Przeczytaj
U zwierząt tkankowychtkankowych występują tkanki – zespoły komórek wraz z wytwarzaną przez nie substancją międzykomórkową, charakteryzujące się podobną budową oraz określoną funkcją, położeniem i pochodzeniem. Wyróżnia się tkanki: nabłonkową, mięśniową, nerwową (niekiedy obejmuje ona także tkankę glejową) i łączną, najbardziej zróżnicowaną morfologicznie i czynnościowo.
- Nazwa kategorii: Tkanki zwierzęce
- Nazwa kategorii: tkanka nabłonkowa
- Nazwa kategorii: jednowarstwowa
- Nazwa kategorii: płaska
- Nazwa kategorii: sześcienna
- Nazwa kategorii: walcowata Koniec elementów należących do kategorii jednowarstwowa
- Nazwa kategorii: wielowarstwowa Koniec elementów należących do kategorii tkanka nabłonkowa
- Nazwa kategorii: tkanka mięśniowa
- Nazwa kategorii: prążkowana
- Nazwa kategorii: szkieletowa
- Nazwa kategorii: sercowa Koniec elementów należących do kategorii prążkowana
- Nazwa kategorii: gładka Koniec elementów należących do kategorii tkanka mięśniowa
- Nazwa kategorii: tkanka nerwowa
- Nazwa kategorii: neurony
- Nazwa kategorii: glejowa Koniec elementów należących do kategorii tkanka nerwowa
- Nazwa kategorii: tkanka łączna
- Nazwa kategorii: właściwa
- Nazwa kategorii: podporowa
- Nazwa kategorii: tkanka chrzęstna
- Nazwa kategorii: tkanka kostna
- Nazwa kategorii: zębina Koniec elementów należących do kategorii podporowa
- Nazwa kategorii: zarodkowa
- Nazwa kategorii: płynna
- Nazwa kategorii: krew
- Nazwa kategorii: limfa Koniec elementów należących do kategorii płynna
- Elementy należące do kategorii Tkanki zwierzęce
- Elementy należące do kategorii tkanka nabłonkowa
- Elementy należące do kategorii jednowarstwowa
- Elementy należące do kategorii tkanka mięśniowa
- Elementy należące do kategorii prążkowana
- Elementy należące do kategorii tkanka nerwowa
- Elementy należące do kategorii tkanka łączna
- Elementy należące do kategorii podporowa
- Elementy należące do kategorii płynna
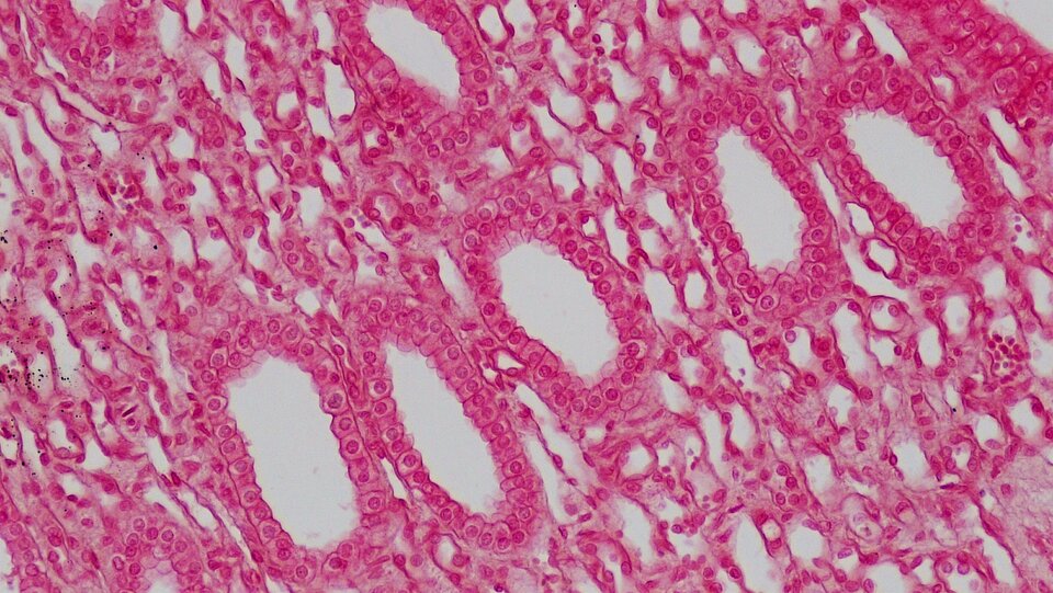
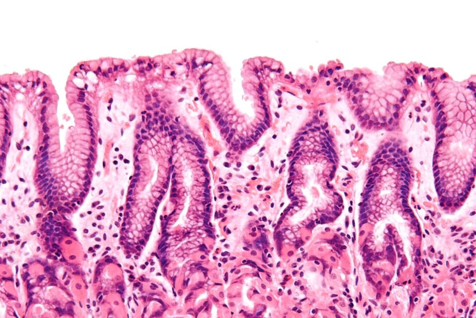
Tkanka nabłonkowa
Tkanka nabłonkowa charakteryzuje się małą ilością substancji międzykomórkowej, zwartym układem i polaryzacją komórek. Na ich powierzchni szczytowej mogą występować rzęski (np. urzęsiony nabłonek jajowodu – migawkowy). Tkanka nabłonkowa może rozwijać się z każdego z trzech listków zarodkowychlistków zarodkowych: ektodermy, endodermy i mezodermy.
Tkanka nabłonkowa pełni funkcje: pokrywowo‑wyściełająco‑ochronną (ochrona przed urazami, patogenami i wysychaniem – np. naskórek, nabłonek jamy ustnej, nabłonki bezkręgowców wytwarzające oskórekoskórek); transportującą (udział w transporcie związków chemicznych i jonów – np. nabłonek jelita cienkiego); wydalniczą (udział w usuwaniu szkodliwych produktów przemiany materii – np. nabłonek pęcherzyków płucnych i gruczołów potowych); wydzielniczą (produkcja i wydzielanie różnych związków chemicznych – np. nabłonek kanalików nerkowych); zmysłową (odbieranie bodźców ze środowiska zewnętrznego – np. nabłonek kubków smakowych); lokomotoryczną (umożliwianie przemieszczania się w środowisku wodnym niektórym zwierzętom, u kręgowców udział w przesuwaniu dużych cząstek, komórek, np. nabłonek tchawicy i jajowodów, powłokowy u bezkręgowców).
Tkanka nabłonkowa może być zbudowana z jednej lub wielu warstw komórek.
Tkanka mięśniowa
Cechą charakterystyczną komórek tkanki mięśniowej jest obecność włókienek (filamentów) białkowych tworzących tzw. aparat kurczliwy. U zwierząt tkankowych istnieją dwie odmiany tkanki mięśniowej – prążkowana i gładka, różniące się budową i funkcją.
Tkanka nerwowa

Tkanka ta buduje układ nerwowy. Tworzą ją komórki nerwowe (neuronyneurony), które odbierają bodźce, przetwarzają je w impulsy nerwowe i przekazują do innych komórek, oraz komórki glejowe pełniące funkcje podporowe, metaboliczne i ochronne.
Neuron jest zbudowany z ciała komórki (perykarionu) zawierającego jądro i odchodzących od niego dwóch rodzajów wypustek: licznych dendrytówdendrytów oraz jednej długiej zwanej aksonemaksonem, często otoczonej osłonką mielinową. Funkcją dendrytów jest odbieranie bodźców i przekazywanie ich do ciała komórki nerwowej. Następnie informacja ta trafia do kolejnej komórki nerwowej lub efektora za pomocą aksonu. Przewodzenie impulsów z neuronu do kolejnego neuronu zachodzi dzięki wytwarzaniu substancji przekaźnikowej (neuroprzekaźnika).
Pod względem morfologicznym neurony dzieli się na jednobiegunowe (występuje tylko akson), dwubiegunowe (jeden akson i jeden dendryt) i wielobiegunowe (jeden akson i wiele dendrytów).
Tkanka łączna
Tkankę łączną charakteryzuje duża ilość substancji międzykomórkowej będącej wytworem tkwiących w niej komórek. Istnieje wiele odmian tkanki łącznej, różniących się obecnością określonych rodzajów komórek, ich budową, funkcjami oraz składem substancji międzykomórkowej. Komórki tkanki łącznej stanowią zróżnicowaną grupę pod względem morfologicznym, funkcyjnym i pochodzenia. Substancję międzykomórkową tworzą: jednorodna istota podstawowa – złożona mieszanina białek (m.in. glikoproteiny, kolagen), sacharydów, lipidów i wody – oraz włókna klejorodne (kolagenowe), odporne na zerwanie, włókna sprężyste (elastyczne) i siateczkowe.
W zależności od stosowanych kryteriów morfologicznych i czynnościowych tkankę łączną kręgowców dzieli się na: zarodkową, właściwą, podporową (obejmującą tkankę chrzęstną, tkankę kostną i zębinę) oraz tkanki płynne (krew i limfę). Tkanka łączna bezkręgowców jest o wiele bardziej zróżnicowana i zawiera dodatkowo wiele innych jej odmian.
Tkanka chrzęstna
Sztywna i jednocześnie elastyczna tkanka łączna podporowa jest zbudowana z chondroblastówchondroblastów, chondrocytówchondrocytów i chondroklastówchondroklastów oraz substancji międzykomórkowej. Komórki chrzęstne występują pojedynczo lub po kilka w torebkach chrząstkowych nazywanych jamkami chrzęstnymi. W okresie zarodkowym i płodowym tworzy szkielet. Wyróżnia się tkankę chrzęstną: szklistą, sprężystą i włóknistą.
Tkanka chrzęstna jest nieunaczyniona, odżywiana drogą dyfuzji substancji odżywczych z naczyń krwionośnych ochrzęstnejochrzęstnej. Wykazuje małą intensywność metabolizmu.
Tkanka kostna i zębina
Tkanka kostna tworzy szkielet kręgowców, u niektórych także pancerz. Zbudowana jest z komórek kostnych (osteocytów) i dużej ilości zmineralizowanej substancji pozakomórkowej składającej się z kolagenu, glikozoaminoglikanów oraz soli wapnia (ok. 35% to fosforany wapnia). Okresowo, w czasie rozwoju oraz przebudowy kości, w tkance kostnej występują komórki kościotwórcze (osteoblasty) oraz komórki kościogubne (osteoklasty). Wyróżnia się dwa typy tkanki kostnej: zbitą i gąbczastą (beleczkową).
Oprócz szkieletu wewnętrznego z tkanki kostnej zbudowane są elementy pancerza, czasem zespolone z kośćcem (u żółwi – Testudines/Chelonia) lub stanowiące zewnętrzny pancerz ochronny (u pancerników – Dasypodidae, krokodyli – Dasypodidae).
Tkanka tłuszczowa
Tkanka tłuszczowa zbudowana jest głównie z komórek tłuszczowych i zawiera skąpą ilość substancji międzykomórkowej. Komórki tkanki tłuszczowej mogą występować w tkance łącznej pojedynczo lub w małych skupieniach.
Krew
Krew jest płynem ustrojowym krążącym w zamkniętym układzie naczyń krwionośnych. Jest tkanką płynną składającą się w ok. 55% z płynnego osocza oraz w ok. 45% z zawieszonych w nim krwinek: erytrocytów, leukocytów i trombocytów (u ssaków nazywanych też płytkami krwi).
Główną funkcją krwi jest rozprowadzanie do tkanek tlenu, odprowadzanie do płuc dwutlenku węgla, rozprowadzanie substancji odżywczych wchłoniętych z przewodu pokarmowego oraz hormonów, a także doprowadzanie do nerek i gruczołów potowych substancji, które ulegają wydaleniu. Ponadto krew odgrywa istotną rolę w mechanizmach obronnych.

Osocze stanowi roztwór wodny przede wszystkim białek (głównie albumin i globulin), ale są w nim również zawarte m.in. niektóre cukry, sole mineralne, witaminy, hormony. Jednym z białek jest fibrynogen, który w procesie krzepnięcia krwi wytrąca się jako włóknik, tworząc podłoże skrzepu. Osocze bez fibrynogenu jest zwane surowicą.
Komórki krwi – krwinki – ulegają nieustannej wymianie. Żyją krótko (np. erytrocyty ok. 120 dni), ich stała liczba w krwi jest utrzymywana przez ciągłe wytwarzanie nowych, zastępujących krwinki starzejące się, obumierające i niszczone następnie przez komórki układu siateczkowo‑śródbłonkowego, głównie w śledzionie, wątrobie, płucach.
Limfa (chłonka)

Jest to płyn krążący w naczyniach limfatycznych (chłonnych) kręgowców. Stanowi przesącz krwi wzbogacony wydzielinami oraz produktami przemiany materii komórek. Składa się z osocza oraz krwinek białych (leukocytów), głównie limfocytów, wytwarzanych w węzłach limfatycznych (chłonnych). Osocze limfy zawiera więcej wody niż osocze krwi, porównywalną ilość elektrolitów i mniejszą ilość białek w określonej jednostce objętości (30–50 g/l). W początkowych najdrobniejszych naczyniach limfa nie zawiera komórek, jest przejrzysta, bezbarwna. W dużych naczyniach, w miarę przepływu przez węzły limfatyczne, staje się płynem nieprzejrzystym, zawierającym znaczną liczbę komórek. Limfa płynąca z obszaru jelit – zwana limfą trawienną lub mleczem – jest emulsją tłuszczów wchłanianych z jelita.
Limfa pełni wiele funkcji w organizmie, m.in. uczestniczy w wymianie składników pomiędzy krwią a tkankami, bierze udział w czynnościach obronnych organizmu (dzięki obecności leukocytów i przeciwciał), transportuje różne substancje pokarmowe do krwi oraz odprowadza zbędne produkty przemiany materii.
Słownik
neuryt, wypustka osiowa; pojedyncza, zwykle długa wypustka komórki nerwowej (neuronu) przewodząca impulsy nerwowe od ciała komórki (perykarionu) do zakończeń nerwowych
białko kurczliwe budujące filamenty cienkie miofibryli
komórka chrząstkotwórcza pochodząca z mezenchymy (tkanki łącznej zarodkowej); produkuje składniki substancji międzykomórkowej chrząstki
owalna lub kulista komórka chrzęstna leżąca w jamce substancji międzykomórkowej chrząstki
wielojądrzasta komórka degradująca substancję międzykomórkową chrząstki
wypustki cytoplazmatyczne komórki nerwowej (neuronu), zwykle krótkie, cienkie i bogato rozgałęzione, odbierające bodźce lub impulsy i przekazujące impulsy nerwowe w kierunku ciała komórki nerwowej; mogą mieć na końcu rozszerzenia, których elementy tworzą synapsy
proces pochłaniania (pożerania) cząstek nieorganicznych oraz komórek lub ich fragmentów przez organizmy jednokomórkowe lub wyspecjalizowane komórki organizmów o bardziej złożonej budowie (fagocyty)
nitkowate, białkowe struktury wchodzące w skład szkieletu komórki
białko kurczliwe budujące filamenty grube miofibryli
komórka nerwowa, neurocyt; silnie wyspecjalizowana komórka pochodzenia ektodermalnego będąca podstawową jednostką strukturalną i funkcjonalną tkanki nerwowej; zadaniem neuronu jest odbieranie, przetwarzanie, przewodzenie i przekazywanie sygnałów elektrycznych
rodzaj błony biologicznej; łącznotkankowa błona otaczająca tkankę chrzęstną (szklistą i sprężystą) kręgowców; jest zbudowana z tkanki łącznej właściwej zawierającej włókna kolagenowe i sprężyste oraz komórki mezenchymy, fibroblasty, fibrocyty i chondroblasty
kutykula; wytwór naskórka wielu bezkręgowców (począwszy od płazińców) i niższych strunowców; stanowi warstwę ochronną, w dużym stopniu odporną na działanie czynników fizycznych, chemicznych i biologicznych; występuje zarówno na powierzchni ciała, jak i w jego wnętrzu (jelito przednie i tylne, tchawki); może mieć różną budowę
elementarna część kurczliwa włókienka mięśniowego (miofibryli); odgrywa rolę w skurczu mięśnia
rodzaj komórczaka (wielojądrowej masy protoplazmy) powstałego w wyniku fuzji komórek z równoczesnym zanikiem otaczających je błon komórkowych; np. włókna mięśniowe szkieletowe powstające w wyniku łączenia się komórek prekursorowych – mioblastów
tkanka krwiotwórcza wypełniająca jamy szpikowe kości; wytwarza komórki wchodzące do krwiobiegu
Histozoa; nazwa stosowana na określenie wielokomórkowców właściwych (Eumetazoa), jednej z dwóch linii ewolucyjnych (podkrólestw) zwierząt wielokomórkowych; w tym sensie nazwę tę traktuje się jako ich synonim; dla gąbek – drugiego z podkrólestw wielokomórkowców – używa się nazwy „beztkankowce” (Ahistozoa)
mechaniczne połączenia komórek tkanki mięśniowej sercowej; zapewniają integralność narządu i rozprzestrzenianie się impulsu skurczowego
warstwy komórek pojawiające się we wczesnym rozwoju zarodkowym na etapie gastrulacji; przekształcające się w dalszym rozwoju w tkanki i narządy

















