Układ krążenia
Sprawdź co umiesz
Zagraj w grę i sprawdź swoją wiedzę na temat budowy małego i dużego obiegu krwi.
Kliknij START
, aby rozpocząć grę. Wskaż poprawne odpowiedzi.
Sprawdź swoją wiedzę na temat budowy małego i dużego obiegu krwi.
Badania laboratoryjne krwi pozwalają m.in. określić liczbę poszczególnych elementów morfotycznych u danego pacjenta. Wiadomo, że na obraz morfologii krwi ma wpływ nie tylko aktualny stan zdrowia, ale także czynniki zewnętrzne, np. rodzaj spożytego pokarmu. Tabela przedstawia wybrane wyniki badań krwi trzech osób.
Elementy morfotyczne | Osoba A | Osoba B | Osoba C |
|---|---|---|---|
Erytrocyty | 3 000 000 | 5 000 000 | 4 500 000 |
Leukocyty | 6 000 | 5 000 | 13 000 |
Płytki krwi | 255 000 | 50 000 | 300 000 |
– ma problemy z krzepliwością krwi;
– przyjmuje w pokarmie zbyt małe ilości żelaza;
– przechodzi ostrą infekcję.. Problemy z krzepliwością krwi. Możliwe odpowiedzi: Osoba A, Osoba B, Osoba C. Przyjmowanie zbyt małych ilości żelaza w pokarmie. Możliwe odpowiedzi: Osoba A, Osoba B, Osoba C. Ostra infekcja. Możliwe odpowiedzi: Osoba A, Osoba B, Osoba C
Ściany poszczególnych elementów serca człowieka są różnej grubości. Ściany przedsionków mają grubość ok. 2,5 mm, podczas gdy ściana prawej komory ma ok. 5 mm grubości, a ściana lewej komory – aż 15 mm.
Żylaki kończyn dolnych są wynikiem poszerzenia żył powierzchownych, czemu towarzyszy ich wydłużenie i charakterystyczne poskręcanie. Rozszerzenie światła prowadzi do niewydolności zastawek i skutkuje cofaniem się oraz zaleganiem krwi, co powoduje dalsze poszerzanie się naczyń.

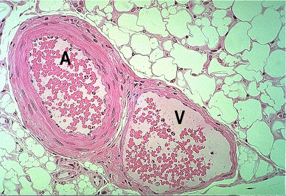
W układzie krwionośnym człowieka występują trzy różne typy naczyń krwionośnych, do których należą tętnice, żyły i naczynia włosowate.
Poniżej przedstawiono zdjęcie mikroskopowe preparatu przekroju poprzecznego żyły i tętnicy.


Wykres przedstawia wyniki badań, w których stwierdzono zależność między dzienną liczbą wypalanych papierosów a ryzykiem zawału mięśnia sercowego.
- 1. zestaw danych:
- Dzienna liczba wypalanych papierosów: 0
- Prawdopodobieństwo zawału mięśnia sercowego: 1; Podpis osi wartości: Ryzyko zawału mięśnia sercowego
- 2. zestaw danych:
- Dzienna liczba wypalanych papierosów: 1–5
- Prawdopodobieństwo zawału mięśnia sercowego: 1.38; Podpis osi wartości: Ryzyko zawału mięśnia sercowego
- 3. zestaw danych:
- Dzienna liczba wypalanych papierosów: 6–10
- Prawdopodobieństwo zawału mięśnia sercowego: 2.1; Podpis osi wartości: Ryzyko zawału mięśnia sercowego
- 4. zestaw danych:
- Dzienna liczba wypalanych papierosów: 11–15
- Prawdopodobieństwo zawału mięśnia sercowego: 2.99; Podpis osi wartości: Ryzyko zawału mięśnia sercowego
- 5. zestaw danych:
- Dzienna liczba wypalanych papierosów: 16–20
- Prawdopodobieństwo zawału mięśnia sercowego: 3.83; Podpis osi wartości: Ryzyko zawału mięśnia sercowego
- 6. zestaw danych:
- Dzienna liczba wypalanych papierosów: 21–25
- Prawdopodobieństwo zawału mięśnia sercowego: 5.8; Podpis osi wartości: Ryzyko zawału mięśnia sercowego
- 7. zestaw danych:
- Dzienna liczba wypalanych papierosów: 26–30
- Prawdopodobieństwo zawału mięśnia sercowego: 5.26; Podpis osi wartości: Ryzyko zawału mięśnia sercowego
- 8. zestaw danych:
- Dzienna liczba wypalanych papierosów: 31–40
- Prawdopodobieństwo zawału mięśnia sercowego: 6.34; Podpis osi wartości: Ryzyko zawału mięśnia sercowego
- 9. zestaw danych:
- Dzienna liczba wypalanych papierosów: powyżej 40
- Prawdopodobieństwo zawału mięśnia sercowego: 9.16; Podpis osi wartości: Ryzyko zawału mięśnia sercowego
Na wykresie przedstawiono wpływ diety śródziemnomorskiej na odsetek osób bez nawrotów choroby w okresie 5 lat po przebytym zawale.
- 1. zestaw danych:
- Lata po zawale mięśnia sercowego: 0
- Dieta śródziemnomorska: 100; Podpis osi wartości: Procent osób bez nawrotów choroby
- Inna dieta: 100; Podpis osi wartości: Procent osób bez nawrotów choroby
- 2. zestaw danych:
- Lata po zawale mięśnia sercowego: 1
- Dieta śródziemnomorska: 97.5; Podpis osi wartości: Procent osób bez nawrotów choroby
- Inna dieta: 93; Podpis osi wartości: Procent osób bez nawrotów choroby
- 3. zestaw danych:
- Lata po zawale mięśnia sercowego: 2
- Dieta śródziemnomorska: 97; Podpis osi wartości: Procent osób bez nawrotów choroby
- Inna dieta: 91; Podpis osi wartości: Procent osób bez nawrotów choroby
- 4. zestaw danych:
- Lata po zawale mięśnia sercowego: 3
- Dieta śródziemnomorska: 96; Podpis osi wartości: Procent osób bez nawrotów choroby
- Inna dieta: 90.5; Podpis osi wartości: Procent osób bez nawrotów choroby
- 5. zestaw danych:
- Lata po zawale mięśnia sercowego: 4
- Dieta śródziemnomorska: 95; Podpis osi wartości: Procent osób bez nawrotów choroby
- Inna dieta: 82; Podpis osi wartości: Procent osób bez nawrotów choroby
- 6. zestaw danych:
- Lata po zawale mięśnia sercowego: 5
- Dieta śródziemnomorska: 92; Podpis osi wartości: Procent osób bez nawrotów choroby
- Inna dieta: 80; Podpis osi wartości: Procent osób bez nawrotów choroby