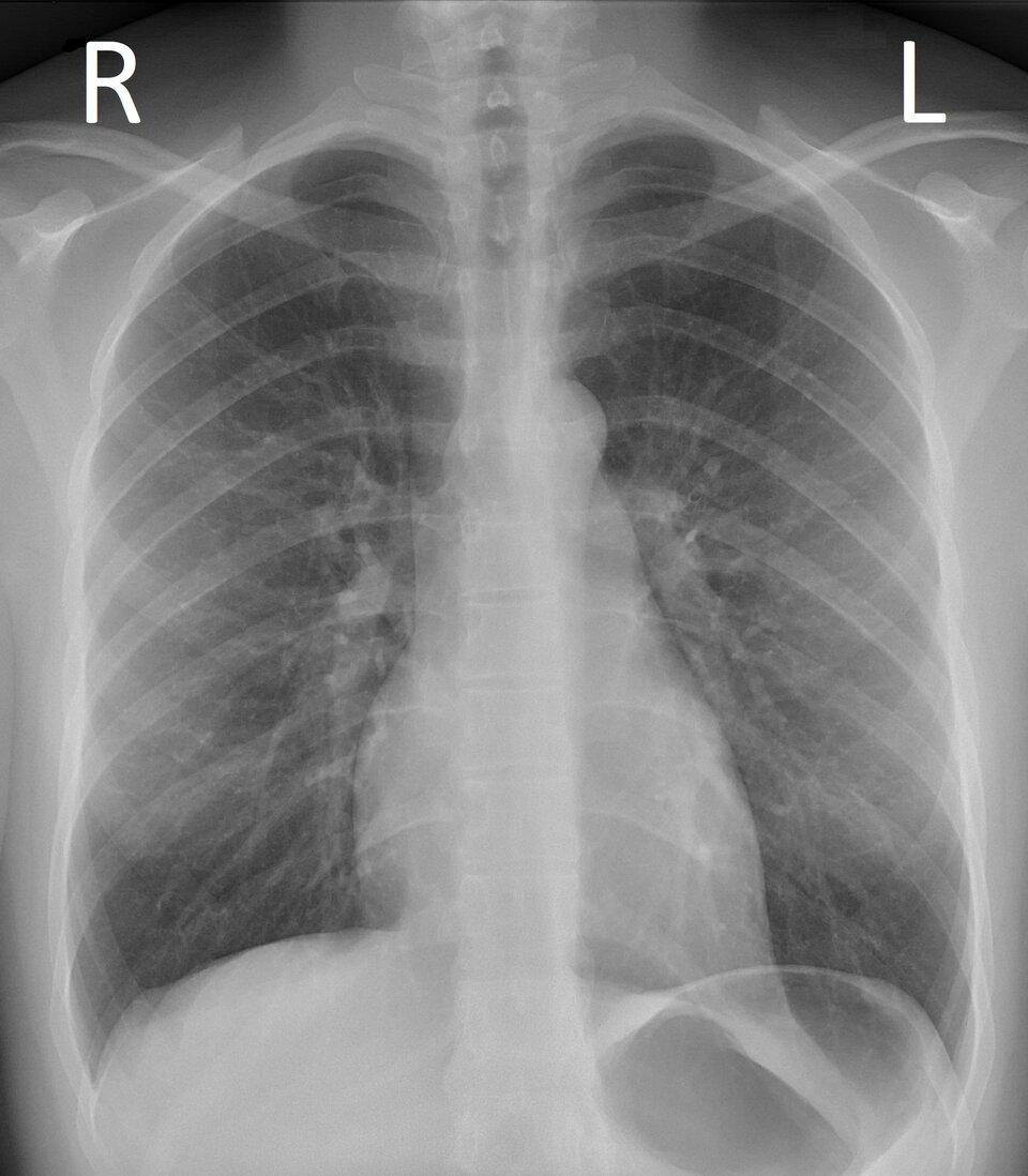
RTG płuc
RTG (rentgenografia) o badanie obrazowe wykorzystujące promieniowanie rentgenowskie do uzyskania obrazu narządów znajdujących się w klatce piersiowej. Jest badaniem szybkim, nieinwazyjnym i często wykonywanym jako podstawowa metoda diagnostyczna przy podejrzeniu chorób płuc (np. zapalenia płuc, gruźlicy, nowotworów),
Na zdjęciu radiologicznym (rentgenogramie, radiogramie, zdjęciu RTG) zaznaczone są strony pacjenta z perspektywy osoby stojącej z przodu. Prawa strona oznaczona jest literą R, a lewa literą L.

W opisie zdjęcia RTG lekarz posługuje się pojęciami przejaśnienie i zacienienie, jednak w przeciwnym znaczeniu tych słów. Przejaśnieniem nazywa miejsce, które widzi na zdjęciu jako zaczernienie, ponieważ promieniowanie zostało tam pochłonięte w nieznacznym stopniu. Natomiast w miejscu, które lekarz opisuje jako zacienienie, promieniowanie zostało pochłonięte w większej ilości i widoczne jest ono jako biały/jasnoszary fragment.
Spirometria
Jest to badanie, które pozwala na określenie pojemności i objętości płuc oraz szybkości oddechowej. W czasie badania spirometrycznego pacjent oddycha przez ustnik podłączony do spirometru. Pacjent wykonuje polecenia lekarza – kilkukrotnie robi maksymalny, pogłębiony wdech, a następnie maksymalny, pogłębiony wydech. Po przeprowadzeniu badania lekarz otrzymuje wynik – spirogram, który jest wykresem zmian objętości płuc w czasie wdechu i wydechu.
Spirometria jest zalecaną techniką diagnostyczną dla osób, u których występuje podejrzenie astmy. U osób z tym schorzeniem szybkość wdechu lub wydechu będzie mniejsza ze względu na obkurczenie światła dróg oddechowych.
Bronchoskopia
To badanie endoskopowebadanie endoskopowe polegające na wprowadzeniu do dróg oddechowych (przez nos lub usta) cienkiej, giętkiej rurki zwanej bronchoskopem. Umożliwia oglądanie wnętrza tchawicy i oskrzeli, pobieranie próbek wydzieliny lub fragmentów tkanki (biopsja), a także wykonywanie niektórych zabiegów leczniczych (np. usunięcie ciała obcego, odessanie wydzieliny). Wykonuje się je m.in. przy krwiopluciu, przewlekłym kaszlu, podejrzeniu nowotworu lub gruźlicy.
Choroby układu oddechowego
Choroby infekcyjne

W leczeniu kataru, przeziębienia i grypy nie należy stosować antybiotyków z trzech podstawowych powodów:
antybiotykoterapia jest nieskuteczna w leczeniu infekcji wirusowych;
przyjmowanie antybiotyków może doprowadzić do zniszczenia wewnątrzustrojowej flory bakteryjnej, co w efekcie może powodować groźne powikłania; zbyt częste, nieuzasadnione stosowanie antybiotykoterapii sprzyja powstawaniu lekooporności bakterii chorobotwórczych.
Choroby nowotworowe
Najczęstszą chorobą nowotworową układu oddechowego jest rak płuc. Jego główna przyczyna (odpowiedzialna za ok. 90 proc. przypadków) to palenie papierosów. Ocenia się, że rocznie na świecie umiera z powodu tej choroby ok. 1,6 mln osób. Rozwijający się nowotwór płuc przez długi czas nie daje żadnych objawów lub obserwowane są objawy niespecyficzne (kaszel, chrypa, słabo zaznaczone duszności). Dlatego zazwyczaj choroba diagnozowana jest w zaawansowanych stadiach. Leczenie polega na chirurgicznym usunięciu tkanki nowotworowej oraz wspomagającej radioterapiiradioterapii i chemioterapiichemioterapii.

Choroby genetyczne
Mukowiscydoza jest dziedziczną chorobą, która polega na produkcji nadmiernie lepkiego śluzu w układzie pokarmowym i oddechowym. Objawami mukowiscydozy ze strony układu oddechowego są: przewlekły kaszel, nawracające zapalenia oskrzeli i płuc, krwioplucie, zmiany w płucach prowadzące do zamykania światła oskrzeli. Do dziś nie znaleziono sposobu leczenia tego schorzenia. Terapia polega jedynie na łagodzeniu objawów. Średnia długość życia pacjentów z mukowiscydozą to ok. 40 lat.
Inne choroby przewlekłe
Często spotykanym schorzeniem jest przewlekła obturacyjna choroba płuc (POChP). Charakteryzuje się postępującym zmniejszaniem przepływu powietrza przez drogi oddechowe. To następstwo degradacji oskrzelików oraz uszkodzenia pęcherzyków płucnych przez zanieczyszczenia pyłowe lub palenie tytoniu. Objawami POChP są duszności, przewlekły kaszel, trudności w oddychaniu, krwioplucie i świszczący oddech. Leczenie polega wyłącznie na łagodzeniu objawów, gdyż POChP jest nieuleczalna.

Do często występujących, przewlekłych schorzeń układu oddechowego należy też astma oskrzelowa. Charakteryzuje się długotrwałym stanem zapalnym dróg oddechowych prowadzącym do napadów duszności, które wynikają z czasowego zwężenia światła oskrzeli. Uważa się, że występowanie astmy ma związek z predyspozycjami genetycznymi, na które nakładają się czynniki środowiskowe, takie jak zanieczyszczenie powietrza smogiem, alergeny wziewne oraz dym tytoniowy. Długotrwały stan zapalny w drogach oddechowych prowadzi do pogrubienia ścian oskrzeli, występowania nacieków i obrzęków. Nagłe skurcze okrężnych mięśni gładkich oskrzeli (w odpowiedzi na bodźce stresowe czy alergeny) wywołują dodatkowe ich zwężenie i pogłębienie trudności w oddychaniu. Astmę leczy się drogą wziewną, podając substancje szybko rozszerzające zwężone oskrzela. Leczenie długotrwałe polega na podawaniu związków hamujących rozwój procesu zapalnego.

Podsumowanie
Zanieczyszczenia powietrza mogą mieć pochodzenie naturalne (np. w rezultacie wybuchów wulkanów, pożarów lasów) lub antropogeniczne (w wyniku działalności człowieka).
Zanieczyszczenia mogę być gazowe, pyłowe lub gazowo‑pyłowe (np. smog).
Nikotyna zawarta w tytoniu jest silnie uzależniająca substancją, która zwiększa wydzielanie adrenaliny, co prowadzi do zwężenia naczyń krwionośnych i wzrostu ciśnienia krwi. To stanowi jeden z głównych czynników ryzyka choroby niedokrwiennej serca i udaru niedokrwiennego mózgu. U kobiet w ciąży przenika przez łożysko do płodu, zakłócając jego wzrost i rozwój.
Obecne w dymie papierosowym substancje uszkadzają strukturę płuc sprzyjając rozwojowi choroby obturacyjnej płuc (POChP). Związki rakotwórcze indukują mutacje i w konsekwencji rozwój nowotworów w obrębie układu oddechowego (jamy ustnej, gardła, płuc), a także narządów innych układów, np. pęcherza moczowego, przełyku i żołądka.
E‑papierosy powodują uzależnienie, a powstający podczas ich używania aerozol uszkadza komórki nabłonka pęcherzyków płucnych oraz indukuje powstawanie stanów zapalnych i włóknienie drobnych dróg oddechowych. Substancje zawarte w płynach do e‑papierosów mogą również powodować alergie, sprzyjać rozwojowi astmy i choroby obturacyjnej płuc.
Do metod diagnostyki chorób układu oddechowego należą RTG płuc, spirometria, bronchoskopia.
Infekcyjne choroby układu oddechowego to nieżyt nosa, grypa, zapalenie płuc i oskrzeli, gruźlica, COVID‑19.
W leczeniu kataru, przeziębienia i grypy nie należy stosować antybiotyków.
Najczęstszą chorobą nowotworową układu oddechowego jest rak płuc.
Mukowiscydoza jest dziedziczną chorobą, która polega na produkcji nadmiernie lepkiego śluzu w układzie pokarmowym i oddechowym.
Do przewlekłych chorób układu od echowego należy astma oskrzelowa i przewlekła obturacyjna choroba płuc (POChP).
Ćwiczenia utrwalające
Wróć do polecenia na stronie „Na dobry początek” i dopisz brakujące definicje. Pamiętaj, żeby nie kopiować słownika, ale wyjaśnić każde słowo kluczowe w miarę możliwości swoimi słowami.






