Ewolucja i jej mechanizmy
Rodzaje doboru naturalnego
Przedstawisz znaczenie zmienności genetycznej w ewolucji.
Omówisz rodzaje doboru naturalnego.
Wyjaśnisz, w jaki sposób wadliwe geny mogą być utrzymywane w populacji.
Dobór naturalny polega na zróżnicowanym przeżywaniu i rozmnażaniu się osobników różniących się stopniem przystosowania do warunków środowiska. W ujęciu syntetycznej teorii ewolucji proces ten wpływa na częstość występowania w populacji pewnych alleli, czyli wersji genów odpowiadających za konkretne cechy.
W praktyce oznacza to, że dobór eliminuje te warianty genów, które dają organizmowi mniejsze szanse na przeżycie. Jednocześnie utrwalane są te, które zwiększają tzw. sukces rozrodczy, czyli pozwalają osobnikowi dożyć wieku dorosłego i przekazać swoje korzystne cechy potomstwu..
Dobór stabilizujący, kierunkowy i rozrywający
Podstawowym kryterium klasyfikacji rodzajów doboru naturalnego jest kierunek zmian, jakie wywołuje on w strukturze fenotypowej populacji. Biorąc pod uwagę to kryterium, a więc rozkład cech w grupie osobników, wyróżnia się:
dobór stabilizujący,
dobór kierunkowy,
dobór rozrywający.

Dobór stabilizujący utrzymuje w stanie niezmiennym optymalny w danych warunkach fenotyp – stabilizuje daną cechę. Eliminuje osobniki o obu skrajnych fenotypach, dając największe szanse przetrwania osobnikom o średnim natężeniu danej cechy, np. długości futra. W przypadku występowania tego typu doboru posiadanie zbyt długiej albo zbyt krótkiej sierści będzie zmniejszało szanse przetrwania. Jest to najczęściej występujący rodzaj doboru naturalnego, działający w względnie stałych warunkach środowiska.
Przykłady działania doboru stabilizującego:
Największą szansą przeżycia cechują się myszy o szarym ubarwieniu, natomiast u myszy o barwie białej lub czarnej występuje niska przeżywalność. Szary kolor sierści jest adaptacją do środowiska, ponieważ lepiej niż inne barwy maskuje mysz, pozwalając jej uniknąć ataku drapieżnika.
Noworodki o optymalnej wadze urodzeniowej mają największe szanse przeżycia. Mniejsze dzieci (zwykle wcześniaki) bez pomocy medycyny często umierają. U większych istnieje ryzyko powikłań porodowych i konieczności zastosowania cesarskiego cięcia.
Dobór kierunkowy faworyzuje (czyli zwiększa udział w populacji) fenotypy skrajne pod względem względem danej cechy i eliminuje osobniki o fenotypie przeciwstawnym oraz te o wartościach średnich. Na przykład jeśli czynnikiem podlegającym doborowi jest długość futra (im dłuższe futro, tym większa szansa przetrwania), to wynikiem działania doboru w ciągu wielu pokoleń będzie zwiększanie się przeciętnej długości sierści w populacji. Po pewnym czasie długość futra może osiągnąć wartość optymalną w danych warunkach, wtedy dobór zmienia się w stabilizujący. Dobór kierunkowy zachodzi najczęściej w środowisku podlegającym stopniowym, stałym zmianom.
Przykłady działania doboru kierunkowego:
U tzw. zięb Darwina, obserwowanych przez tego badacza na wyspach Galapagos, w latach suchych faworyzowane są ptaki duże i o dużych dziobach (nasiona są wówczas większe i twardsze), a w latach wilgotnych – ptaki mniejsze (zwiększa się wówczas ilość łatwo dostępnego pokarmu).
Melanizm przemysłowy - zjawisko polegające na zwiększeniu częstości występowania osobników o ciemnym ubarwieniu w populacji, spowodowane zanieczyszczeniem środowiska przez działalność przemysłową. Po raz pierwszy opisano je w Manchesterze u motyla nocnego – krępaka brzozowego (Biston betularia), który w ciągu dnia spoczywa na pniach drzew. W wyniku zanieczyszczenia powietrza doszło tam do obumierania porostów oraz pokrycia pni sadzą, co odsłoniło i dodatkowo przyciemniło korę drzew. W tych warunkach ciemno ubarwione osobniki były mniej widoczne dla drapieżników, dzięki czemu częściej przeżywały i rozmnażały się.
Dobór rozrywający faworyzuje osobniki o cechach skrajnych, eliminując te, o cechach pośrednich. Proces ten zachodzi w sytuacji, gdy osobniki danej populacji zamieszkują tereny o odmiennych warunkach środowiskowych. Jego efektem może być powstanie nowych gatunków.
Przykłady działania doboru rozrywającego:
W lasach świerkowych Finlandii występuje więcej ciemno ubarwionych wiewiórek, natomiast w lasach liściastych – więcej jasno ubarwionych.
U roślinożernego gatunku ślimaka morskiego (Acmea digitalis), którym żywią się ptaki, osobniki o ciemnej muszli żyją na powierzchni ciemnych skał, natomiast te o jasnych muszlach gromadzą się wśród kolonii jasno ubarwionego gatunku osiadłego skorupiaka.
Zapoznaj się z symulacją interaktywną, a następnie wykonaj polecenia.
Populacja zajęcy zamieszkuje obszary tundrowe. Niektóre osobniki mają białą barwę futra, inne – brązową. Przeprowadź symulację interaktywną obrazującą szanse przeżycia zajęcy w zależności od ich umaszczenia.

Zasób interaktywny dostępny pod adresem https://zpe.gov.pl/a/D3LD8Z92R
Symulacja przedstawia zające na zaśnieżonej polance. W tle znajdują się góry oraz niskie krzewy i bezlistne drzewa. Na ilustracji występują dwa rodzaje zajęcy: o futrze białym oraz futrze brązowym. Zające o ciemniejszym ubarwieniu stają się zdobyczą dla drapieżników takich jak wilki czy lisy. Skutkuje to zwiększeniem się ilości osobników o białej sierści.
Dobór naturalny a choroby genetyczne
Mutacje są trwałymi zmianami w materiale genetycznym, powstającymi spontanicznie lub pod wpływem czynników mutagennych. Większość mutacji jest dla organizmu szkodliwa i obniża jego wartość przystosowawczą, dlatego osobniki je posiadające zwykle są eliminowane z populacji przez dobór naturalny. W rezultacie, niekorzystne zmiany genetyczne nie są przekazywane kolejnym pokoleniom.
Choroby powodowane mutacjami recesywnymi
Choroby genetyczne człowieka mogą być dziedziczone recesywnie lub dominująco. W przypadku chorób warunkowanych allelami recesywnymi, choroba ujawnia się jedynie u homozygot, natomiast heterozygoty są nosicielami i zazwyczaj nie wykazują objawów. Z tego powodu allele recesywne mogą długo utrzymywać się w populacji, ponieważ pozostają „ukryte” w genomach nosicieli.

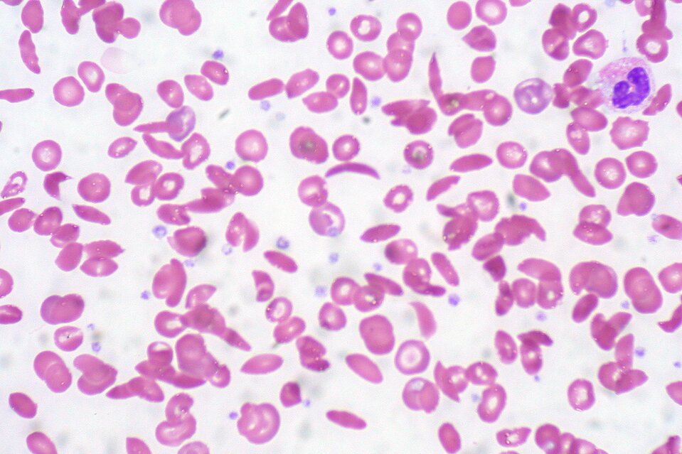
Szczególnym przypadkiem choroby warunkowanej recesywnie jest anemia sierpowataanemia sierpowata. Choroba ta ujawnia się u homozygot recesywnych, natomiast heterozygoty będące ich nosicielami, wykazują zwiększoną odporność na malarię. W rejonach występowania malarii dobór naturalny sprzyja więc utrzymaniu allelu recesywnego, ponieważ zwiększa on przeżywalność heterozygot.
Zjawisko polegające na tym, że heterozygoty (Aa) są lepiej przystosowane do środowiska niż homozygoty (AA i aa) nazywane jest przewagą heterozygot (naddominacją).
Choroby warunkowane mutacjami dominującymi
W przeciwieństwie do chorób dziedziczonych recesywnie, w przypadku chorób dominujących wadliwy allel ujawnia się już u heterozygot, dlatego może być szybciej eliminowany z populacji. Mimo to choroby dominujące nadal występują, gdyż niektóre z nich ujawniają się dopiero w wieku dorosłym, często po okresie reprodukcyjnym. Przykładem takiej choroby jest warunkowana dominująco pląsawica Huntingtonapląsawica Huntingtona.
Podsumowanie
Podstawowym kryterium klasyfikacji rodzajów doboru naturalnego jest kierunek zmian, jakie wywołuje on w strukturze fenotypowej populacji. Na tej podstawie wyróżnia się dobór: stabilizujący, kierunkowy i rozrywający.
Dobór stabilizujący eliminuje osobniki o obu skrajnych fenotypach, dając największe szanse przetrwania osobnikom o średnim natężeniu danej cechy; działa w względnie stałych warunkach środowiska.
Dobór kierunkowy faworyzuje (czyli zwiększa udział w populacji) fenotypy skrajne pod względem względem danej cechy i eliminuje osobniki o fenotypie przeciwstawnym oraz te o wartościach średnich; zachodzi najczęściej w środowisku podlegającym stopniowym, stałym i kierunkowym zmianom.
Dobór rozrywający faworyzuje osobniki o cechach skrajnych, eliminując te, o cechach pośrednich; zachodzi w sytuacji, gdy osobniki danej populacji zamieszkują tereny o odmiennych warunkach środowiskowych. Jego efektem może być powstanie nowych gatunków.
Allele dominujące wywołujące choroby genetyczne człowieka są eliminowane z populacji szybciej niż allele recesywne, ponieważ ujawniają się już u heterozygot. Allele recesywne utrzymują się w populacji znacznie dłużej, gdyż pozostają „ukryte” u zdrowych fenotypowo nosicieli.
W specyficznych warunkach szkodliwy allel recesywny może być promowany przez dobór naturalny. Przykładem jest anemia sierpowata w rejonach występowania malarii – heterozygoty wykazują wyższą przeżywalność niż obie homozygoty, co pozwala na trwałe utrzymanie wadliwego genu w puli genowej populacji.
Zjawisko polegające na tym, że heterozygoty (Aa) są lepiej przystosowane do środowiska niż homozygoty (AA i aa) nazywane jest przewagą heterozygot..
Allele dominujące powodujące choroby genetyczne mogą utrzymywać się w populacji długo, jeśli ich efekt fenotypowy ujawnia się dopiero po okresie rozrodczym (np. pląsawica Huntingtona).
Ćwiczenia utrwalające
Informacje do ćwiczenia 2. i 3.
Jednym z najbardziej znanych przykładów zachodzenia ewolucji „na naszych oczach” jest melanizm przemysłowy u ćmy zwanej krępakiem brzozowym lub nabrzozakiem (Biston betularia).
Ćmy tego gatunku występują w dwóch warunkowanych genetycznie typach ubarwienia – jasnym i ciemnym. W ciągu dnia przebywają one na korze drzew i wtedy istotne znaczenie ma ubarwienie osobników, pozwalające im „zlewać” się z otoczeniem i być niewidocznymi dla ptaków. Zaobserwowano, że w XIX w. na terenach Anglii przeważały ćmy o jasnym ubarwieniu. Na przełomie wieku XIX i XX na terenach przemysłowych upowszechniły się osobniki ciemne.

Wróć do polecenia na stronie „Na dobry początek” i dopisz brakujące definicje. Pamiętaj, żeby nie kopiować słownika, ale wyjaśnić każde słowo kluczowe w miarę możliwości swoimi słowami.