Choroby genetyczne człowieka
Jednogenowe choroby człowieka
Wymienisz jednogenowe choroby człowieka.
Określisz na podstawie analizy rodowodu podłoże genetyczne chorób człowieka: mukowiscydoza, pląsawica Huntingtona, hemofilia, daltonizm.
Geny to instrukcja obsługi organizmu, która w dużej mierze determinuje jego cechy takie jak np. grupa krwi czy kolor oczu. Jednak ogólne zdrowie i równowaga wewnętrzna organizmu zależą od stałej współpracy genów ze środowiskiem. Jeśli w zapisie genetycznym pojawi się błąd, czyli mutacja, może dojść do rozwoju choroby genetycznej. W zależności od zakresu mutacji wyróżnia się choroby:
jednogenowe – wywołane mutacjami w obrębie jednego genu;
wielogenowe – wywołane mutacjami w obrębie różnych genów i indukowane czynnikami środowiska;
chromosomalne – wywołane mutacjami w strukturze lub liczbie chromosomów.
Znajomość prawidłowej struktury genów i chromosomów pozwala diagnozować choroby genetyczne, a rozwój metod inżynierii genetycznej otwiera drogę do ich leczenia bezpośrednio na poziomie DNA.
Choroby jednogenowe
Choroby jednogenowe są w większości spowodowane mutacjami genów zlokalizowanych w jądrowym DNA. Mogą one być dziedziczone autosomalnie lub w sprzężeniu z płcią oraz recesywnie lub dominująco.
Choroby jednogenowe dziedziczone autosomalnie recesywnie
Choroby dziedziczone autosomalnie recesywnie najczęściej dotyczą genów kodujących enzymy. Brak lub niedobór prawidłowej formy enzymu skutkuje zaburzeniami przemian metabolicznych organizmu.
Do wystąpienia objawów choroby konieczna jest obecność dwóch recesywnych alleli (a) danego genu. Choroba ujawnia się u homozygot recesywnych (aa), natomiast homozygoty dominujące (AA) i heterozygoty (Aa) nie wykazują objawów choroby. Heterozygoty są jednak nosicielami wadliwego genu, który mogą przekazać potomstwu. Choroby jednogenowe dziedziczone autosomalnie recesywnie występują z jednakową częstością u obu płci.

Niektóre choroby są związane z mutacjami w genach kodujących białka enzymatyczne w szlakach metabolicznych. Zablokowanie tych szlaków – spowodowane brakiem lub nieprawidłową strukturą enzymów katalizujących poszczególne reakcje nazywane jest blokiem metabolicznym. Ich skutkiem są wrodzone wady metabolizmu o podłożu genetycznym, najczęściej dziedziczone autosomalnie recesywnie. Ujawniają się w krótkim czasie po urodzeniu. Bloki metaboliczne mogą dotyczyć metabolizmu białek, tłuszczów bądź węglowodanów.
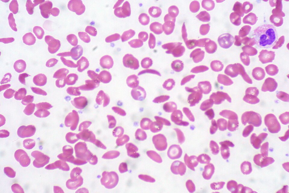
Do niebezpiecznych chorób jednogenowych dziedziczonych recesywnie należą mukowiscydoza, anemia sierpowata i galaktozemie.
Choroby jednogenowe dziedziczone autosomalnie dominująco
Choroby dziedziczone autosomalnie dominująco występują w ludzkiej populacji znacznie rzadziej niż choroby dziedziczone autosomalnie recesywnie. Do wystąpienia objawów choroby wystarcza tylko jeden wadliwy allel (A) danego genu. Choroba ujawnia się u heterozygot (Aa) i homozygot dominujących (AA), przy czym homozygoty dominujące często wykazują cięższy przebieg choroby lub mutacja jest dla nich letalnaletalna. Choroby jednogenowe dziedziczone autosomalnie dominująco występują z jednakową częstością u obu płci.

Choroby sprzężone z płcią dziedziczone recesywnie
Choroby dziedziczone recesywnie sprzężone z płcią, dotyczą genów położonych na chromosomie X. Choroby te, znacznie częściej występują u mężczyzn niż u kobiet, co wynika z obecności u nich tylko jednej kopii genu sprzężonego z chromosomem X. Kobiety chorują rzadziej, gdyż mają dwie kopie genu sprzężonego z chromosomem X. Heterozygotyczne kobiety są nosicielami wadliwego genu, który mogą przekazać potomstwu, natomiast same nie wykazują objawów choroby. Kobiety chorują w homozygotycznym układzie genów recesywnych, ale taka możliwość zachodzi bardzo rzadko.

Podsumowanie
Choroby genetyczne to schorzenia spowodowane mutacjami w materiale genetycznym (DNA). W zależności od rodzaju i lokalizacji mutacji wyróżnia się:
- choroby jednogenowe – wynikające z mutacji w jednym genie,
- wielogenowe – wywołane mutacjami w obrębie różnych genów i indukowane czynnikami środowiska;
- choroby chromosomowe – związane ze zmianą liczby lub struktury chromosomów,Choroby jednogenowe mogą dziedziczyć się jako:
- autosomalne dominujące,
- autosomalne recesywne,
- sprzężone z chromosomem X (dominujące lub recesywne).Mukowiscydoza – choroba autosomalna recesywna. Spowodowana mutacją genu CFTR, prowadzi do zaburzeń transportu jonów chlorkowych i powstawania gęstego, lepkiego śluzu w układzie oddechowym i pokarmowym. Występuje z jednakową częstością u dziewczynek i chłopców.
Pląsawica Huntingtona - choroba autosomalna dominująca. Jest skutkiem mutacji w genie HTT. Prowadzi do postępującego uszkodzenia układu nerwowego, zaburzeń ruchowych i psychicznych. Do ujawnienia choroby wystarczy jedna zmutowana kopia genu. Chorują zarówno kobiety, jak i mężczyźni.
Hemofilia – choroba recesywna sprzężona z chromosomem X. Powoduje niedobór czynników krzepnięcia co skutkuje zaburzeniami krzepnięcia krwi. Najczęściej chorują chłopcy, ponieważ mają tylko jeden chromosom X. Dziewczynki zwykle są nosicielkami i chorują rzadko (muszą mieć dwie zmutowane kopie genu).
Daltonizm – choroba recesywna sprzężona z chromosomem X. Polega na zaburzeniu rozpoznawania barw. Podobnie jak hemofilia, częściej występuje u chłopców niż u dziewczynek.
Ćwiczenia utrwalające
Osoby cierpiące na daltonizm: Możliwe odpowiedzi: 1. nie widzą żadnych kolorów, 2. nie rozróżniają niektórych barw, 3. to głównie mężczyźni, 4. to głównie kobiety
Heterozygotyczna kobieta, chorująca na pląsawicę Huntingtona, ma czworo dzieci ze zdrowym mężczyzną. Uzupełnij krzyżówkę genetyczną i wykonaj poniższe polecenia.
Określ sposób dziedziczenia pląsawicy Huntingtona.
Podaj prawdopodobieństwo wystąpienia pląsawicy Huntingtona u dzieci opisanej pary.
Wróć do polecenia na stronie „Na dobry początek” i dopisz brakujące definicje. Pamiętaj, żeby nie kopiować słownika, ale wyjaśnić każde słowo kluczowe w miarę możliwości swoimi słowami.








