Źródło: Przedmiotowy model 3D został opracowany przez Englishsquare.pl Sp. z o.o. na podstawie materiału źródłowego zakupionego w ramach serwisu: www.turbosquid.com. Jakiekolwiek dalsze użycie tego modelu 3D podlega wszelkim ograniczeniom opisanym w licencji opublikowanej na przywołanej stronie internetowej., tylko do użytku edukacyjnego na zpe.gov.pl.
R1IUcicdm5KQ3
(Uzupełnij).
1
Polecenie 2
R1K4KuZeXxh171
Wybierz jedno nowe słowo poznane podczas dzisiejszej lekcji i ułóż z nim zdanie.
Wybierz jedno nowe słowo poznane podczas dzisiejszej lekcji i ułóż z nim zdanie.
Badanie RTG Możliwe odpowiedzi: 1. Badanie, które pozwala na pobranie materiału do badania bakteriologicznego, pobranie wycinków błony śluzowej, wykonanie biopsji węzła chłonnego lub miąższu płuca., 2. Badanie, które pozwala na wstępną diagnozę zaburzeń i chorób układu oddechowego. Polega na ocenie szmeru oddechowego., 3. Badanie, podczas którego mierzy się objętości i pojemności płuc oraz przepływy powietrza znajdującego się w płucach i oskrzelach w różnych fazach cyklu oddechowego. Ma na celu określenie rezerw wentylacyjnych układu oddechowego., 4. Badanie, które pozwala na ocenę całkowitej ilości powietrza w płucach.płuc w końcowym stadium., 5. Podstawowe i najważniejsze badanie obrazowe w pulmonologii. Spirometria Możliwe odpowiedzi: 1. Badanie, które pozwala na pobranie materiału do badania bakteriologicznego, pobranie wycinków błony śluzowej, wykonanie biopsji węzła chłonnego lub miąższu płuca., 2. Badanie, które pozwala na wstępną diagnozę zaburzeń i chorób układu oddechowego. Polega na ocenie szmeru oddechowego., 3. Badanie, podczas którego mierzy się objętości i pojemności płuc oraz przepływy powietrza znajdującego się w płucach i oskrzelach w różnych fazach cyklu oddechowego. Ma na celu określenie rezerw wentylacyjnych układu oddechowego., 4. Badanie, które pozwala na ocenę całkowitej ilości powietrza w płucach.płuc w końcowym stadium., 5. Podstawowe i najważniejsze badanie obrazowe w pulmonologii. Bronchoskopia Możliwe odpowiedzi: 1. Badanie, które pozwala na pobranie materiału do badania bakteriologicznego, pobranie wycinków błony śluzowej, wykonanie biopsji węzła chłonnego lub miąższu płuca., 2. Badanie, które pozwala na wstępną diagnozę zaburzeń i chorób układu oddechowego. Polega na ocenie szmeru oddechowego., 3. Badanie, podczas którego mierzy się objętości i pojemności płuc oraz przepływy powietrza znajdującego się w płucach i oskrzelach w różnych fazach cyklu oddechowego. Ma na celu określenie rezerw wentylacyjnych układu oddechowego., 4. Badanie, które pozwala na ocenę całkowitej ilości powietrza w płucach.płuc w końcowym stadium., 5. Podstawowe i najważniejsze badanie obrazowe w pulmonologii. Osłuchiwanie Możliwe odpowiedzi: 1. Badanie, które pozwala na pobranie materiału do badania bakteriologicznego, pobranie wycinków błony śluzowej, wykonanie biopsji węzła chłonnego lub miąższu płuca., 2. Badanie, które pozwala na wstępną diagnozę zaburzeń i chorób układu oddechowego. Polega na ocenie szmeru oddechowego., 3. Badanie, podczas którego mierzy się objętości i pojemności płuc oraz przepływy powietrza znajdującego się w płucach i oskrzelach w różnych fazach cyklu oddechowego. Ma na celu określenie rezerw wentylacyjnych układu oddechowego., 4. Badanie, które pozwala na ocenę całkowitej ilości powietrza w płucach.płuc w końcowym stadium., 5. Podstawowe i najważniejsze badanie obrazowe w pulmonologii. Pletyzmografia Możliwe odpowiedzi: 1. Badanie, które pozwala na pobranie materiału do badania bakteriologicznego, pobranie wycinków błony śluzowej, wykonanie biopsji węzła chłonnego lub miąższu płuca., 2. Badanie, które pozwala na wstępną diagnozę zaburzeń i chorób układu oddechowego. Polega na ocenie szmeru oddechowego., 3. Badanie, podczas którego mierzy się objętości i pojemności płuc oraz przepływy powietrza znajdującego się w płucach i oskrzelach w różnych fazach cyklu oddechowego. Ma na celu określenie rezerw wentylacyjnych układu oddechowego., 4. Badanie, które pozwala na ocenę całkowitej ilości powietrza w płucach.płuc w końcowym stadium., 5. Podstawowe i najważniejsze badanie obrazowe w pulmonologii.
Badanie RTG Możliwe odpowiedzi: 1. Badanie, które pozwala na pobranie materiału do badania bakteriologicznego, pobranie wycinków błony śluzowej, wykonanie biopsji węzła chłonnego lub miąższu płuca., 2. Badanie, które pozwala na wstępną diagnozę zaburzeń i chorób układu oddechowego. Polega na ocenie szmeru oddechowego., 3. Badanie, podczas którego mierzy się objętości i pojemności płuc oraz przepływy powietrza znajdującego się w płucach i oskrzelach w różnych fazach cyklu oddechowego. Ma na celu określenie rezerw wentylacyjnych układu oddechowego., 4. Badanie, które pozwala na ocenę całkowitej ilości powietrza w płucach.płuc w końcowym stadium., 5. Podstawowe i najważniejsze badanie obrazowe w pulmonologii. Spirometria Możliwe odpowiedzi: 1. Badanie, które pozwala na pobranie materiału do badania bakteriologicznego, pobranie wycinków błony śluzowej, wykonanie biopsji węzła chłonnego lub miąższu płuca., 2. Badanie, które pozwala na wstępną diagnozę zaburzeń i chorób układu oddechowego. Polega na ocenie szmeru oddechowego., 3. Badanie, podczas którego mierzy się objętości i pojemności płuc oraz przepływy powietrza znajdującego się w płucach i oskrzelach w różnych fazach cyklu oddechowego. Ma na celu określenie rezerw wentylacyjnych układu oddechowego., 4. Badanie, które pozwala na ocenę całkowitej ilości powietrza w płucach.płuc w końcowym stadium., 5. Podstawowe i najważniejsze badanie obrazowe w pulmonologii. Bronchoskopia Możliwe odpowiedzi: 1. Badanie, które pozwala na pobranie materiału do badania bakteriologicznego, pobranie wycinków błony śluzowej, wykonanie biopsji węzła chłonnego lub miąższu płuca., 2. Badanie, które pozwala na wstępną diagnozę zaburzeń i chorób układu oddechowego. Polega na ocenie szmeru oddechowego., 3. Badanie, podczas którego mierzy się objętości i pojemności płuc oraz przepływy powietrza znajdującego się w płucach i oskrzelach w różnych fazach cyklu oddechowego. Ma na celu określenie rezerw wentylacyjnych układu oddechowego., 4. Badanie, które pozwala na ocenę całkowitej ilości powietrza w płucach.płuc w końcowym stadium., 5. Podstawowe i najważniejsze badanie obrazowe w pulmonologii. Osłuchiwanie Możliwe odpowiedzi: 1. Badanie, które pozwala na pobranie materiału do badania bakteriologicznego, pobranie wycinków błony śluzowej, wykonanie biopsji węzła chłonnego lub miąższu płuca., 2. Badanie, które pozwala na wstępną diagnozę zaburzeń i chorób układu oddechowego. Polega na ocenie szmeru oddechowego., 3. Badanie, podczas którego mierzy się objętości i pojemności płuc oraz przepływy powietrza znajdującego się w płucach i oskrzelach w różnych fazach cyklu oddechowego. Ma na celu określenie rezerw wentylacyjnych układu oddechowego., 4. Badanie, które pozwala na ocenę całkowitej ilości powietrza w płucach.płuc w końcowym stadium., 5. Podstawowe i najważniejsze badanie obrazowe w pulmonologii. Pletyzmografia Możliwe odpowiedzi: 1. Badanie, które pozwala na pobranie materiału do badania bakteriologicznego, pobranie wycinków błony śluzowej, wykonanie biopsji węzła chłonnego lub miąższu płuca., 2. Badanie, które pozwala na wstępną diagnozę zaburzeń i chorób układu oddechowego. Polega na ocenie szmeru oddechowego., 3. Badanie, podczas którego mierzy się objętości i pojemności płuc oraz przepływy powietrza znajdującego się w płucach i oskrzelach w różnych fazach cyklu oddechowego. Ma na celu określenie rezerw wentylacyjnych układu oddechowego., 4. Badanie, które pozwala na ocenę całkowitej ilości powietrza w płucach.płuc w końcowym stadium., 5. Podstawowe i najważniejsze badanie obrazowe w pulmonologii.
bg‑violet
Jak odczytuje się radiogram
1
Rp7TmLKzbrT5R1
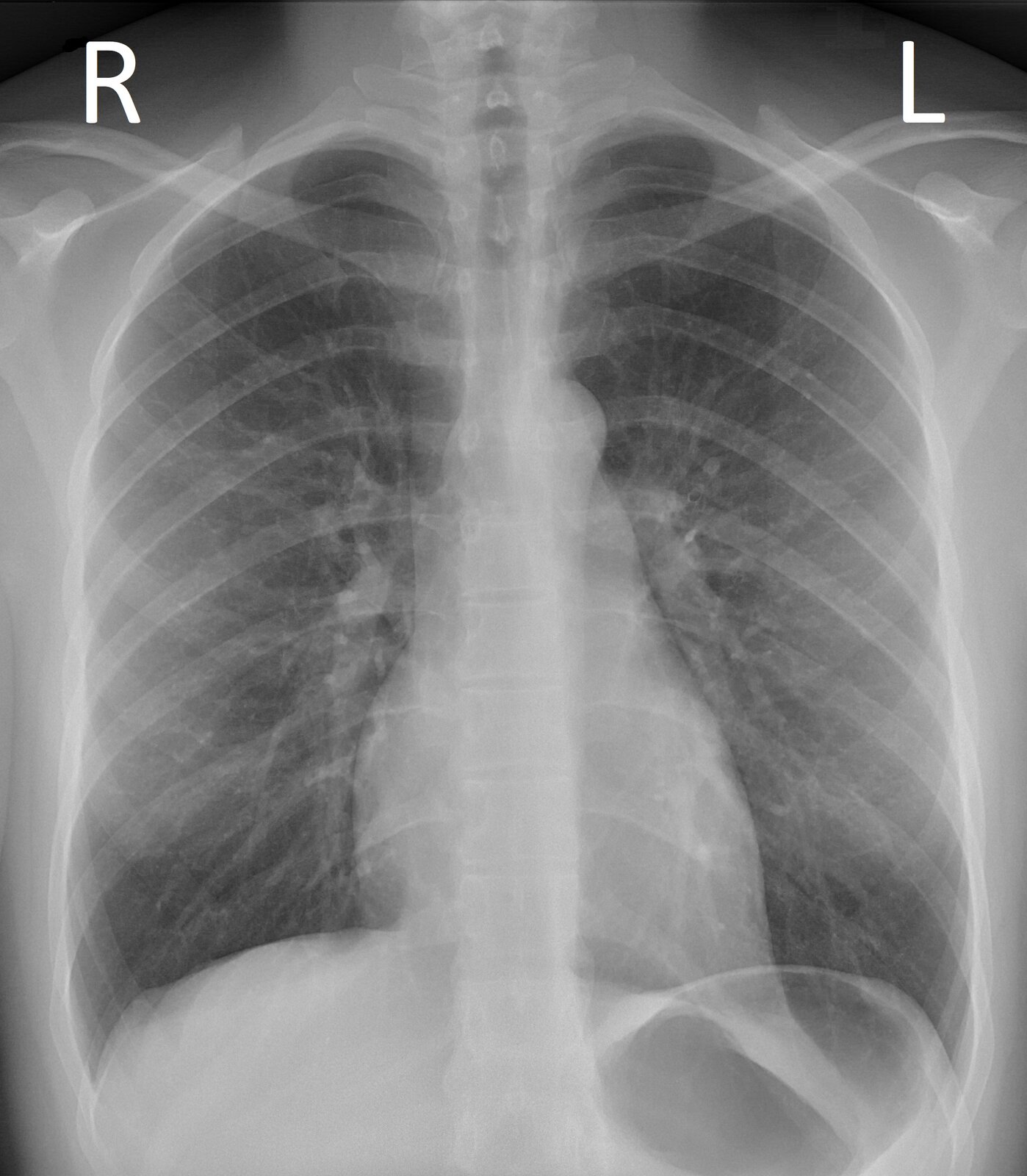
Grafika przedstawia radiogram klatki piersiowej. Widoczne są ciemne kontury płuc i żebra oraz obojczyki, na górze widnieją duże litery R i L symbolizujące stronę prawą i lewą.
Prawidłowy radiogram klatki piersiowej.
Źródło: Mikael Häggström, Wikimedia Commons, domena publiczna.
Na zdjęciu radiologicznym (radiogramie, zdjęciu RTG) zaznaczone są strony pacjenta z perspektywy osoby stojącej z przodu. Prawa strona oznaczona jest literą R, a lewa literą L.
W opisie zdjęcia RTG lekarz posługuje się pojęciami przejaśnienie i zacienienie, jednak w przeciwnym znaczeniu tych słów. Przejaśnieniem nazywa miejsce, które widzi na zdjęciu jako zaczernienie, ponieważ promieniowanie zostało tam pochłonięte w nieznacznym stopniu. Natomiast w miejscu, które lekarz opisuje jako zacienienie, promieniowanie zostało pochłonięte w większej ilości i widoczne jest ono jako biały/jasnoszary fragment.
1
Polecenie 3
RtQjwiTuR3qvf1
Wymyśl pytanie na kartkówkę związane z tematem materiału.
Wymyśl pytanie na kartkówkę związane z tematem materiału.
Źródło: James Heilman, Mikael Häggström, Wikimedia Commons, licencja: CC BY-SA 3.0.
R161CXi2Sj58f
Dopasuj chorobę do jej opisu. Gruźlica Możliwe odpowiedzi: 1. choroba, której istotną przyczyną jest narażenie pacjenta na rakotwórcze działanie składników dymu tytoniowego. Daje charakterystyczne objawy, które niestety pojawiają się zwykle dość późno, często dopiero w momencie, gdy nie jest już możliwe wyleczenie. Chory cierpi na przewlekły kaszel, niekiedy z odkrztuszaniem krwi. Mogą pojawić się duszność i ból w klatce piersiowej. W późniejszym stadium choroby występuje osłabienie i postępujący ubytek masy ciała., 2. Może być wywoływane różnymi czynnikami, do których należą m.in. bakterie. U pacjenta chorującego na zapalenie płuc występuje gorączka, dreszcze i poty, ból w klatce piersiowej, kaszel, niekiedy również odkrztuszanie plwociny. Bakteryjne zapalenie płuc wywołane pałeczką Haemophilus influenzae ., 3. Jest bakteryjną chorobą wywoływaną przez prątki Mycobacterium tuberculosis. Pacjent w zaawansowanym stadium choroby ma przewlekły kaszel z odkrztuszaniem plwociny, znaczną utratę masy ciała, podwyższoną temperaturę oraz duszności. Rak płuca Możliwe odpowiedzi: 1. choroba, której istotną przyczyną jest narażenie pacjenta na rakotwórcze działanie składników dymu tytoniowego. Daje charakterystyczne objawy, które niestety pojawiają się zwykle dość późno, często dopiero w momencie, gdy nie jest już możliwe wyleczenie. Chory cierpi na przewlekły kaszel, niekiedy z odkrztuszaniem krwi. Mogą pojawić się duszność i ból w klatce piersiowej. W późniejszym stadium choroby występuje osłabienie i postępujący ubytek masy ciała., 2. Może być wywoływane różnymi czynnikami, do których należą m.in. bakterie. U pacjenta chorującego na zapalenie płuc występuje gorączka, dreszcze i poty, ból w klatce piersiowej, kaszel, niekiedy również odkrztuszanie plwociny. Bakteryjne zapalenie płuc wywołane pałeczką Haemophilus influenzae ., 3. Jest bakteryjną chorobą wywoływaną przez prątki Mycobacterium tuberculosis. Pacjent w zaawansowanym stadium choroby ma przewlekły kaszel z odkrztuszaniem plwociny, znaczną utratę masy ciała, podwyższoną temperaturę oraz duszności. Zapalenie płuc Możliwe odpowiedzi: 1. choroba, której istotną przyczyną jest narażenie pacjenta na rakotwórcze działanie składników dymu tytoniowego. Daje charakterystyczne objawy, które niestety pojawiają się zwykle dość późno, często dopiero w momencie, gdy nie jest już możliwe wyleczenie. Chory cierpi na przewlekły kaszel, niekiedy z odkrztuszaniem krwi. Mogą pojawić się duszność i ból w klatce piersiowej. W późniejszym stadium choroby występuje osłabienie i postępujący ubytek masy ciała., 2. Może być wywoływane różnymi czynnikami, do których należą m.in. bakterie. U pacjenta chorującego na zapalenie płuc występuje gorączka, dreszcze i poty, ból w klatce piersiowej, kaszel, niekiedy również odkrztuszanie plwociny. Bakteryjne zapalenie płuc wywołane pałeczką Haemophilus influenzae ., 3. Jest bakteryjną chorobą wywoływaną przez prątki Mycobacterium tuberculosis. Pacjent w zaawansowanym stadium choroby ma przewlekły kaszel z odkrztuszaniem plwociny, znaczną utratę masy ciała, podwyższoną temperaturę oraz duszności.
Dopasuj chorobę do jej opisu. Gruźlica Możliwe odpowiedzi: 1. choroba, której istotną przyczyną jest narażenie pacjenta na rakotwórcze działanie składników dymu tytoniowego. Daje charakterystyczne objawy, które niestety pojawiają się zwykle dość późno, często dopiero w momencie, gdy nie jest już możliwe wyleczenie. Chory cierpi na przewlekły kaszel, niekiedy z odkrztuszaniem krwi. Mogą pojawić się duszność i ból w klatce piersiowej. W późniejszym stadium choroby występuje osłabienie i postępujący ubytek masy ciała., 2. Może być wywoływane różnymi czynnikami, do których należą m.in. bakterie. U pacjenta chorującego na zapalenie płuc występuje gorączka, dreszcze i poty, ból w klatce piersiowej, kaszel, niekiedy również odkrztuszanie plwociny. Bakteryjne zapalenie płuc wywołane pałeczką Haemophilus influenzae ., 3. Jest bakteryjną chorobą wywoływaną przez prątki Mycobacterium tuberculosis. Pacjent w zaawansowanym stadium choroby ma przewlekły kaszel z odkrztuszaniem plwociny, znaczną utratę masy ciała, podwyższoną temperaturę oraz duszności. Rak płuca Możliwe odpowiedzi: 1. choroba, której istotną przyczyną jest narażenie pacjenta na rakotwórcze działanie składników dymu tytoniowego. Daje charakterystyczne objawy, które niestety pojawiają się zwykle dość późno, często dopiero w momencie, gdy nie jest już możliwe wyleczenie. Chory cierpi na przewlekły kaszel, niekiedy z odkrztuszaniem krwi. Mogą pojawić się duszność i ból w klatce piersiowej. W późniejszym stadium choroby występuje osłabienie i postępujący ubytek masy ciała., 2. Może być wywoływane różnymi czynnikami, do których należą m.in. bakterie. U pacjenta chorującego na zapalenie płuc występuje gorączka, dreszcze i poty, ból w klatce piersiowej, kaszel, niekiedy również odkrztuszanie plwociny. Bakteryjne zapalenie płuc wywołane pałeczką Haemophilus influenzae ., 3. Jest bakteryjną chorobą wywoływaną przez prątki Mycobacterium tuberculosis. Pacjent w zaawansowanym stadium choroby ma przewlekły kaszel z odkrztuszaniem plwociny, znaczną utratę masy ciała, podwyższoną temperaturę oraz duszności. Zapalenie płuc Możliwe odpowiedzi: 1. choroba, której istotną przyczyną jest narażenie pacjenta na rakotwórcze działanie składników dymu tytoniowego. Daje charakterystyczne objawy, które niestety pojawiają się zwykle dość późno, często dopiero w momencie, gdy nie jest już możliwe wyleczenie. Chory cierpi na przewlekły kaszel, niekiedy z odkrztuszaniem krwi. Mogą pojawić się duszność i ból w klatce piersiowej. W późniejszym stadium choroby występuje osłabienie i postępujący ubytek masy ciała., 2. Może być wywoływane różnymi czynnikami, do których należą m.in. bakterie. U pacjenta chorującego na zapalenie płuc występuje gorączka, dreszcze i poty, ból w klatce piersiowej, kaszel, niekiedy również odkrztuszanie plwociny. Bakteryjne zapalenie płuc wywołane pałeczką Haemophilus influenzae ., 3. Jest bakteryjną chorobą wywoływaną przez prątki Mycobacterium tuberculosis. Pacjent w zaawansowanym stadium choroby ma przewlekły kaszel z odkrztuszaniem plwociny, znaczną utratę masy ciała, podwyższoną temperaturę oraz duszności.