Przeczytaj
Odżywianie jest jedną z podstawowych czynności organizmu, niezbędną do przeżycia. Dostarczony pokarm wykorzystywany jest do budowy i odnowy własnych tkanek. Służy także do pozyskania energii wykorzystywanej do podtrzymywania wszelkich procesów życiowych oraz wykonywania czynności codziennych.
Spośród składników zawartych w pokarmie tylko woda i cukry proste, jak np. glukoza, mogą być przyswajane przez organizm w formie niezmienionej. Inne składniki muszą zostać rozłożone na substancje proste. W tym celu pokarm jest poddawany obróbce mechanicznej i chemicznej.
Trawienie pokarmu spożywanego przez człowieka
Obróbka mechaniczna polega na rozdrabnianiu, żuciu, mieszaniu i połykaniu pokarmu, a następnie przesuwaniu wzdłuż kolejnych odcinków przewodu pokarmowego. Rozkład chemiczny pokarmu odbywa się dzięki wytwarzanym przez organizm enzymom trawiennym.
Powstałe w ten sposób proste związki organiczne są wchłaniane wraz z wodą i substancjami mineralnymi przez ściany przewodu pokarmowego do krwi i limfy. Następnie zostają rozprowadzone do komórek i tkanek ciała, gdzie pełnią swoje funkcje.
Nie wszystko, co człowiek zjada, zostaje przez organizm wykorzystane. Niewykorzystane resztki pokarmu zostają usuwane wraz z kałem w akcie defekacji.
Budowa układu pokarmowego człowieka
Obróbka pokarmu jest ciągiem powiązanych ze sobą procesów. Bierze w niej udział wiele narządów, które tworzą układ pokarmowy.
Układ pokarmowy składa się z przewodu pokarmowego, w którym pokarm jest rozdrabniany i trawiony, oraz z gruczołów trawiennych, które wydzielają soki trawienne, wspomagające proces obróbki pokarmu.
Przewód pokarmowy jest długą rurą, która rozpoczyna się jamą ustną, a kończy otworem odbytowym, podzieloną na odcinki o odmiennej budowie i pełnionych funkcjach. W jego skład wchodzą: jama ustna, gardło, przełyk, żołądek, dwunastnica i dalsza część jelita cienkiego oraz jelito grube zakończone otworem odbytowym. Do przewodu pokarmowego wlewają swoje soki trawienne: ślinianki i trzustka. Wątroba zaś odprowadza żółć wspomagającą trawienie tłuszczów.
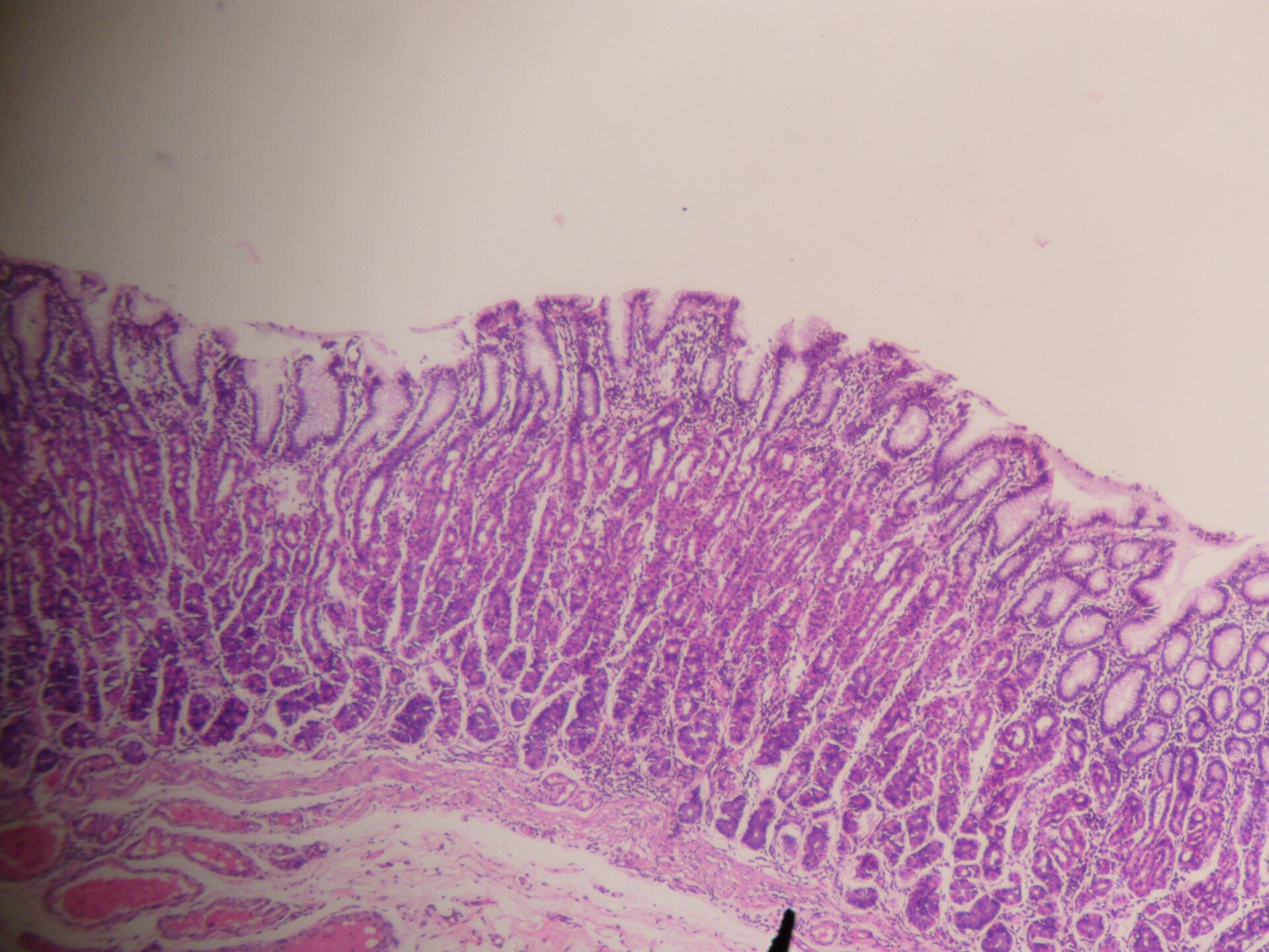
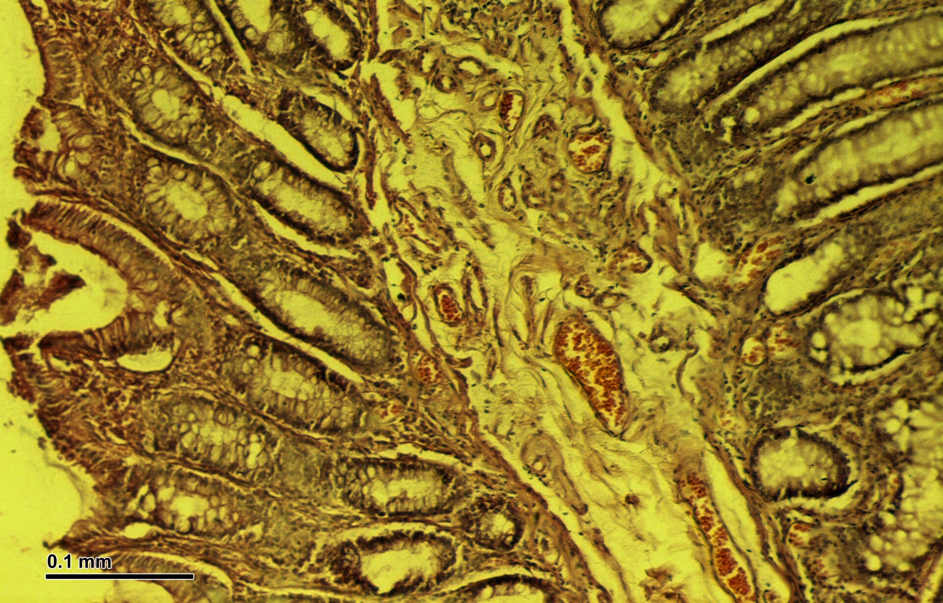
Budowa ścian przewodu pokarmowego

Wokół światła przewodu ułożone są koncentrycznie błony: śluzowa (śluzówka), podśluzowa (podśluzówka), mięśniowa (mięśniówka) i łącznotkankowa (na niektórych odcinkach nazywana błoną surowiczą).
Perystaltyka przewodu pokarmowego
Pożywienie w przewodzie pokarmowym formuje się zwykle w małe grudki zwane kęsami. Kęsy są przesuwane wzdłuż przewodu dzięki falom skurczów mięśniówki. Skurcze te nazywane są ruchami robaczkowymi lub perystaltycznymi. Mięśnie okrężne ściany przewodu pokarmowego kurczą się, zmniejszając średnicę danego odcinka (np. przełyku), a skurcze mięśni podłużnych powodują jego skrócenie.

Na granicy niektórych odcinków przewodu pokarmowego warstwa mięśni okrężnych grubieje, tworząc zwieraczezwieracze, kontrolujące przepływ pokarmu przez przewód pokarmowy. Zwieracze zamykają i otwierają odcinki między przełykiem a żołądkiem, między żołądkiem a dwunastnicą oraz w odbytnicy, na końcu przewodu pokarmowego.
Narządy układu pokarmowego człowieka
Słownik
usuwanie niestrawionych resztek pokarmu
rozbijanie cząsteczek tłuszczu na mniejsze cząstki, w wyniku czego tworzy się emulsja
bakterie jelitowe występujące w przewodzie pokarmowym ssaków; ułatwia trawienie pokarmu, rozkładanie toksyn, a także bierze udział w produkcji witamin, np. z grupy B oraz witaminy K
końcowy otwór układu pokarmowego, przez który następuje usuwanie kału
falowe ruchy postępujące wzdłuż poszczególnych odcinków przewodu pokarmowego; przepychają treść pokarmową w kierunku od przełyku przez żołądek do odbytnicy
płynna wydzielina gruczołowej części trzustki zawierająca enzymy trawienne
grupa włókien mięśniowych ułożonych okrężnie, których skurcz powoduje zamknięcie otworu, np. zwieracz odbytu zamykający odbyt
wydzielina komórek wątroby zawierająca kwasy żółciowe, wodę, jony i fosfolipidy, powodująca emulgację tłuszczów


