Zmienność organizmów
Mutacje
Opiszesz rodzaje mutacji genowych oraz określisz ich skutki.
Opiszesz rodzaje aberracji chromosomowych (strukturalnych i liczbowych) oraz określisz ich skutki.
Wykażesz związek między narażeniem organizmu na działanie czynników mutagennych a zwiększonym ryzykiem chorób.
Mutacja to nagła, losowa i trwała zmiana w materiale genetycznym komórki. Chociaż mutacje mogą zachodzić spontanicznie, częstotliwość ich powstawania zwiększają niektóre czynniki środowiskowe - mutagenymutageny.
Istnieje wiele sposobów klasyfikacji mutacji. Najczęściej bierze się po uwagę miejsce ich występowania, przyczynę powstania i wpływ na organizm.
- Nazwa kategorii: Mutacje – podział
- Nazwa kategorii: w zależności od rodzaju komórki, której dotyczą:
- Nazwa kategorii: mutacje somatyczne
- Nazwa kategorii: mutacje generatywne Koniec elementów należących do kategorii w zależności od rodzaju komórki, której dotyczą:
- Nazwa kategorii: w zależności od przyczyny:
- Nazwa kategorii: mutacje spontaniczne
- Nazwa kategorii: mutacje indukowane Koniec elementów należących do kategorii w zależności od przyczyny:
- Nazwa kategorii: w zależności od skutku dla organizmu:
- Nazwa kategorii: niekorzystne
- Nazwa kategorii: subletalne
- Nazwa kategorii: letalne Koniec elementów należących do kategorii niekorzystne
- Nazwa kategorii: neutralne
- Nazwa kategorii: korzystne Koniec elementów należących do kategorii w zależności od skutku dla organizmu:
- Nazwa kategorii: w zależności od poziomu organizacji materiału genetycznego, którego dotyczą:
- Nazwa kategorii: mutacje genowe
- Nazwa kategorii: mutacje chromosomowe
- Nazwa kategorii: mutacje chromosomowe strukturalne
- Nazwa kategorii: mutacje chromosomowe liczbowe Koniec elementów należących do kategorii mutacje chromosomowe
- Elementy należące do kategorii Mutacje – podział
- Elementy należące do kategorii w zależności od rodzaju komórki, której dotyczą:
- Elementy należące do kategorii w zależności od przyczyny:
- Elementy należące do kategorii w zależności od skutku dla organizmu:
- Elementy należące do kategorii niekorzystne
- Elementy należące do kategorii w zależności od poziomu organizacji materiału genetycznego, którego dotyczą:
- Elementy należące do kategorii mutacje chromosomowe
Mutacje somatyczne i mutacje generatywne
Ze względu na rodzaj komórek, w których dochodzi do zmian wyróżnia się mutacje somatyczne i generatywne.
Mutacje somatyczne zachodzą w komórkach somatycznych, czyli takich, które budują ciało (np. komórki kości, płuc, jelit). Ich efekty dotyczą wyłącznie osobnika, u którego mutacja zaszła, są więc niedziedziczne. Większość mutacji somatycznych nie ma negatywnych skutków dla organizmu. Wyjątkiem są zmiany zaburzające przebieg cyklu komórkowego. Wówczas mogą one doprowadzić do rozwoju nowotworu.
Mutacje generatywne zachodzą w komórkach linii płciowej – gametach oraz komórkach, z których one powstają. Sam organizm, u którego wystąpiła taka zmiana, zazwyczaj nie odczuwa jej skutków. Mutacje generatywne są przekazywane potomstwu w drodze rozmnażania płciowego, są więc dziedziczne.
Mutacje spontaniczne i mutacje indukowane
Ze względu na przyczynę zachodzenia zmian mutacje dzieli się na spontaniczne i indukowane.
Mutacje spontaniczne zachodzą samorzutnie, głównie wskutek błędów w procesie replikacji DNA. Choć polimeraza DNA potrafi rozpoznawać i naprawiać większość takich pomyłek, niewielka ich część trwale pozostaje w genomie. Powstawanie tych zmian jest naturalnym następstwem złożoności procesów biologicznych i może nieść różnorodne skutki dla organizmu.
Mutacje indukowane to zmiany w informacji genetycznej zachodzące pod wpływem działania mutagenów. Do mutagenów należą niektóre:
czynniki fizyczne: promieniowanie jonizujące, promieniowanie ultrafioletowe, temperatura;
czynniki chemiczne: kwas azotowy (III), nadtlenek wodoru, amoniak, analogi zasad azotowych, kolchicyna;
czynniki biologiczne: wirus opryszczki, wirus brodawczaka ludzkiego, wirus zapalenia wątroby typu B i C.
Mechanizm działania mutagenów obejmuje m.in.:
chemiczną modyfikację zasad azotowych;
pęknięcia jednej lub obu nici DNA;
wbudowanie obcego (np. wirusowego) DNA w strukturę genomu;
zaburzenia podziału komórkowego.
Bromek etydyny wbudowuje się między nici DNA. Efektem tego jest zmiana struktury DNA. Podczas procesu replikacji w miejscu jego wniknięcia dochodzi do błędnego dobudowania nukleotydów do tworzącej się nici. Efektem tych zmian jest powstanie zmienionego białka lub krótszej wersji łańcucha polipeptydowego, kiedy dojdzie do powstania przedwczesnego kodonu STOP.
Przykładem chemicznego czynnika mutagennego jest kolchicyna – związek pochodzący z nasion zimowita jesiennego (Colchicum autumnale). Zaburza ona proces podziału komórek, zakłócając tworzenie wrzeciona kariokinetycznego. Bez tej struktury chromosomy nie mogą prawidłowo, równomiernie rozdzielić się podczas mitozy. Prowadzi to do powstania komórek potomnych zawierających zduplikowany garnitur chromosomów.
Promieniowanie UV może prowadzić do dimeryzacjizasad tyminowych, czyli łączenia się ze sobą dwóch sąsiadujących tymin w łańcuchu DNA. Jeżeli mutacja ta nie zostanie usunięta przez system naprawy DNA, może dojść do błędów podczas transkrypcji i replikacji, a nawet zatrzymania tych procesów.

Mutacje genowe i chromosomowe
Ze względu na poziom organizacji materiału genetycznego, w którym zaszła zamiana, mutacje dzieli się na genowe i chromosomowe.
Mutacje genowe
Mutacje genowe (mutacje punktowe) dotyczą zmiany w kolejności lub liczbie nukleotydów w obrębie jednego genu. Są wynikiem błędów podczas replikacji lub rekombinacji DNA oraz działania niektórych mutagenów. W zależności od charakteru zmiany wyróżnia się trzy podstawowe rodzaje mutacji genowych:
substytucje – mutacje polegające na zamianie jednej pary nukleotydów na inną. Wyróżnia się dwa rodzaje substytucji: tranzycje i transwersje.
delecje – mutacje polegające na utracie jednej lub kilku par nukleotydów;
insercje – mutacje polegające na wstawieniu jednej lub kilku par nukleotydów.
Skutki mutacji genowych
Skutek mutacji genowej zależy od tego, w jakim stopniu dana zmiana wpływa na treść informacji genetycznej. Ze względu na wywierany efekt mutacje genowe dzieli się na: mutacje zmiany sensu, mutacje milczące, mutacje nonsensowne oraz mutacje przesunięcia ramki odczytu.
Obejrzyj film „Przesunięcie ramki odczytu i ich konsekwencje” i wykonaj polecenia

Film dostępny pod adresem /preview/resource/RNCO6MC152P1H
Film nawiązujący do treści materiału pod tytułem: Przesunięcia ramki odczytu i ich konsekwencje.
Mutacje chromosomowe
Mutacje chromosomowe (aberracje chromosomowe) dotyczą zmian w strukturze chromosomu (mutacje chromosomowe strukturalne) lub w liczbie chromosomów (mutacje chromosomowe liczbowe).
Mutacje chromosomowe strukturalne
Polegają na zmianie budowy chromosomu w wyniku pękania chromatyd i ich błędnego połączenia. Dzieli się je na cztery rodzaje:
delecje (deficjencja) – zmiany polegające na utracie fragmentu chromosomu;
duplikacje – zmiany polegające na podwojeniu fragmentu chromosomu;
inwersje – zmiany polegające na odwróceniu fragmentu chromosomu o 180 stopni;
translokacje – zmiany polegające na przemieszczeniu fragmentu chromosomu na inny chromosom niehomologiczny. Wyróżnia się translokację wzajemną, polegająca na wymianie fragmentów między dwoma chromosomami niehomologicznymi oraz translokację robertsonowską, gdy fragment jednego chromosomu odrywa się i przyłącza do innego chromosomu, ale bez wymiany zwrotnej.

Głównymi przyczynami mutacji chromosomowych strukturalnych są: działanie czynników mutagennych (promieniowanie jonizujące, czynniki chemiczne, np. pestycydy), nierównomierny crossing‑over oraz błędy w systemach naprawczych DNA.
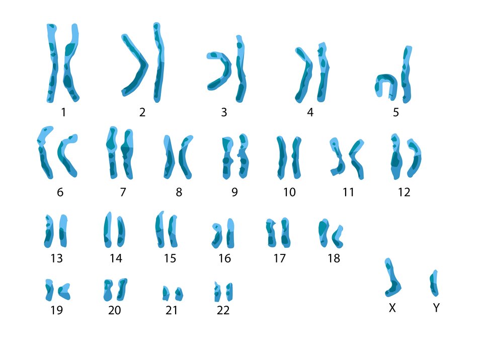
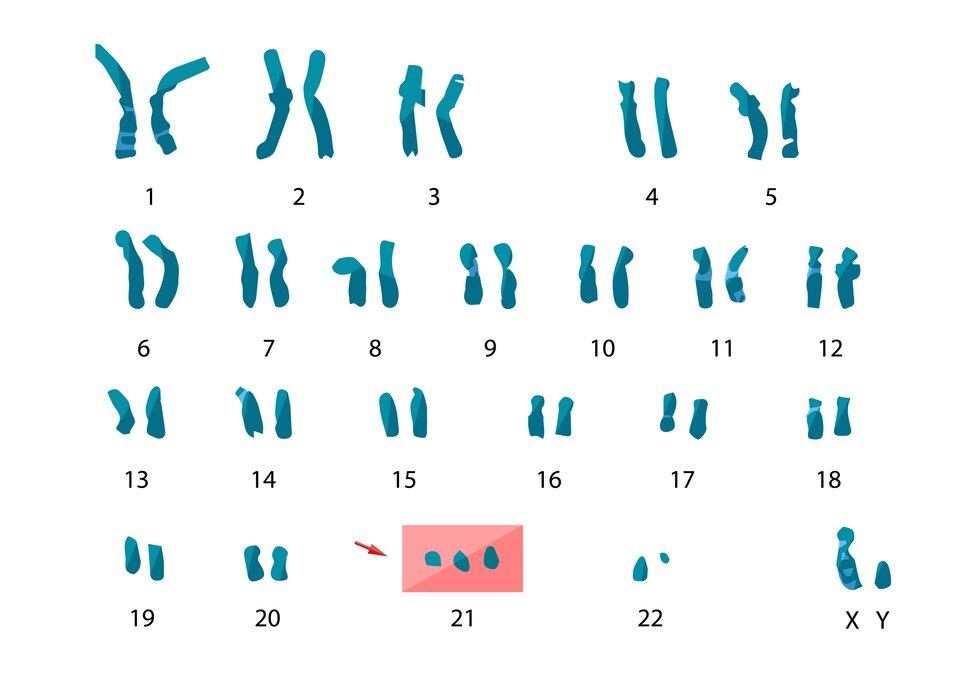
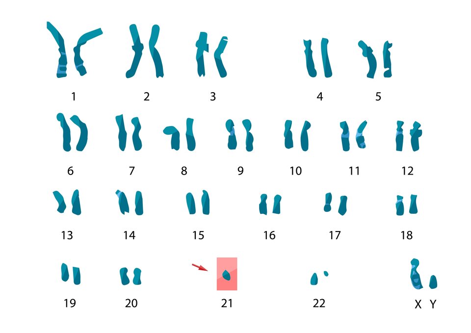
Mutacje chromosomowe liczbowe
Polegają na zmianie liczby chromosomów w jadrze komórkowym. W przeciwieństwie do mutacji strukturalnych, budowa samych chromosomów pozostaje zazwyczaj prawidłowa, ale ich liczba w zestawie jest niewłaściwa.
Mutacje liczbowe dzieli się na:
aneuploidie – polegają na zmianie liczby chromosomów w obrębie jednej pary; w zależności od charakteru mutacji wyróżnia się następujące typy aneuploidii:
monosomie (2n - 1) – mutacje polegające na braku jednego chromosomu z danej pary;
trisomie (2n + 1) – mutacje polegające na obecności jednego dodatkowego chromosomu w danej parze;
nullisomie (2n - 2) – mutacje polegające na braku dwóch chromosomów danej pary;
tetrasomie (2n + 2) – mutacje polegające na obecności dwóch chromosomów tworzących dodatkową parę;



euploidie – polegają na zmianie liczby kompletnych zestawów chromosomów. Wyróżniamy wśród nich:
monoploidie (1n - jeden zestaw chromosomów);
poliploidie (3n - trzy zestawy, tetraploidia (4n - cztery zestawy) itd.
Jeśli zwielokrotnione genomy są genetycznie jednakowe, mówimy o autopoliploidii, a w przypadku gdy są różne – o allopoliploidii.

Przykładem poliploidalności, udokumentowanym w Królewskich Ogrodach Botanicznych w Kew w Londynie (Anglia), jest tzw. pierwiosnek z Kew (Primula kewensis). Ten mieszaniec dwóch gatunków pierwiosnków – Primula floribunda (2n = 18) oraz Primula verticillata (2n = 18) – miał liczbę chromosomów równą 18, ale był niepłodny. Później stwierdzono trzy niezależne przypadki samorzutnego powstania płodnych linii, które były allopoliploidalne (2n = 36) i wydały żywotne nasiona.

Przykładem poliploidalności jest poziewnik szorstki (Galeopsis tetrahit; 2n = 32), występujący na obszarach klimatu umiarkowanego w Europie i Azji. Przypuszczalnie powstał on w wyniku hybrydyzacji dwóch gatunków: poziewnika miękkowłosego (Galeopsis pubescens; 2n = 16) i poziewnika pstrego (Galeopsis speciosa; 2n = 16).

Bezpośrednią przyczyną aneuploidii jest nondysjunkcja, czyli brak prawidłowego rozdziału chromosomów homologicznych w mejozie podczas tworzenia gamet.
Skutkiem tego zaburzenia jest powstanie gamet zawierających nadmiar lub niedobór jednego chromosomu.
Przyczyną autopoliploidii jest najczęściej endomitoza - rodzaj cyklu komórkowego, w którym dochodzi do replikacji DNA, ale bez podziału komórki. Prowadzi to do zwielokrotnienia liczby zestawów chromosomów w obrębie jednej komórki.
Przyczyną allopoliploidii jest krzyżowanie międzygatunkowe. Gdy krzyżują się osobniki dwóch różnych gatunków, ich chromosomy zazwyczaj nie są homologiczne, dlatego nie mogą prawidłowo parować podczas mejozy, co prowadzi do bezpłodności mieszańca. Jeśli jednak dojdzie do spontanicznego podwojenia liczby chromosomów, każdy chromosom uzyskuje homolog, co umożliwia prawidłowy przebieg mejozy i w efekcie powstanie płodnego mieszańca.
Mutacje korzystne, neutralne i niekorzystne
Ze względu na konsekwencje dla organizmu, mutacje dzielimy na korzystne, neutralne i niekorzystne.
Mutacje korzystne związane są z pojawieniem się nowych, korzystnych cech. Dzięki nim organizm lepiej przystosowuje się do zmieniających się warunków środowiska. Wzrost możliwości adaptacyjnych zwiększa szansę na przeżycie i wydanie na świat potomstwa. Nowe pokolenie, dziedzicząc korzystne zmiany informacji genetycznej, może ewoluować.
Mutacje neutralne są dla organizmu zmianami obojętnymi. Oznacza to, że pomimo zmian w informacji genetycznej organizm nie ponosi skutków ich obecności. W zmieniających się warunkach środowiska początkowo neutralna dla organizmu mutacja może jednak okazać się korzystna, jeśli zwiększa możliwości adaptacyjne, lub niekorzystna, jeśli możliwości te są zmniejszone.
Mutacje niekorzystne są dla organizmu zmianami negatywnymi. Gdy obecność mutacji skutkuje śmiercią organizmu, wówczas nazywana jest mutacją letalną. W przypadku, gdy obecność mutacji zmniejsza możliwości adaptacyjne, ogranicza zdolności rozrodcze lub objawia się rozwojem choroby wówczas określana jest jako mutacja subletalna.
Podsumowanie
Ze względu na rodzaj komórek, w których zachodzą, mutacje dzieli się na:
- somatyczne - zachodzą w komórkach ciała, nie są dziedziczne, mogą prowadzić do nowotworów;
- generatywne - zachodzą w komórkach rozrodczych, są dziedziczne, mogą ujawnić się u potomstwa.Ze względu na przyczynę mutacje dzieli się na:
- mutacje spontaniczne: powstają samoistnie podczas replikacji DNA, wynikają z błędów enzymów kopiujących DNA.
- mutacje indukowane- są wywoływane przez mutageny (fizyczne, chemiczne, biologiczne).
Ze względu na poziom organizacji materiału genetycznego, w którym doszło do zmian wyróżnia się mutacje genowe i chromosomowe.
Mutacje genowe (punktowe) – dotyczą pojedynczych genów:
- substytucje (zamiana nukleotydów),
- delecje (utrata nukleotydów),
- insercje (wstawienie nukleotydów).Mutacje genowe ze względu na skutek mogą być mutacjami: zmiany sensu, milczącymi, nonsensowymi, zmiany ramki odczytu.
Mutacje chromosomowe dzieli się:
- strukturalne: delecja, duplikacja, inwersja, translokacja,
- liczbowe: aneuploidie (np. monosomia, trisomia), euploidie (np. monoploidie, poliploidie).
Skutki mutacji:
- mutacje korzystne - zwiększają zdolność przystosowania i przeżycia, są podstawą ewolucji.
- mutacje neutralne - nie wpływają na fenotyp, mogą zmienić znaczenie w nowych warunkach.
- mutacje niekorzystne - powodują choroby, obniżają płodność lub przeżywalność, mutacje letalne prowadzą do śmierci organizmu.
Ćwiczenia utrwalające
Wróć do polecenia na stronie „Na dobry początek” i dopisz brakujące definicje. Pamiętaj, żeby nie kopiować słownika, ale wyjaśnić każde słowo kluczowe w miarę możliwości swoimi słowami.