Przeczytaj
E‑materiały powiązane z tematem
Tkanka mięśniowa
Tkanka mięśniowa poprzecznie prążkowana szkieletowa
Komórki tkanki mięśniowej poprzecznie prążkowanej tworzą długie, nawet kilkucentymetrowe włókna o cylindrycznym kształcie. Włókna mięśni szkieletowych są syncytiami (zespólniami) – powstają w wyniku połączenia się wielu pojedynczych komórek mięśniowych, dlatego zawierają od kilkudziesięciu do kilkuset jąder komórkowych, ułożonych na peryferiach cytoplazmy, tuż pod błoną komórkową. We włóknach występują również licznie mitochondria.
Miofilamenty grube i cienkie leżą równolegle wzdłuż włókna i częściowo na siebie zachodzą. Różnią się sposobem załamywania światła. Włókna miozyny mocniej załamują światło i widoczne są w postaci ciemnych fragmentów, natomiast włókna aktyny, które słabiej załamują światło, tworzą jasne odcinki. Daje to charakterystyczny efekt prążkowania widoczny pod mikroskopem.
Włókna kurczą się bardzo szybko, ale też szybko się męczą. Skurcz mięśni poprzecznie prążkowanych jest silny i zależny od woli. Tkanka mięśniowa szkieletowa cechuje się dobrym unaczynieniem i unerwieniem.
Tkanka mięśniowa poprzecznie prążkowana serca
Tkanka mięśnia sercowego zbudowana jest z włókien mięśniowych. Każde włókno składa się z wielu cylindrycznych, widlasto rozgałęzionych, jedno- lub dwujądrowych komórek, które zawierają liczne mitochondria.
Wewnątrz komórek, podobnie jak w mięśniu szkieletowym, można zaobserwować wyraźne prążki, ale jądra komórkowe położone są w centrum. Komórki we włóknie układają się szeregiem, jedna za drugą. Na powierzchniach ich styku obecne są wyspecjalizowane połączenia, tzw. wstawki. Włókna łączą się bocznymi odgałęzieniami z sąsiednimi włóknami, tworząc przestrzenną sieć. Zapewnia to synchronizację skurczu mięśnia sercowego, który kurczy się dość szybko, ale słabiej niż mięśnie szkieletowe – wynika to z mniejszej liczby miofibryli. Tkanka mięśniowa serca jest dobrze unaczyniona, a jej skurcze są niezależne od woli.
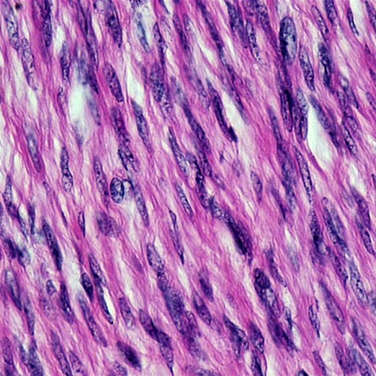
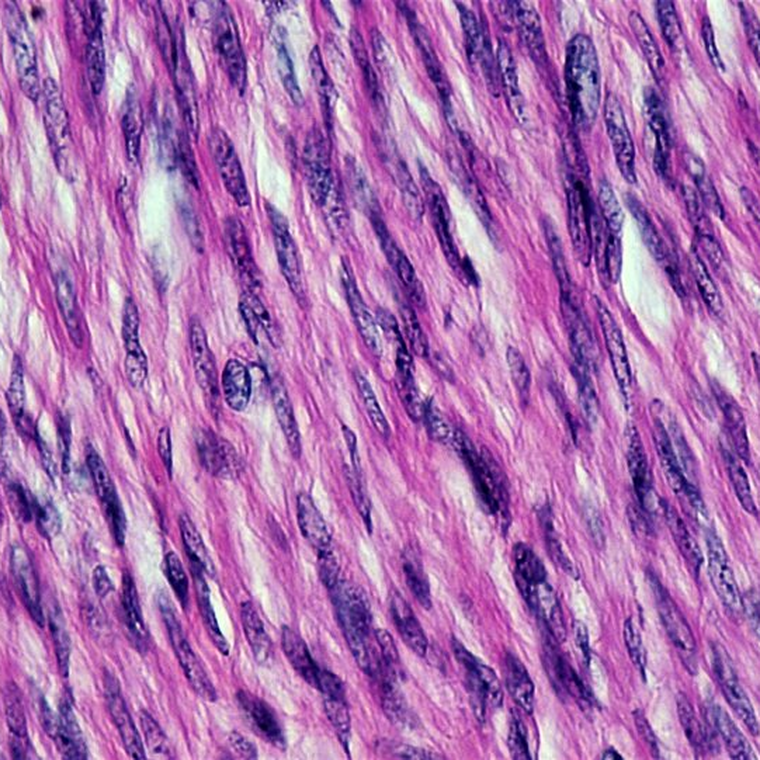
Tkanka mięśniowa gładka
Tkanka ta składa się z wrzecionowatych komórek mających jedno, centralnie położone jądro komórkowe. Zawiera kilkakrotnie mniej włókien kurczliwych niż pozostałe rodzaje tkanki mięśniowej (poprzecznie prążkowana szkieletowa i poprzecznie prążkowana serca). Miofibryle zaś ułożone są nieregularnie, przez co skurcze mięśni są powolne, długotrwałe i odporne na zmęczenie. Takie ułożenie miofibryli wpływa także na brak widocznego prążkowania (stąd nazwa tej tkanki – tkanka mięśniowa gładka). Skurcze mięśni gładkich nie zależą od woli człowieka.
Obserwacja mikroskopowa tkanek zwierzęcych
Do obserwacji struktur tkankowych i komórkowych używa się głównie mikroskopów (z gr. mikros – mały, skopeo – patrzę, obserwuję) – przyrządów optycznych pozwalających na otrzymywanie powiększonych obrazów obiektów niewidocznych gołym okiem.
Wynalezienie mikroskopu najczęściej przypisuje się dwóm Holendrom – Hansowi i Zachariaszowi Janssenom (ojcu i synowi) – którzy na przełomie XVI i XVII w. skonstruowali urządzenie składające się z dwóch soczewek zamocowanych na obu końcach rury. Przyrząd ten, zwany mikroskopem sprzężonym, pozwalał na zaledwie 10‑krotne powiększenie obserwowanego obiektu. Obserwacja komórek stała się możliwa nieco później – w połowie XVII w. – dzięki wynalezieniu mikroskopu optycznego (świetlnego) przez angielskiego przyrodnika i eksperymentatora Roberta Hooke’a (1635–1703).
Współcześnie najczęściej stosowanymi mikroskopami są: mikroskopy optyczne (świetlne), mikroskopy fluorescencyjne oraz mikroskopy elektronowe.
Więcej na temat mikroskopów i mechanizmów ich działania w e‑materiale Rodzaje mikroskopów używanych w badaniach biologicznychRodzaje mikroskopów używanych w badaniach biologicznych
W obserwacji mikroskopowej komórki i ich elementy nie wykazują różnic w absorpcji promieniowania elektromagnetycznego, co przekłada się na brak wyraźnego kontrastu między poszczególnymi elementami. Nie ma więc możliwości rozróżnienia szczegółów budowy danej tkanki czy też elementów komórki. Z tego powodu w preparatach mikroskopowych niezbędne jest zastosowanie barwników histologicznych, które wybarwiają komórki wraz z ich elementami strukturalnymi, a tym samym umożliwiają ich dokładną obserwację i identyfikację.
Barwniki histologiczne
Barwniki histologiczne to związki chemiczne wykorzystywane w mikroskopii świetlnej do wybarwiania struktur komórkowych i tkankowych. Typowy barwnik zawiera dwie grupy chemiczne: chwytną i barwną. Część chwytna łączy się z elementami komórkowymi o określonym składzie chemicznym, natomiast barwna absorbuje światło o określonej długości fali, dzięki czemu możliwe jest dostrzeżenie wybarwionych struktur.
W zależności od struktury, jaką się będzie obserwować, należy zastosować odpowiedni barwnik histologiczny.
Poniżej przedstawiono przykładowe metody barwienia preparatów histologicznych.

Hematoksylina i eozyna
Najczęściej stosowanymi barwnikami w histologii są hematoksylinahematoksylina oraz eozynaeozyna (H+E).
Hematoksylina to niebieski barwnik, którym wykrywa się kwasowe (zasadochłonne) elementy komórki, takie jak jądro komórkowe czy siateczka śródplazmatyczna szorstka. Zazwyczaj stosowana jest w połączeniu z eozyną.
Eozyna to kwasowy barwnik o czerwonej barwie służący do wykrywania zasadowych (kwasochłonnych) struktur komórkowych, takich jak cytoplazma i włókna kolagenowe.
Przygotowanie preparatu mikroskopowego
Odparafinowanie i nawodnienie materiału
2 × 5 min w ksylenie (rozpuszcza parafinę)
2 × 3 min w etanolu 99,8%
1 × 3 min w etanolu 96%
1 × 3 min w etanolu 90%
1 × 3 min w etanolu 80%
1 × 3 min w etanolu 70%
1 × 3 min w etanolu 50%
1 × 3 min w etanolu 30%
1 × 3 min w dHIndeks dolny 22O
Barwienie hematoksyliną i eozyną
Zanurz skrawki na 3 minuty w wodzie destylowanej.
Umieść skrawki na 5 minut w roztworze hematoksylinyhematoksyliny.
Przebarwione skrawki odbarw przez 2–3 sekundy w zakwaszonym alkoholu (0,25 ml HCl na 100 ml alkoholu 70%).
Przepłucz skrawki pod bieżącą wodą i skontroluj ich jakość pod mikroskopem.
Zanurz skrawki na minutę w roztworze eozynyeozyny.
Przepłucz je wodą destylowaną.
Odwadnianie i zamykanie preparatów
1 × 5 min w etanolu 96%
2 × 5 min w etanolu 100%
2 × 10 min w ksylenie (wcześniej usuń nadmiar etanolu)
Zamknij preparat w kropli DPX (nie osuszaj preparatu z ksylenu).
Susz preparat w 37°C przez noc lub 2 godziny w 45°C.
Wyniki barwienia
Elementy zasadochłonne (np. jądra komórkowe) barwią się na niebiesko, a elementy kwasochłonne na czerwono.
Jądra komórkowe – chromatyna: niebieska
Cytoplazma: różowa
Tkanka łączna: szarofioletowa
Słownik
zespół metod mających na celu wizualizację określonych struktur, elementów komórkowych lub identyfikację związków chemicznych w materiale roślinnym lub zwierzęcym; barwienie preparatów mikroskopowych dokonuje się przez naniesienie barwnika (związku chemicznego) na szkiełko mikroskopowe
proces patologiczny, zmiana polegająca na uszkodzeniu narządu lub tkanki
bromowa pochodna fluoresceiny; wykazuje właściwości kwasowe i dlatego ma silniejsze powinowactwo do elementów komórki o charakterze kwasochłonnym; stosowana jest m.in. w metodzie barwienia Giemsy; elementy komórkowe zasadochłonne, w tym jądra komórkowe, wybarwiają się na kolor niebieski, a kwasochłonne na kolor czerwony
wartość stosowana do opisu zjawisk okresowych; określa stan ruchu w danej chwili
zjawisko polegające na emitowaniu fal świetlnych przez cząsteczkę fluorochromu wzbudzoną światłem o właściwej długości fali
rodzaj fotoluminescencjifotoluminescencji; zanika w stosunkowo długim czasie (w porównaniu z fluorescencjąfluorescencją)
luminescencja zachodząca w wyniku powrotu do stanu podstawowego cząsteczek lub atomów wzbudzonych do wyższych stanów elektronowych promieniowaniem elektromagnetycznym (zakresu widzialnego i nadfioletu)
pozyskiwana jest z drewna modrzejca kampechiańskiego (Erythroxylon campechianum); w jej składzie wyróżnić można roztwory soli żelaza, glinu, wolframu i chromu; dzięki jonom metalu elementy komórkowe chłoną barwnik, co uwidocznione jest na preparacie szkiełkowym; aby hematoksylina miała zdolność do wybarwiania jądra komórkowego, konieczny jest proces utleniania barwnika (co wykonuje się w warunkach laboratoryjnych za pomocą np. światła słonecznego lub substancji chemicznych)
zjawisko fizyczne nakładania się dwóch (lub więcej) fal, przy którym w różnych punktach przestrzeni następuje wzmacnianie lub osłabianie amplitudy fali wypadkowej
przyrząd do cięcia tkanek na cienkie skrawki, z których sporządza się preparaty mikroskopowe; skrawki mają grubość ok. 0,1–20 µm (do mikroskopów optycznych) lub 0,03–0,1 µm (do mikroskopów elektronowych)
obiekty biologiczne przygotowywane w specjalny sposób do analizy podczas obserwacji mikroskopowej; każdy rodzaj mikroskopu wymaga odmiennego sposobu wykonania preparatu
różnica pomiędzy wartościami fazyfazy dwóch fal, np. świetlnych
przezroczysta przednia część błony zewnętrznej oka kręgowców, właściwa także dla człowieka












