Symulacja interaktywna II
Wirtualny mikroskop
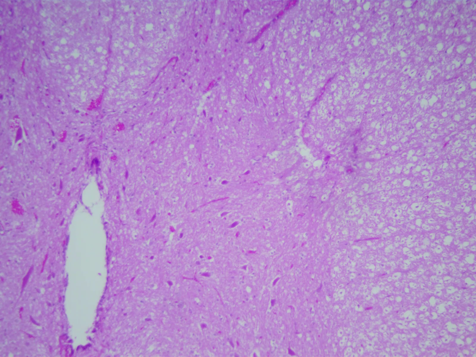
Za pomocą wirtualnego mikroskopu przeprowadź obserwację przekroju poprzecznego przez rdzeń kręgowy. Zwróć uwagę na kształt i wybarwienie tej struktury oraz lokalizację istoty białej i istoty szarej.
Za pomocą wirtualnego mikroskopu przeprowadzono obserwację przekroju poprzecznego przez rdzeń kręgowy. Rdzeń kręgowy zbudowany jest z istoty białej (wypustki neuronów), która otacza leżącą wewnątrz istotę szarą (skupisko ciał neuronów). Na przekroju poprzecznym istota szara (wybarwiona na ciemniejszy kolor) przybiera charakterystyczny kształt zbliżony do litery H. Jej pasma tworzą skierowane ku przodowi rogi brzuszne (przednie) oraz zwrócone ku tyłowi rogi grzbietowe (tylne). W centralnej części rdzenia kręgowego znajduje się kanał środkowy (wypełniony płynem mózgowo‑rdzeniowym). W powiększeniu czterokrotnym widoczna jest niewyraźnie struktura przypominająca kształt litery H lub skrzydła motyla. W środku struktury jest pionowy, biały, podłużny otwór, to kanał środkowy. Istotę szarą (literę H) wypełniają jasno- i ciemnoróżowe komórki. Wokół litery H jest istota biała. Wypełniają ją jasnoróżowe i białe komórki. W powiększeniu dziesięciokrotnym widoczna jest niewyraźnie górna część struktury przypominająca kształt litery H (lub skrzydła motyla), wypełniona drobnymi jasno- i ciemnoróżowymi komórkami. W środku struktury jest kanał środkowy. Jest on pionowy, biały, podłużny, a jego górny koniec jest wrzecionowaty. Wokół litery H znajduje się istota biała wypełniona jasnoróżowymi i białymi komórkami. W powiększeniu czterdziestokrotnym widoczna jest struktura wypełniona drobnymi jasno- i ciemnoróżowymi komórkami. Ciemnoróżowe komórki są kuliste, zebrane w skupiskach.

Film dostępny pod adresem /preview/resource/RaqQ7XxTDcIW7
Film nawiązujący do treści materiału, zawiera wskazówki dotyczące sposobu używania mikroskopu, jak i przykłady obserwacji.
Ogólne wskazówki dotyczące techniki mikroskopowania w warunkach szkolnych.
1. Należy ustawić właściwe oświetlenie pola widzenia (tak aby uzyskać równomierne, jasne oświetlenie). 2. Preparat umieszcza się na stoliku przedmiotowym między łapkami mikroskopu. 3. Za pomocą śrub służących do przesuwania preparatu ustawia się obiekt obserwacji mniej więcej na przedłużeniu osi obiektywu. 4. Najpierw wybiera się obiektyw o najmniejszym powiększeniu. 5. Patrząc przez okular, należy podnosić stolik przedmiotowy, aż do uzyskania obrazu. 6. Obraz wyostrza się za pomocą śruby mikrometrycznej. Można wówczas skorygować światło. 7. Aby zmienić powiększenie, należy przekręcić rewolwer na obiektyw o większym powiększeniu, np. 10×, 40×. 8. Ostrość obrazu koryguje się za pomocą śruby mikrometrycznej. 9. Po ukończeniu obserwacji należy opuścić stolik i wyłączyć światło, a następnie wyjąć preparat i ustawić obiektyw o najmniejszym powiększeniu: 4×. 10. Mikroskop przykrywa się foliowym pokrowcem, aby uchronić go przed zabrudzeniami.
Przeciągnij prawidłowe nazwy i podpisz elementy budowy rdzenia kręgowego.


