Symulacja interaktywna II
Wirtualny mikroskop
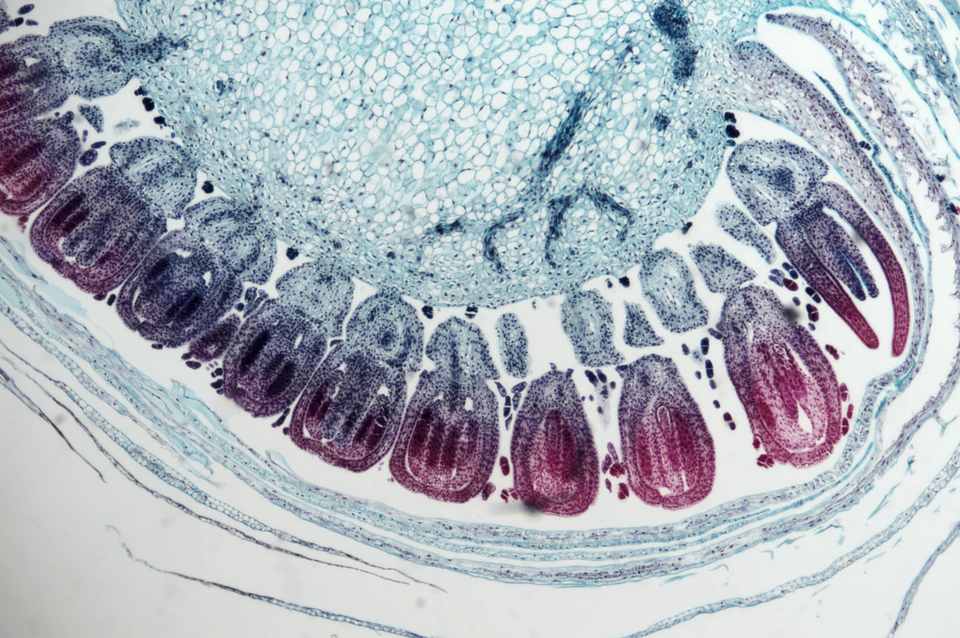
Za pomocą wirtualnego mikroskopu przeprowadź obserwację koszyczka stokrotki pospolitej (Bellis perennis). Zwróć uwagę na wybarwienie oraz lokalizację kwiatów rurkowatych i języczkowatych.
Za pomocą wirtualnego mikroskopu przeprowadzono obserwację koszyczka stokrotki pospolitej (Bellis perennis). Kwiaty stokrotki pospolitej zebrane są w pojedynczy koszyczek. Dno kwiatowe jest wypukłe. Pylniki całkowicie zrośnięte, natomiast pręciki wolne. Wewnątrz koszyczka znajdują się rurkowate kwiaty obupłciowe, które wybarwiają się na kolor czerwony. Na zewnątrz występuje pojedynczy szereg języczkowatych kwiatów żeńskich, które wybarwiają się na kolor niebieski. Na symulacji ukazano koszyczek stokrotki pospolitej w powiększeniach 4 razy, 10 razy i 20 razy. Na symulacji jest struktura otoczona owalnymi elementami wybarwionymi na kolor czerwony. W środku owali znajdują się podłużne struktury.
Szczegóły obserwacji mikroskopowej. Na filmach przedstawiono koszyczek stokrotki pospolitej (Bellis perennis) w powiększeniach 40×, 100×, 200×. Ukazano strukturę o cebulowatym kształcie. Otaczają ją owalne elementy wybarwione na kolor czerwony. W owalach są podłużne elementy oraz liczne kropki. To jądra komórek. Komórki ściśle do siebie przylegają.

Film dostępny pod adresem /preview/resource/RaqQ7XxTDcIW7
Film nawiązujący do treści materiału, zawiera wskazówki dotyczące sposobu używania mikroskopu, jak i przykłady obserwacji.
Ogólne wskazówki dotyczące techniki mikroskopowania w warunkach szkolnych.
1. Należy ustawić właściwe oświetlenie pola widzenia (tak aby uzyskać równomierne, jasne oświetlenie). 2. Preparat umieszcza się na stoliku przedmiotowym między łapkami mikroskopu. 3. Za pomocą śrub służących do przesuwania preparatu ustawia się obiekt obserwacji mniej więcej na przedłużeniu osi obiektywu. 4. Najpierw wybiera się obiektyw o najmniejszym powiększeniu. 5. Patrząc przez okular, należy podnosić stolik przedmiotowy, aż do uzyskania obrazu. 6. Obraz wyostrza się za pomocą śruby mikrometrycznej. Można wówczas skorygować światło. 7. Aby zmienić powiększenie, należy przekręcić rewolwer na obiektyw o większym powiększeniu, np. 10×, 40×. 8. Ostrość obrazu koryguje się za pomocą śruby mikrometrycznej. 9. Po ukończeniu obserwacji należy opuścić stolik i wyłączyć światło, a następnie wyjąć preparat i ustawić obiektyw o najmniejszym powiększeniu: 4×. 10. Mikroskop przykrywa się foliowym pokrowcem, aby uchronić go przed zabrudzeniami.
Przeciągnij prawidłowe nazwy i podpisz elementy budowy koszyczka stokrotki pospolitej (Bellis perennis).
