Dziedziczenie płci u człowieka i cech z nią sprzężonych
Słownik
RMBYlTS7PTCfd
Zdjęcie przedstawia groch zwyczajny. W centrum widoczne są motylkowe kwiaty różowe i białe, każdy z żagielkiem i skrzydełkami. Kwiaty zebrane są w grupy po 5. Tło rozmyte, zielone.
Zdjęcie przedstawia groch zwyczajny. W centrum widoczne są motylkowe kwiaty różowe i białe, każdy z żagielkiem i skrzydełkami. Kwiaty zebrane są w grupy po 5. Tło rozmyte, zielone.
Dziedziczenie cech
Zdjęcie przedstawia groch zwyczajny - obiekt wielu badań genetycznych.
Źródło: Pixabay, domena publiczna.
Mutacje
Materiał genetyczny podlega ciągłym zmianom. Niektóre z tych zmian mogą być korzystne i zwiększać sprawność organizmu, podczas gdy powodują choroby, a nawet śmierć. Zmienność genetyczna jest również ważna dla ewolucji, ponieważ pozwala gatunkom na dostosowywanie się do zmieniających warunków środowiska.
R1T4mmKAFeYte
Grafika przedstawia fragment łańcucha DNA, pochylony w lewo. Czerwoną kropką oznaczona jest jedna para zasad.
Mutacje genetyczne są jedną z przyczyn zmienności organizmów
Źródło: N/A, Pixabay, licencja: CC BY-SA 3.0.
Mutacje są trwałymi zmianami w materiale genetycznym
MutacjemutacjaMutacje to nagłe i trwałe zmiany w strukturze DNA. Powstają wówczas, gdy mechanizmy naprawcze w komórce zawodzą, a nieprawidłowości w budowie materiału genetycznego zostają utrwalone.
Mutacje można podzielić ze względu na przyczynę ich powstawania, zakres materiału genetycznego, którego dotyczą, rodzaj komórek w których powstają oraz skutki jakie powodują.
Podział mutacji ze względu na przyczynę
Mutacje spontaniczne to zmiany w obrębie DNA spowodowane błędami pojawiającymi się w procesie replikacji DNAreplikacja dnareplikacji DNA lub podczas rozdziału chromosomów w mejozie.
Mutacje indukowane powstają pod wpływem czynników zewnętrznych, zwanych mutagenamimutagenymutagenami. Mutagenami są:
czynniki fizyczne, np. promieniowanie UV, promieniowanie rentgenowskie (X);
czynniki chemiczne zawarte m.in. w spalinach samochodowych, dymie papierosowym, pestycydach, metale ciężkie i niektóre środki dodawane do żywności jako konserwanty;
czynniki biologiczne, takie jak niektóre wirusy, np. wirus zapalenia wątroby typu B i C (HBV, HCV), wirus brodawczaka ludzkiego (HPV).
RVjbdp5Ku4xAx
Schemat przestawia rodzaje czynników wywołujących mutacje. U góry na czerwonym tle napis: czynniki mutagenne. Czynniki te podzielono na 3 grupy. Z lewej na zielonym tle czynniki fizyczne z ich symbolami. Są to: promieniowanie emitowane przez substancje promieniotwórcze, promieniowanie rentgenowskie, ultrafioletowe i wysoka temperatura. Czynniki chemiczne to niektóre związki, zawarte w przypalonych potrawach, dymie papierosowym, spalinach samochodowych, pestycydach, spalinach i ściekach przemysłowych. Kolejne to metale ciężkie i niektóre konserwanty żywności. Niebieska grupa to czynniki biologiczne, takie jak niektóre wirusy oraz niektóre substancje wytwarzane przez grzyby pleśniowe.
Przykłady czynników mutagennych
Źródło: Dariusz Adryan, licencja: CC BY-SA 3.0.
Podział mutacji ze względu na poziom organizacji materiału genetycznego, w którym doszło do powstania zmiany
Ze względu na zakres zmian w obrębie DNA wyróżnia się mutacje:
genowemutacja genowagenowe, które polegają na zmianach w sekwencji pojedynczych nukleotydównukleotydnukleotydów w DNA. Mutacje te powstają w wyniku błędów podczas replikacji lub wskutek działania mutagenów.
R10mqghrDCRCP
Film pod tytułem "Mutacje genowe".
Film pod tytułem "Mutacje genowe".
Mutacje genowe
Źródło: Tomorrow sp.z o.o., licencja: CC BY-SA 3.0.
Źródło: Tomorrow sp.z o.o., licencja: CC BY-SA 3.0.
Film pod tytułem "Mutacje genowe".
Polecenie 1
Na podstawie animacji omów rodzaje mutacji genowych.
R1Qp399fakS8O
chromosomowe strukturalne, które polegają na zmianie struktury chromosomuchromosomchromosomu. Mutacje te powstają najczęściej pod wpływem czynników mutagennych.
R81n8jLm4F99o
Film pod tytułem "Mutacje chromosomowe, których przyczyną jest zmiana struktury chromosomu".
Film pod tytułem "Mutacje chromosomowe, których przyczyną jest zmiana struktury chromosomu".
Mutacje chromosomowe, których przyczyną jest zmiana struktury chromosomu
Źródło: Tomorrow sp.z o.o., licencja: CC BY-SA 3.0.
Mutacje chromosomowe, których przyczyną jest zmiana struktury chromosomu
Źródło: Tomorrow sp.z o.o., licencja: CC BY-SA 3.0.
Film pod tytułem "Mutacje chromosomowe, których przyczyną jest zmiana struktury chromosomu".
Polecenie 2
Na podstawie animacji, omów rodzaje mutacji chromosomowych strukturalnych.
R8vd0g7WyBOQm
chromosomowe liczbowe, które polegają na powieleniu całego genomu lub zmian w liczbie pojedynczych chromosomów. Mutacje te są najczęściej wynikiem nieprawidłowości podczas rozchodzenia się chromosomów w mejoziemejozamejozie.
Dla zainteresowanych
Jeśli w trakcie mejozy chromosomy jednej z par nie rozdzielą się, lecz przemieszczą się do jednego z biegunów komórki, wówczas po podziale jedna z gamet otrzyma oba te chromosomy, a druga – żadnego z tej pary. W konsekwencji po zapłodnieniu takimi gametami może powstać osobnik zwany trisomikiem, który będzie miał trzy chromosomy tej pary (jeden z prawidłowej gamety i 2 z nieprawidłowej), lub monosomik, który ma tylko jeden chromosom z pary.
RnpM16kM4rZcx
Ilustracja przestawia schemat powstawania mutacji chromosomowych w formie szarych kół z niebieskimi i żółtymi chromosomami. U góry dwie takie same komórki, 46 chromosomów. Ta z lewej przechodzi prawidłowy podział mejotyczny i jej gamety mają po 23 chromosomy. Ta z prawej ma nieprawidłowa mejozę. Jedna gameta ma 24, druga 22 chromosomy. W wyniku połączenia gamet prawidłowych z nieprawidłowymi otrzymamy dwie mutacje chromosomowe. Trisomik ma 47 chromosomów w komórkach ciała. Monosomik ma 45 chromosomów w komórkach ciała.
Schemat powstania mutacji chromosomowych – trisomii i monosomii
Źródło: Dariusz Adryan, licencja: CC BY-SA 3.0.
Podział ze względu na rodzaj komórek, w których dochodzi do zmiany
Mutacje somatyczne zachodzą w obrębie komórek somatycznych. Nie są dziedziczone.
Mutacje generatywne zachodzą w obrębie komórek rozrodczych (plemników i komórek jajowych). Są dziedziczne.
Podział mutacji ze względu na skutki
Większość drobnych zmian w materiale genetycznym jest neutralna. Część z nich jest korzystna i daje przewagę osobnikom, u których się pojawiły, nad ich pobratymcami. Nieliczne mutacje okazują się szkodliwe. Czasem zmiana nawet jednego nukleotydu w sekwencji DNA może spowodować nieprawidłowe działanie całego genu, a co za tym idzie, powstanie niewłaściwego białka (lub jego brak), i w konsekwencji wystąpienie choroby genetycznej.
1
Ćwiczenie 1
R1ZBsrzbaWYTv
Wyjaśnij, dlaczego podczas prześwietlania zębów promieniami rentgenowskimi osłania się tułów fartuchem zatrzymującym to promieniowanie. (Uzupełnij).
Źródło: GroMar Sp. z o.o., licencja: CC BY-SA 3.0.
Zastanów się, jaki wpływ na organizm ma promieniowanie rentgenowskie.
Promieniowanie rentgenowskie nie jest obojętne dla naszego organizmu. Podczas prześwietlania zębów zasłania się ciało fartuchem, który ma zdolność zatrzymania promieni X w celu ochrony organizmu przed tym promieniowaniem. Zasłania się szczególnie miednicę w celu ochrony narządów rozrodczych. Duże dawki promieniowania zwiększają ryzyko uszkodzenia DNA i powstania nowotworów.
Mutacje genowe są przyczyną poważnych chorób genetycznych człowieka
Większość chorób genetycznych to choroby jednogenowe, czyli wywołane mutacją w pojedynczym genie. Zmutowany allelallelallel jest zwykle recesywny. Choroby genetyczne mają zwykle bardzo ciężki przebieg i są nieuleczalne. Medycyna potrafi jedynie łagodzić ich objawy.
Jedną z częściej występujących chorób genetycznych, spowodowanych mutacją genową, jest mukowiscydoza. Choroba ta polega na wytwarzaniu przez gruczoły wyścielające drogi oddechowe i układ pokarmowy zbyt gęstego śluzu, który utrudnia oddychanie i trawienie oraz ułatwia rozwój bakterii chorobotwórczych. Chorzy muszą przez całe życie przyjmować leki rozrzedzające śluz. Mukowiscydoza może być dziedziczona autosomalnie recesywnie.
RfW1opI6LJvrv
Ilustracja przestawia schematycznie dziedziczenie mukowiscydozy. U góry sylwetki mężczyzny i kobiety, w połowie niebieskie, w połowie różowe. Oboje są nosicielami allelu mukowiscydozy. Przy nich rysunek chromosomów z paskami w miejscu alleli. Kolor niebieski oznacza allel wadliwy, kolor różowy allel prawidłowy. Strzałki od rodziców prowadzą do sylwetek dzieci tej pary. Przy każdym chromosom z oznaczeniem alleli. Z lewej oba allele wadliwe, dziecko chore na mukowiscydozę, sylwetka niebieska. W środku dwie sylwetki dzieci w połowie niebieskie. To dzieci nosiciele wadliwego allelu. Z prawej dziecko zdrowe, sylwetka różowa.
Dziedziczenie mukowiscydozy
Źródło: Dariusz Adryan, licencja: CC BY-SA 3.0.
Często występującą chorobą genetyczną spowodowaną mutacją recesywną jest fenyloketonuria. Osoby chore na tę chorobę nie mają enzymuenzymenzymu przekształcającego jeden z aminokwasów - fenyloalaninę. Nadmiar tego aminokwasu w organizmie prowadzi do uszkodzenia układu nerwowego. Wczesne wykrycie choroby pozwala na dobranie odpowiedniej diety, ubogiej w fenyloalaninę, co ogranicza skutki choroby.
1
Ćwiczenie 2
R1bR0p09y92ue
Szkicownik.
Szkicownik.
Źródło: GroMar Sp. z o.o., licencja: CC BY-SA 3.0.
R1HAPplGiBFdB
Opisz słownie, jak wyglądałaby krzyżówka genetyczna dziedziczenia fenyloketonurii, jeśli oboje rodziców są nosicielami choroby.
Źródło: GroMar Sp. z o.o., licencja: CC BY-SA 3.0.
Fenyloketonuria to choroba wywoływana przez autosomalny allel recesywny (f). Genotypy rodziców: matka nosicielka – (Ff), ojciec nosiciel – (Ff)
RWgUNLc8j1VTn
Grafika przedstawia krzyżówkę genetyczną. Obydwoje rodzice mają gamety duże F i małe f. Możliwe genotypy potomstwa to 25% duże F duże F, 50% duże F małe f i 25% małe f małe f.
Krzyżówka genetyczna
Źródło: Tomorrow Sp. z o.o., licencja: CC BY-SA 3.0.
Kiedy oboje rodzice są nosicielami fenyloketonurii, prawdopodobieństwo, że ich dziecko będzie chore (genotyp: ff), wynosi 25%. Prawdopodobieństwo, że dziecko będzie zdrowe, wynosi 75% (genotypy FF, Ff), jednak potomstwo o genotypach Ff będzie nosicielami choroby.
Ciekawostka
Anemia sierpowata jest chorobą wywołaną mutacją genu kodującego hemoglobinę. Wadliwa hemoglobina słabo łączy się z tlenem i nadaje erytrocytom charakterystyczny sierpowaty kształt. HomozygotyhomozygotaHomozygoty recesywne mające dwa zmutowane allele najczęściej wcześnie umierają. Choroba przekazywana jest przez heterozygotyheterozygotaheterozygoty. Osoby takie mają ok. 40% wadliwych erytrocytów, do których nie wnikają zarodźce malarii. Heterozygoty chronione są przed tą chorobą i pomimo dolegliwości spowodowanych anemią żyją statystycznie dłużej i są w lepszej kondycji fizycznej niż osoby chorujące na malarię.
RTcSNqkndSSa6
Ilustracja przedstawia dwa powiększone czerwone erytrocyty człowieka. Z lewej prawidłowy okrągły i dwuwklęsły, z prawej sierpowaty u człowieka chorego na anemię sierpowatą.
Erytrocyty człowieka. Po lewej stronie krwinka o prawidłowej budowie, po prawej krwinka o sierpowatym kształcie
Źródło: Tomorrow Sp. z o.o., licencja: CC BY-SA 3.0.
Mutacje chromosomowe zwykle prowadzą do śmierci
Większość zarodków obarczonych mutacjami chromosomowymimutacja chromosomowamutacjami chromosomowymi obumiera już na wczesnym etapie rozwoju. Tylko nieliczne mutacje chromosomowe nie są śmiertelne, zawsze jednak wywołują poważne choroby genetyczne.
Przykładem zaburzenia genetycznego człowieka związanego ze zmianą liczby chromosomów jest zespół Downa (czytaj: „dałna”). Osoby dotknięte tym zaburzeniem mają nieprawidłowy kariotypkariotypkariotyp z dodatkowym chromosomem 21. Ryzyko urodzenia dziecka z zespołem Downa wzrasta wraz z wiekiem matki. U kobiet 20–25‑letnich wynosi ono 1 na 1000 urodzin, a u 45‑letnich wzrasta aż do 1 na 28 urodzeń. Zaburzenie objawia się specyficznym wyglądem (m.in. krępą budową ciała, fałdem skórnym nad oczami) i zwykle opóźnieniem w rozwoju umysłowym. Odpowiednia opieka bliskich i opieka lekarska od najmłodszych lat umożliwia osiągnięcie przez osoby z tą mutacją częściowej samodzielności w wieku dorosłym.
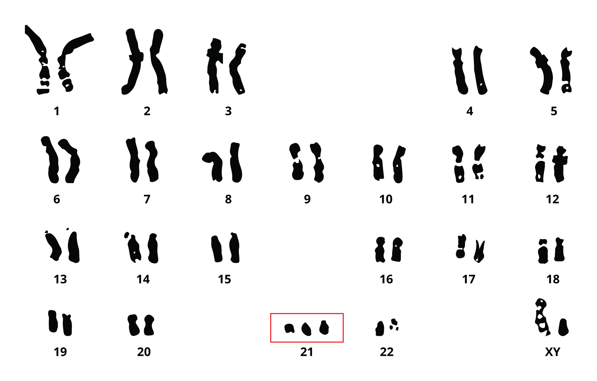
R1RkWJiN8LlMC
Ilustracja przestawia czarne pary chromosomów na białym tle. Mają różny kształt i różną wielkość. Każda para ma swój numer. Para numer 21 jest zaznaczona czerwoną ramką. Znajdują się tu 3 chromosomy, zamiast dwóch. Skutki takiej mutacji chromosomowej zwane są zespołem Downa.
Kariotyp osoby z zespołem Downa zawiera trzy chromosomy w 21 parze
Źródło: Dariusz Adryan, licencja: CC BY-SA 3.0.
Ciekawostka
Stosunkowo najmniej zaburzeń niosą ze sobą mutacje chromosomowe w chromosomach płci, nie są też one zwykle groźne dla życia.
Osoby z dwoma chromosomami X i jednym Y (XXY) mają zespół Klinefeltera. Są to bardzo wysocy mężczyźni, często niepłodni, o niedorozwoju cech płciowych męskich (np. jąder), mający pewne cechy żeńskie (np. kobiecą sylwetkę, brak owłosienia twarzy, skąpe owłosienie ciała).
Osoby z jednym chromosomem płciowym (X0) mają zespół Turnera. Są to kobiety. Cechuje je bezpłodność w wyniku niedorozwoju jajników, zwykle bardzo niski wzrost, krępa sylwetka, krótka szyja i obszerna klatka piersiowa.
Osoby z dodatkowym chromosomem w 18 parze mają zespół Edwardsa. Dzieci rodzą się z niską masą urodzeniową, mają wady budowy zewnętrznej oraz wady rozwojowe, np. serca i nerek, co wiąże się z dużą śmiertelnością.
To ważne!
Mutacje zmieniają informację genetyczną; mogą zachodzić spontanicznie, np. jako błędy kopiowania DNA albo być wywoływane przez różne czynniki mutagenne.
Wśród czynników mutagennych wyróżnia się czynniki fizyczne (np. promieniowanie UV, promieniowanie rentgenowskie), czynniki chemiczne (np. zawarte w dymie papierosowym i spalinach samochodowych) i czynniki biologiczne (np. wirusy HBV, HCV, HPV).
Mutacje genowe zachodzą w pojedynczych genach i polegają na zmianach sekwencji nukleotydów w DNA.
Mutacje chromosomowe to zmiany liczby lub struktury chromosomów.
Do chorób wywoływanych przez mutacje genowe zalicza się mukowiscydozę i fenyloketonurię.
Przykładem zaburzenia związanego z mutacją liczby chromosomów jest zespół Downa
Na pożegnanie
Ćwiczenie 3
R1G4FvZ8XylDq
zadanie interaktywne
zadanie interaktywne
Źródło: Katarzyna Lech, licencja: CC BY-SA 3.0.
Ćwiczenie 4
R1ezDEbJoCfvg1
zadanie interaktywne
Wskaż mutacje genowe.
usunięcie nukleotydu z nici DNA
wstawienie kilku nukleotydów do nici DNA
zamiana jednego nukleotydu na inny w nici DNA
usunięcie fragmentu chromosomu
wstawienie do chromosomu jego powielonego fragmentu
zamiana fragmentu chromosomu na inny
powielenie całego chromosomu
Źródło: Katarzyna Lech, licencja: CC BY-SA 3.0.
Ćwiczenie 5
RqVOpP9NHQLZh
Określ, którego rodzaju mutacji dotyczą poniższe stwierdzenia. Mutacje genowe Możliwe odpowiedzi: 1. Powstają w skutek wypadnięcia lub wstawienia nukleotydu., 2. Tworzą się na skutek błędów w czasie kopiowania DNA., 3. Mogą być spowodowane utratą fragmentu chromosomu., 4. Powstają na skutek błędnego rozdzielania materiału genetycznego miedzy komórki potomne. Mutacje chromosomowe Możliwe odpowiedzi: 1. Powstają w skutek wypadnięcia lub wstawienia nukleotydu., 2. Tworzą się na skutek błędów w czasie kopiowania DNA., 3. Mogą być spowodowane utratą fragmentu chromosomu., 4. Powstają na skutek błędnego rozdzielania materiału genetycznego miedzy komórki potomne.
Określ, którego rodzaju mutacji dotyczą poniższe stwierdzenia. Mutacje genowe Możliwe odpowiedzi: 1. Powstają w skutek wypadnięcia lub wstawienia nukleotydu., 2. Tworzą się na skutek błędów w czasie kopiowania DNA., 3. Mogą być spowodowane utratą fragmentu chromosomu., 4. Powstają na skutek błędnego rozdzielania materiału genetycznego miedzy komórki potomne. Mutacje chromosomowe Możliwe odpowiedzi: 1. Powstają w skutek wypadnięcia lub wstawienia nukleotydu., 2. Tworzą się na skutek błędów w czasie kopiowania DNA., 3. Mogą być spowodowane utratą fragmentu chromosomu., 4. Powstają na skutek błędnego rozdzielania materiału genetycznego miedzy komórki potomne.
Źródło: GroMar Sp. z o.o., licencja: CC BY-SA 3.0.
Ćwiczenie 6
R1Eoe0uq2YPqr
zadanie interaktywne
zadanie interaktywne
Źródło: Katarzyna Lech, licencja: CC BY-SA 3.0.
Ćwiczenie 7
R1LuCXrGBavVd
zadanie interaktywne
zadanie interaktywne
Źródło: Katarzyna Lech, licencja: CC BY-SA 3.0.
Ćwiczenie 8
RHFcJUiF8OfFo
Wykres prezentujący pobór fenyloalaniny w pokarmie w zależności od poziomu fenyloalaniny we krwi.
Wykres prezentujący pobór fenyloalaniny w pokarmie w zależności od poziomu fenyloalaniny we krwi
Źródło: Tomorrow Sp. z o.o., licencja: CC BY-SA 3.0.
R11SMR4KdfgsR
Łączenie par. . Zawartość fenyloalaniny we krwi rośnie wraz z jej poborem z pokarmu.. Możliwe odpowiedzi: Prawda, Fałsz. Zawartość fenyloalaniny we krwi spada, gdy wzrasta zawartość fenyloalaniny w pokarmie.. Możliwe odpowiedzi: Prawda, Fałsz. Pokarm nie wpływa na zawartość fenyloalaniny we krwi.. Możliwe odpowiedzi: Prawda, Fałsz
Łączenie par. . Zawartość fenyloalaniny we krwi rośnie wraz z jej poborem z pokarmu.. Możliwe odpowiedzi: Prawda, Fałsz. Zawartość fenyloalaniny we krwi spada, gdy wzrasta zawartość fenyloalaniny w pokarmie.. Możliwe odpowiedzi: Prawda, Fałsz. Pokarm nie wpływa na zawartość fenyloalaniny we krwi.. Możliwe odpowiedzi: Prawda, Fałsz
Źródło: GroMar Sp. z o.o., licencja: CC BY-SA 3.0.
RuEtogarXEHOa
Łączenie par. Oceń, czy poniższe stwierdzenia są prawdziwe, czy fałszywe.. Fenyloketonuria jest chorobą genetyczną spowodowaną mutacją recesywną.. Możliwe odpowiedzi: Prawda, Fałsz. Osoby chore na fenyloketonurię nie produkują fenyloalaniny.. Możliwe odpowiedzi: Prawda, Fałsz. Stosowanie diety bogatej w fenyloalaninę co ogranicza skutki fenyloketonurii.. Możliwe odpowiedzi: Prawda, Fałsz
Łączenie par. Oceń, czy poniższe stwierdzenia są prawdziwe, czy fałszywe.. Fenyloketonuria jest chorobą genetyczną spowodowaną mutacją recesywną.. Możliwe odpowiedzi: Prawda, Fałsz. Osoby chore na fenyloketonurię nie produkują fenyloalaniny.. Możliwe odpowiedzi: Prawda, Fałsz. Stosowanie diety bogatej w fenyloalaninę co ogranicza skutki fenyloketonurii.. Możliwe odpowiedzi: Prawda, Fałsz
Źródło: GroMar Sp. z o.o., licencja: CC BY-SA 3.0.
1
Ćwiczenie 9
RaOuqfbITF8c8
Wyszukaj w dostępnych źródłach przykłady pokarmów, które mogą zawierać chemiczne czynniki mutagenne i rakotwórcze. (Uzupełnij).
Źródło: GroMar Sp. z o.o., licencja: CC BY-SA 3.0.
Zastanów się, jakich produktów nie należy spożywać zbyt często.
Przykłady:
Ryby takie jak dorsz, tuńczyk, makrela, okoń, w których mięsie stwierdza się metale ciężkie, np. ołów, kadm, rtęć.
Pokarm smażony na głębokim, wielokrotnie podgrzewanym oleju, w którym powstały substancje o właściwościach rakotwórczych, np. frytki.
Polecenie 3
Ułóż zestaw 5 zadań dla innych uczniów korzystających z tego podręcznika, które sprawdzą wiedzę o mutacjach. Do każdego pytania w zadaniu podaj 4 proponowane odpowiedzi, ale tylko jedna ma być prawidłowa. Pytanie z odpowiedziami wyślij Twojemu nauczycielowi, który włączy je do quizu Milionerzy.
R16yx5sAbjwqc
Polecenie 4
Wiesz już na czym polegają mutacje. Wróć do polecenia na stronie „Na dobry początek” i dopisz brakujące definicje. Pamiętaj, żeby nie kopiować słownika, ale wyjaśnić każde słowo kluczowe w miarę możliwości swoimi słowami.
mutacja
mutacja
nagła, trwała zmiana w informacji genetycznej organizmu, polegająca na zmianie struktury lub ilości materiału genetycznego
replikacja DNA
replikacja DNA
proces polegający na podwojeniu cząsteczki DNA; zachodzi przed podziałem komórki
mutageny
mutageny
czynniki powodujące mutacje, czyli zmiany w informacji genetycznej
mutacja genowa
mutacja genowa
jeden z typów mutacji; polega na zmianie sekwencji nukleotydów w DNA, co może powodować powstanie nowych alleli genów
nukleotyd
nukleotyd
podstawowy element strukturalny kwasu deoksyrybonukleinowego (DNA), zbudowany z cukru deoksyrybozy, reszty kwasu fosforowego oraz zasady azotowej
chromosom
chromosom
podziałowa postać DNA; wydłużone, pałeczkowate struktury powstające z nici DNA w jądrze tuż przed podziałem komórki i widoczne w czasie podziału jądra
mejoza
mejoza
podział jądra komórkowego, prowadzący do zmniejszenia się o połowę liczby chromosomów w komórkach potomnych
allel
allel
jedna z co najmniej dwóch odmian danego genu odpowiedzialnego za wytworzenie konkretnej cechy organizmu; allele zajmują to samo miejsce w chromosomach homologicznych
enzym
enzym
białko pełniące funkcję katalizatora; przyspiesza przebieg reakcji biochemicznych
homozygota
homozygota
organizm mający w chromosomach homologicznych dwa identyczne allele danego genu, np. AA lub aa
heterozygota
heterozygota
organizm mający w chromosomach homologicznych dwa różne allele danego genu, np. Aa
mutacja chromosomowa
mutacja chromosomowa
jeden z typów mutacji; zmiana struktury lub liczby chromosomów wywołująca dziedziczną zmianę cech organizmu
kariotyp
kariotyp
kompletny zestaw chromosomów komórki somatycznej organizmu; prawidłowy kariotyp człowieka składa się z 22 par autosomów oraz 1 pary chromosomów płci oznaczanych symbolami X i Y (XX u kobiet i XY u mężczyzn)