Symulacja interaktywna I
Wirtualny mikroskop
Za pomocą wirtualnego mikroskopu przeprowadź obserwację pylnika lilii (Lilium). Zwróć uwagę, gdzie znajdują się ziarna pyłku (mikrospory).
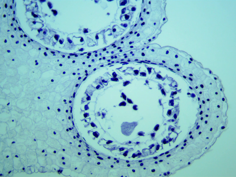
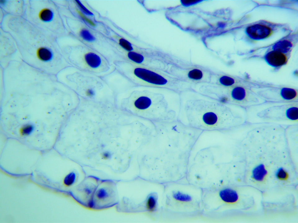
Za pomocą wirtualnego mikroskopu przeprowadzono obserwację pylnika lilii (Lilium). Ziarna pyłku mają kulisty kształt oraz grubą, dwuwarstwową ścianę. Jej wewnętrzna warstwa (intyna) zbudowana jest z celulozy, a warstwa zewnętrzna (egzyna) przesycona jest sporopoleniną. Związek ten nadaje ścianie twardość i odporność na niekorzystne warunki środowiska (chroni m.in. przed wysuszeniem lub gniciem). Każde ziarno pyłku zawiera dwa jądra – generatywne oraz wegetatywne. Wybarwiają się one na kolor niebieski. Komora pyłkowa, w której znajdują się ziarna pyłku, jest otoczona warstwą włóknistą – komórkami o nierównomiernie zgrubiałych ścianach. Dokonują one podziałów antyklinalnych, dając efekt ułożonych koliście (wokół ziaren pyłku) prążków. Najbardziej zewnętrzna tkanka ściany pylnika tworzona jest przez epidermę i warstwy komórek, które uległy podziałom komórkowym, równoległym do obwodu komory pyłkowej. Na symulacji ukazano pylnik lilii w powiększeniach 4 razy, 10 razy i 40 razy. Początkowo można zauważyć strukturę o czterech przylegających do siebie wybrzuszeniach. W ich środku są okrągłe elementy. Otaczają je komórki, środek jest biały. Komórki mają wybarwione na kolor ciemnoniebieski jądra.
Szczegóły obserwacji mikroskopowej. Na filmach w powiększeniach kolejno 40×, 100×, 400× przedstawiono pylnik lilii (Lilium). Początkowo można zauważyć strukturę o czterech przylegających do siebie wybrzuszeniach. W ich środku są okrągłe elementy. Otaczają je komórki, środek jest biały z nielicznymi ciemnoniebieskimi elementami. Komórki zawierają wybarwione na kolor ciemnoniebieski jądra. Jądra są okrągłe, owalne.

Film dostępny pod adresem /preview/resource/RaqQ7XxTDcIW7
Film nawiązujący do treści materiału, zawiera wskazówki dotyczące sposobu używania mikroskopu, jak i przykłady obserwacji.
Ogólne wskazówki dotyczące techniki mikroskopowania w warunkach szkolnych.
1. Należy ustawić właściwe oświetlenie pola widzenia (tak aby uzyskać równomierne, jasne oświetlenie). 2. Preparat umieszcza się na stoliku przedmiotowym między łapkami mikroskopu. 3. Za pomocą śrub służących do przesuwania preparatu ustawia się obiekt obserwacji mniej więcej na przedłużeniu osi obiektywu. 4. Najpierw wybiera się obiektyw o najmniejszym powiększeniu. 5. Patrząc przez okular, należy podnosić stolik przedmiotowy, aż do uzyskania obrazu. 6. Obraz wyostrza się za pomocą śruby mikrometrycznej. Można wówczas skorygować światło. 7. Aby zmienić powiększenie, należy przekręcić rewolwer na obiektyw o większym powiększeniu, np. 10×, 40×. 8. Ostrość obrazu koryguje się za pomocą śruby mikrometrycznej. 9. Po ukończeniu obserwacji należy opuścić stolik i wyłączyć światło, a następnie wyjąć preparat i ustawić obiektyw o najmniejszym powiększeniu: 4×. 10. Mikroskop przykrywa się foliowym pokrowcem, aby uchronić go przed zabrudzeniami.
Oblicz wielkość powiększenia obrazu, jeśli podczas obserwacji zastosowano obiektyw o powiększeniu 40×, a mikroskop wyposażony jest w okular o powiększeniu 10×.


