Zielona piana na wodach stojących, zielonkawy nalot na płocie, złotawa powłoka na ścianach akwarium czy poddające się falom brunatne wodorosty to właśnie protisty.
Aby zrozumieć poruszane w tym materiale zagadnienia, przypomnij sobie:
jakie organizmy zalicza się do protistów.
Twoje cele
Wykażesz różnorodność budowy protistów na wybranych przykładach.
Wykażesz znaczenie protistów w przyrodzie i dla człowieka.
ina6gi9iGq_d5e177
1. Jakie organizmy należą do protistów?
Protisty to grupa niespokrewnionych ze sobą organizmów, które pozostały po wyłączeniu organizmów zaliczanych do roślin, zwierząt i grzybów.
Nie ma żadnej zaawansowanej ewolucyjnie cechy, która byłaby wspólna dla wszystkich protistów.
Protisty w większości to organizmy jednokomórkowe, rzadziej wielokomórkowe.
Protisty nie mają wyspecjalizowanych tkanek ani organów.
Organizmy te występują zarówno w środowisku wodnym (wody słodkie i słone), jak i lądowym (mokre gleby i piaski).
Znane są gatunki pasożytnicze, żyjące we wnętrzu innych organizmów.
Niektóre gatunki protistów przypominają grzyby, rośliny lub zwierzęta.
ina6gi9iGq_d5e473
2. Czynności życiowe protistów
Większość protistów oddycha tlenowo. Prowadzą one wymianę gazową całą powierzchnią ciała. Gatunki pasożytnicze zdolne są do przeprowadzania fermentacjifermentacjafermentacji.
Wśród protistów występują zarówno organizmy samożywne, jak i cudzożywne.
Sposób rozmnażania protistów zależy od budowy ciała. U jednokomórkowców dominuje podział komórki, zaś formy wielokomórkowe często rozmnażają się płciowo lub bezpłciowo za pomocą zarodników.
ina6gi9iGq_d5e431
3. Protisty jednokomórkowe
Mają mikroskopijną budowę.
Zazwyczaj oddychają tlenowo. Wyjątkiem jest np. świdrowiec, organizm pasożytniczy przeprowadzający fermentację.
Fotografia przedstawia owalną, szaro‑brązową komórkę pantofelka. Widoczne są w niej wodniczki tętniące w kształcie "gwiazd" oraz mniejsze, okrągłe wodniczki pokarmowe.
Pantofelki żyją w wodach słodkich, takich jak stawy, jeziora i kałuże. Są one drapieżnikami polującymi m.in. na bakterie, które trawią w wodniczkach pokarmowych. Do usuwania nadmiaru wody służą im wodniczki tętniące. Pantofelki mają dwa jądra komórkowe oraz liczne rzęski, które umożliwiają im poruszanie się. Rozmnażają się przez podział
Źródło: Norman Shedlo, 2010 Olympus BioScapes Digital Imaging Competition, Cell Image Library, licencja: CC BY-SA 3.0.
Rev9RWr3F47qf
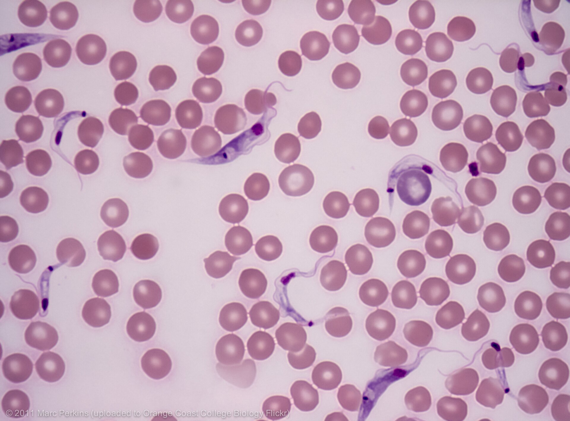
Zdjęcie spod mikroskopu świetlnego przedstawia świdrowce wśród widocznych od góry czerwonych krwinek. Świdrowce zabarwione są na fioletowo i są ok. 3 razy większe od jednej czerwonej krwinki. Ich ciało jest wydłużone i śrubowato skręcone. Mają charakterystyczną błonę falującą.
Świdrowiec wśród czerwonych krwinek. Świdrowce są groźnymi pasożytami zwierząt, w tym człowieka. Świdrowiec gambijski wywołuje śpiączkę afrykańską, która objawia się m.in. rozkojarzeniem, zaburzeniami koordynacji i śpiączką. Jest przenoszony przez muchę tse‑tse, odżywiającą się krwią zwierząt
Źródło: Marc Perkins, Wikimedia Commons, licencja: CC BY-SA 3.0.
R1QdMCCwXjvq0
Czarno‑biała fotografia spod mikroskopu przedstawia wiciowca kołnierzykowego. Od obłego ciała protista odchodzi kołnierzyk rzęsek, a spomiędzy nich wyłania się długa, skierowana do góry wić. Od drugiej strony komórki wychodzi struktura, za pomocą której wiciowiec przymocowuje się do podłoża.
Wiciowce kołnierzykowe to organizmy cudzożywne. Większość z nich żyje pojedynczo bądź w koloniach. Ich cechą charakterystyczną jest obecność kołnierzyka otaczającego długą wić. Przyczepiają się do podłoża za pomocą specjalnej struktury
Źródło: Mark Dayel, Dayel.com, licencja: CC BY-SA 3.0.
R1PRXTd1bieOK
Na zdjęciu mikroskopowym widoczna jest euglena zielona. Ma wrzecionowaty kształt. W chloroplastach znajduje się chlorofil. Z przodu jej ciała znajduje się czerwona plamka oczna.
Eugleny to zwykle organizmy słodkowodne, poruszające się w toni wodnej za pomocą wici. Mają wrażliwą na światło plamkę oczną (czerwony punkt). Zwykle są samożywne, mają chloroplasty i mogą przeprowadzać fotosyntezę. W przypadku braku światła stają się cudzożywne
Źródło: Don Loarie, Flickr, licencja: CC BY-SA 3.0.
RTB3MPbI3nEZI
Zdjęcie przedstawia plechę śluzowca na ziemi. Ma ona postać nieregularną, gąbczastą o żółtym, jaskrawym kolorze. Jej powierzchnia jest nieregularna.
Dorosłe śluzowce to duże, osiągające wielkość nawet do 30 cm, jednokomórkowe, wielojądrowe pełzaki, żyjące w ściółce leśnej lub w pniach martwych drzew
Źródło: Algirdas, Wikimedia Commons, licencja: CC BY-SA 3.0.
R19wlFRcQPa90
Zdjęcie mikroskopowe przedstawia zarodźca malarii na czerwonym tle. Ma on półksiężycowaty kształt. W jego środku widoczne są fioletowe organelle. Wokół niego znajdują się inne, liczne komórki.
Zarodźce malarii to pasożyty, które wywołują malarię – chorobę pasożytniczą objawiająca się regularnymi nawrotami gorączki i dreszczy
Źródło: Image by Ute Frevert; false color by Margaret Shear, licencja: CC BY-SA 3.0.
1
Obserwacja 1
Ważne!
W tej obserwacji biorą udział żywe protisty. Pamiętaj, że niezależnie od tego, z jak małymi organizmami masz do czynienia, należy im się szacunek. Po zakończeniu obserwacji zapewnij im dobre warunki poprzez umieszczenie ich w zbiorniku wolnostojącym (w stawie, jeziorze lub kałuży).
Problem badawczy: Jaki kształt ma ciało pantofelków?
R1Hst8xDJu4cQ
Hipoteza 1 Pantofelki mają okrągłe ciało., Hipoteza 2 Pantofelki mają wydłużone ciało.
Hipoteza 1 Pantofelki mają okrągłe ciało., Hipoteza 2 Pantofelki mają wydłużone ciało.
Źródło: GroMar Sp. z o.o., licencja: CC BY-SA 3.0.
Co będzie potrzebne
słoik;
siano;
woda ze zbiornika wolnostojącego (ze stawu, jeziora lub kałuży);
pipeta;
szkiełko podstawowe;
szkiełko nakrywkowe;
mikroskop świetlny.
Instrukcja
Do słoika włóż garść siana, a następnie nalej do niego wody ze zbiornika wolnostojącego.
Pozostaw hodowlę na 2 tygodnie w ciepłym miejscu.
Przenieś za pomocą pipety trochę cieczy z hodowli na szkiełko podstawowe.
Przykryj preparat szkiełkiem nakrywkowym.
Preparat umieść na stoliku mikroskopu i ustaw powiększenie 50-, 100- i 200‑krotne. Zlokalizuj pantofelki.
Wykonaj w zeszycie rysunek komórki pantofelka i opisz go.
Zanotuj wyniki i wnioski. Zweryfikuj hipotezę.
R1BT9sCG5C5tU
Fotografia spod mikroskopu przedstawia komórkę pantofelka. Wewnątrz widoczne są wodniczki – wyglądają jak bąbelki. Powierzchnia pantofelka pokryta jest rzęskami, które na fotografii są zamazane ze względu na ich szybki ruch.
Pantofelek. Bąbelki widoczne w środku komórki to wodniczki. Powierzchnia pantofelka pokryta jest rzęskami, które na fotografii są zamazane ze względu na ich szybki ruch
Źródło: Barfooz, Wikimedia Commons, licencja: CC BY-SA 3.0.
R1MNn73njT5y1
Wyniki: (Uzupełnij). Wnioski: (Uzupełnij).
Źródło: GroMar Sp. z o.o., licencja: CC BY-SA 3.0.
Wyniki
Szczegóły budowy komórek pantofelka można dostrzec pod dużym powiększeniem mikroskopu.
Wnioski
Czy na podstawie otrzymanych wyników możesz potwierdzić którąś hipotezę?
Wyniki
Pantofelki mają wydłużone ciało. Z zewnątrz pokryte jest rzęskami.
Wnioski
Ciało pantofelka jest wydłużone. Hipoteza 2 jest prawdziwa, a hipoteza 1 – fałszywa.
ina6gi9iGq_d5e265
4. Protisty wielokomórkowe
Protisty wielokomórkowe mogą osiągać duże rozmiary i tworzyć plechyplechaplechy.
Oddychają tlenowo.
Rozmnażają się płciowo i bezpłciowo.
Są samożywne. W ich komórkach znajdują się chloroplasty zawierające chlorofil oraz inne barwniki ułatwiające prowadzenie fotosyntezy, a także nadające im charakterystyczne zabarwienie. Nazwy grup protistów pochodzą od dominującej barwy komórek: brunatnice są żółtobrunatne. Produkty prowadzonej przez nie fotosyntezy są magazynowane w komórkach jako substancje zapasowe. Ich ściana komórkowa zbudowana jest między innymi z celulozy.
Unoszą się w toni wodnej albo żyją przytwierdzone do dna w miejscach, gdzie dociera światło.
Rk097sTI7UD1x
Fotografia przedstawia toń morską z licznymi brązowymi, rozległymi brunatnicami. To brunatnice, wyrastające aż pod powierzchnię Morza Sargassowego.
Brunatnice zamieszkują chłodne wody morskie półkuli północnej. Oprócz chlorofilu ich komórki zawierają także barwniki brunatne. Osiągnęły one najwyższy stopień rozwoju ciała wśród protistów. Mają wielokomórkowe plechowate ciała, zwykle w kształcie elastycznych wstęg. Niektóre elementy ich budowy przypominają organy roślin lądowych. Mają struktury podobne do korzeni, które przytwierdzają ich ciało do podłoża, a na strukturze podobnej do łodygi znajdują się płaskie i szerokie elementy przypominające liście
Źródło: Brianna Laugher, Flickr, licencja: CC BY-SA 3.0.
RNArhzrq0M0gW
Fotografia przedstawia zbliżenie brązowo‑zielonego protista leżącego na piasku nadmorskim. Wygląda jak spłaszczone drzewko. W środkowej części znajdują się owalne zgrubienia. To bałtycki morszczyn pęcherzykowaty.
Przedstawicielem brunatnic jest morszczyn pęcherzykowaty, który występuje m.in. w Bałtyku. Mocna skórzasta plecha morszczynu przypomina wyglądem roślinę lądową. Przyczepia się do podłoża za pomocą tarczowatej przylgi. Z części przypominających łodygę wyrastają elementy podobne do liści. Znajdują się na nich wypełnione powietrzem pęcherze, które unoszą organizm w wodzie. Ułatwia to pobieranie światła, a w razie odłamania – przemieszczanie się fragmentów plechy i zasiedlanie kolejnych miejsc
Źródło: Stemonitis, Aleksandra Ryczkowska, Wikimedia Commons, licencja: CC BY-SA 3.0.
RDGsv5fBsSVgU
Na zdjęciu znajduje się listownica. Widoczna jest jej część przypominająca długie, płaskie, brunatne liście oraz część przypominająca długą, nagą łodygę.
Listownica tworzy gęste, podwodne łąki w wodach słonych. Występuje m.in. w Bałtyku. Może się rozmnażać płciowo za pomocą komórek jajowych i plemników bądź bezpłciowo przez odrywanie fragmentów ciała
Źródło: Fitzgerald Marine Reserve Docent, Flickr, licencja: CC BY-SA 3.0.
Ważne!
Dla światła woda stanowi rodzaj filtra, który w zależności od głębokości zatrzymuje jego część. Im głębiej, tym mniej światła dociera do organizmów. Brunatnice wyposażone w żółtobrunatny barwnik wychwytują światło o barwie zielonej i niebieskiej.
1
Ćwiczenie 1
R17VXCN9I9Xz5
Zaobserwuj budowę morszczynu i wskaż jego przystosowania do życia przy brzegu morza, gdzie woda silnie faluje. (Uzupełnij).
Źródło: GroMar Sp. z o.o., licencja: CC BY-SA 3.0.
Zwróć uwagę na budowę plechy.
Morszczyn przyczepia się do podłoża za pomocą tarczowatej przylgi. Ma wydłużone, taśmowate plechy, które łatwo poddają się ruchom wody. Dodatkowo w plesze morszczynu występują pęcherzyki wypełnione gazem, dzięki którym wiotka plecha morszczynu utrzymuje w wodzie pozycję pionową.
1
Ćwiczenie 2
RjhvtQGqtlMDL
Wyjaśnij, dlaczego w głębinach oceanów nie ma organizmów fotosyntetyzujących. (Uzupełnij).
Źródło: GroMar Sp. z o.o., licencja: CC BY-SA 3.0.
Jakie warunki panują w oceanach na dużych głębokościach?
W głębinach oceanów nie ma organizmów fotosyntetyzujących, ponieważ nie dociera tam światło, które jest niezbędne do przeprowadzania fotosyntezy.
ina6gi9iGq_d5e223
5. Znaczenie protistów
Protisty są jednymi z producentów tlenu na Ziemi.
Drobne, swobodnie unoszące się na powierzchni wody protisty tworzą plankton roślinny (fitoplankton), podstawowy pokarm ryb i innych zwierząt wodnych.
Protisty osiadłe na dnie zbiorników formują rozległe, podwodne łąki będące schronieniem i miejscem żerowania oraz rozrodu zwierząt.
Obumarłe, opadające na dno protisty są rozkładane, a zawarte w nich związki mineralne użyźniają wodę, umożliwiając rozwój kolejnych pokoleń samożywnych organizmów.
W medycynie stanowią składniki leków zalecanych w chorobach układu pokarmowego.
Protisty, które zawierają dużo związków jodu, znajdują zastosowanie przy leczeniu chorób tarczycy.
W przemyśle kosmetycznym używa się protistów do produkcji kremów i maseczek nawilżających skórę oraz poprawiających jej elastyczność.
W Japonii i Chinach niektóre gatunki protistów są wykorzystywane jako składnik potraw (np. sushi), a inne używane do nawożenia gleby.
Protisty wywołują groźne choroby, np. malarię, toksoplazmozę czy śpiączkę afrykańską.
ina6gi9iGq_d5e626
Podsumowanie
Protisty to organizmy jedno- lub wielokomórkowe.
Protisty zasiedlają różne środowiska, jednak najczęściej spotykane są w środowiskach wodnych.
Wyróżnia się protisty samożywne i cudzożywne. Niektóre gatunki mogą zmieniać sposób odżywiania w zależności od dostępności światła.
Większość protistów oddycha tlenowo. Gatunki pasożytnicze mogą przeprowadzać fermentację.
Protisty rozmnażają się bezpłciowo (poprzez podział lub fragmentację) i płciowo (za pomocą komórek rozrodczych).
ina6gi9iGq_d5e690
Słownik
fermentacja
fermentacja
proces przemian związków organicznych, zachodzący w warunkach beztlenowych, którego efektem jest uzyskanie energii; dzięki fermentacji przeprowadzanej przez bakterie kwasu mlekowego otrzymujemy m.in. ogórki kiszone
plecha
plecha
wielokomórkowe ciało protista lub grzyba, w którym nie występują tkanki ani organy
zarodniki
zarodniki
komórki służące do bezpłciowego rozmnażania się roślin, protistów i grzybów
ina6gi9iGq_d5e763
Zadania
11
Ćwiczenie 1
RU0rGR7IcwBzV
zadanie interaktywne
Zaznacz poprawne zakończenia zdania. Zielenice i krasnorosty
są organizmami jądrowymi.
posiadają chlorofil.
mogą się rozmnażać przez podział ciała.
wytwarzają tlen.
wytwarzają liście i łodygi.
są organizmami cudzożywnymi.
Źródło: Alicja Kasińska, Aleksandra Zarzycka, licencja: CC BY-SA 3.0.
R4rtFYezBqJAM1
Ćwiczenie 2
Pogrupuj poniższe gatunki protistów na te, które są jednokomórkowe i te, które są wielokomórkowe. Protisty jednokomórkowe Możliwe odpowiedzi: 1. listownica, 2. pantofelek, 3. euglena, 4. zarodziec malarii, 5. morszczyn pęcherzykowaty Protisty wielokomórkowe Możliwe odpowiedzi: 1. listownica, 2. pantofelek, 3. euglena, 4. zarodziec malarii, 5. morszczyn pęcherzykowaty
Pogrupuj poniższe gatunki protistów na te, które są jednokomórkowe i te, które są wielokomórkowe. Protisty jednokomórkowe Możliwe odpowiedzi: 1. listownica, 2. pantofelek, 3. euglena, 4. zarodziec malarii, 5. morszczyn pęcherzykowaty Protisty wielokomórkowe Możliwe odpowiedzi: 1. listownica, 2. pantofelek, 3. euglena, 4. zarodziec malarii, 5. morszczyn pęcherzykowaty
Źródło: Aleksandra Zarzycka, licencja: CC BY-SA 3.0.
2
Ćwiczenie 3
R11R2RWxpRYzi
zadanie interaktywne
zadanie interaktywne
Źródło: Aleksandra Zarzycka, licencja: CC BY-SA 3.0.
2
Ćwiczenie 4
RgLqZQXvgRYJg
zadanie interaktywne
zadanie interaktywne
Źródło: Aleksandra Zarzycka, licencja: CC BY-SA 3.0.
bg‑azure
Notatnik
R1R0cYtjXzBRt
(Uzupełnij).
Źródło: GroMar Sp. z o.o., licencja: CC BY-SA 3.0.